반응형
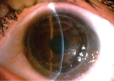
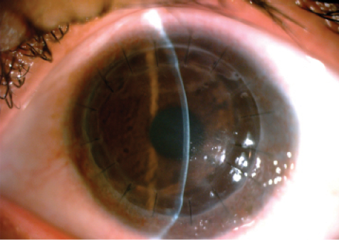
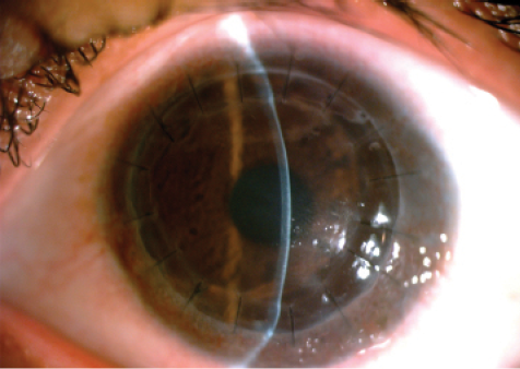
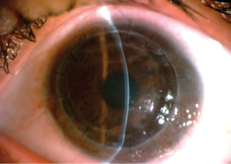
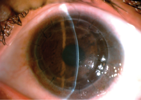
아교모양 물방울 각막이상증, Gelatinous drop-like dystrophy GDLD의 경우
각막에 젤라틴 방울 모양, 젤라틴 낭포모양의 혼탁이 발생하는유전질환입니다
유전성 각막이영양증의 일종으로, 각막에 아밀로이드 단백질이 침착되어
시력이 점점 저하되는 희귀 질환으로, 각막에 특이적인 병변이 어릴때부터 관찰됩니다.

어릴때부터 양안의 상피세포아래 기질의 표층에 우윳빛 오디 모양의 융기된 병변이 나타납니다.
이는 아밀로이드가 침착된것으로, 20 세 이전에 시력저하가 발생하게됩니다.


매우드문 질환이나, 결국 각막이식술이 필요하며,
수술하더라도 이식된 각막에도 다시 재발하기에 재발률이 높은 질환입니다.


반응형
'안과 질환과 안과 치료 > 각막 외안부' 카테고리의 다른 글
| 주근깨 각막이상증, fleck corneal dystrophy, FCD 유전 원인 증상 치료 (0) | 2025.04.10 |
|---|---|
| 슈나이더 결정 이상증, Schnyder crystalline Corneal Dystrophy (1) | 2025.04.02 |
| 각막반점이상증, Macular Dystrophy 임상양상 증상 치료 유전 (0) | 2025.03.28 |
| 격자 각막이상증, Lattice Corneal Dystrophy, LCD 분류, 치료, 원인, 증상 (0) | 2025.03.26 |
댓글