격자 각막이상증, Lattice Corneal Dystrophy, LCD 에서
lattice 는 grid 즉, 반복되는 형태로 바둑판 모양으로,
가로 세로 일정한 간격을 띄고 있는 사각형 구조 또는 형태를 의미합니다.

격자모양의 각막 혼탁이 발생하는 질환을 격자 각막이상증이라고합니다.

각막 표층기질 및 보우만층에 아밀로이드 물질이 침착되는데,
congo red stain 에서 특징적으로 염색됩니다.

임상적으로 4가지 유형으로 구분하게됩니다.
<type I 격자이상증>
가장 전형적인 type 1 격자각막이상증은,
상염색체 우성으로 유전하여, 10세 이전에 발병하여,
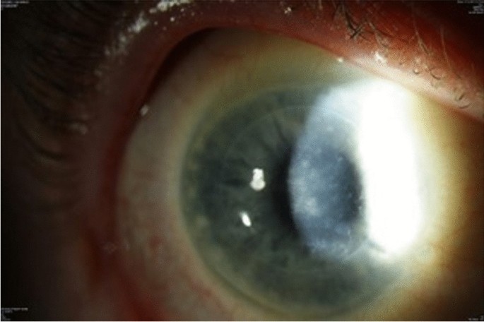
양안의 각막 기질 표층부에 격자형의 가치진 모양의 선이 발생합니다.
그리고 소결정의 혼탁이 발생하면서, 점점 격자 형태가 갖추어집니다.

이러면서 이러한 각막 혼탁이 상피층 아래에 위치하기 때문에, 각막 상피의 진무름이 일직 발생합니다.
이후 40-50대에는 각막 혼탁으로 인한 심한 시력장애를 유발하게됩니다.
각막의 중심부를 주로 침범하며, 주변부는 침범하지 않는 것이 특징입니다.
이는 앞서 이야기한 처음 발견된 고전형태로
10세 이전의 유년기에 시작하여,
처음에는 상피하 점모양의 혼탁으로 부터 시작하여,

점차 아밀로이드 물질이 침착하면서, 격자형태가 나타나는고 진무름이 반복됩니다.
이후 혼탁이 나타나는 중년기에 이르게됩니다.


<type II Meretoja syndrome>
type II 격자이상증은 Meretoja's syndrome 이라 불리는데,
Familial amyloid polyneuropathy type IV 에 해당합니다.
이는 상염색에 열성이며,
가족성의 전신적인 아밀로이드증이 나타나는 질환의 한 형태로,
20세 이후에 나타나게되며, 진행성의 뇌신경 및 말초 신경 마비,

건조한 피부, 튀어나온 입술 등의 전신증상이 동반되는 것이 특징입니다.

소량의 굵은 선이 보이며, 각막 진무름은 드물게 나타납니다.

<type III 격자이상증>
type III 는 상염색체 열성으로 나타나며,
40세 이후 발병하며, 시력저하는 60세 이후 늦게 나타납니다.
각막에는 굵은 형태의 선 침착이 나타나며, 각막 진무름은 발생하지 않습니다.
격자이상증의 치료는 증상에 맞추어 이루어집니다.
심하지 않은 경우는 증상에 맞추어 각막 진무름에 대한 치료를 해주면 되고,
시력장애가 나타나는 경우는 각막이식이 필요합니다.
각막이식술의 성공률은 매우 높으나, 재발이 흔하다는것이 단점입니다.

지금까지 격자각막이상증의 분류, 치료 에 대해 알아보았습니다.
'안과 질환과 안과 치료 > 각막 외안부' 카테고리의 다른 글
| 아교모양 물방울 각막이상증, Gelatinous Drop-Like Corneal Dystrophy, GDLD, 증상 진단 특징, 치료 (0) | 2025.04.01 |
|---|---|
| 각막반점이상증, Macular Dystrophy 임상양상 증상 치료 유전 (0) | 2025.03.28 |
| 상피하 점액 각막 이영양증: Subepithelial mucinous corneal dystrophy (0) | 2025.03.25 |
| 아벨리노 이영양증, 아벨리노 이상증, Avellino dystrophy (0) | 2025.03.23 |
댓글