반응형
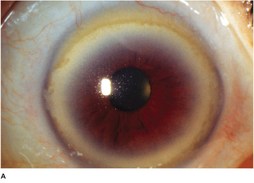
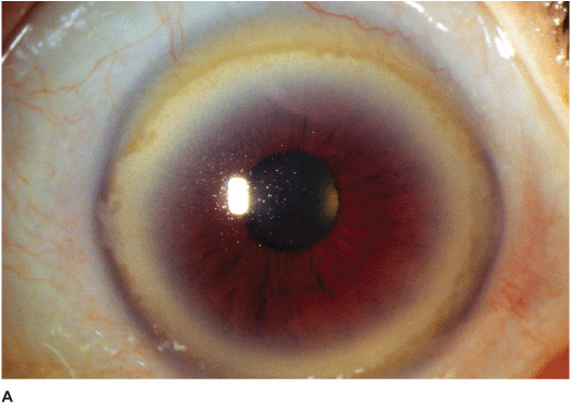
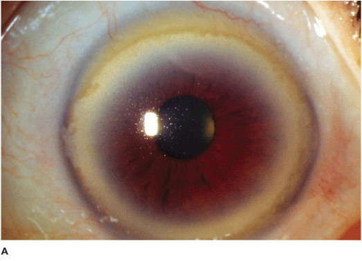
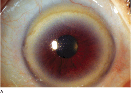
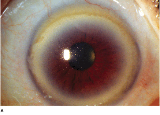
고랑각막변성, furrow degeneration 은
노인환, 각막 윤부혈관망 사이에 있는 무혈관의 각막이 얇아지는 변성입니다.
이는 혈관생성을 야기하지 않고, 천공을 일으키지는 않는것이 특징입니다.
또한 각막이 얇아지더라도 난시를 만드는 경우가 적으며, 시력에 영향을 주지 않습니다.


이 특징은 테리엔각막변성에서
신생혈관이 발생하게되고, 도난시를 유발하며,심한 경우 천공까지 이어질수 있다는 점에서 감별 포인트입니다.

반응형
'안과 질환과 안과 치료 > 각막 외안부' 카테고리의 다른 글
| 지방 각막 변성 : cornea lipid degeneration 진단 치료 원인 종류 (0) | 2025.04.18 |
|---|---|
| 분말형 각막, Cornea Farinata, 각막에 있는 밀가루 같은 분말 (0) | 2025.04.18 |
| Hassall-Henle 소체 : Hassall-Henle body = Descemet wart (0) | 2025.04.15 |
| 윤부띠, Vogt's Limbal Girdle type 1, type 2 (0) | 2025.04.15 |
댓글