Central cloudy dystrophy of Francois 약어로 CCDF라 불리는,
프랑수아에 의해 발견되었다하여, 프랑수아(Francois) 중심혼탁 이상증이라 불립니다.

프랑스 안과의사 프랑수아 Francois 가 처음 기술한 이 질환은 드문 질환으로,
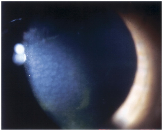
각막에 발생하는 “Crocodile shagreen” (악어가죽 무늬) 같은 불규칙한 반사/혼탁이 특징입니다.
시축의 중심부에 위치하며, 각막의 뒤쪽 기질층에 혼탁이 발생합니다.

AD (Autosomal Dominant, 상염색체 우성) 유전 형태로 유전되며,
가족력이 있는 경우가 많으나,
하지만 진행하지 않으며, 대부분 무증상으로 시력에 영향을 미치지 않으며,
늦게까지 정상 시력을 유지하기때문에 우연히 발견되는 경우가 많습니다.

세극등현미경 검사 (Slit-lamp)에서 중심 혼탁이 악어가죽 모양의 불규칙한 반사 형태로
우연히 발견되면서, 진단되며,

시력 감소는 없으며 다른 증상 없으면 치료가 필요없습니다.

이상으로,
Central cloudy dystrophy of Francois, CCDF, 프랑수아 중심혼탁 이상증에 대한내용입니다.
'안과 질환과 안과 치료 > 각막 외안부' 카테고리의 다른 글
| 선천유전 각막 기질 이상증: Congenital stromal corneal dystrophy, CSCD 증상 치료 원인 유전 (0) | 2025.04.11 |
|---|---|
| 후무형태 기질 이상증: posterior amorphous stromal dystrophy, PASD 진단 치료 원인 유전 (0) | 2025.04.11 |
| 주근깨 각막이상증, fleck corneal dystrophy, FCD 유전 원인 증상 치료 (0) | 2025.04.10 |
| 슈나이더 결정 이상증, Schnyder crystalline Corneal Dystrophy (1) | 2025.04.02 |
댓글