반응형
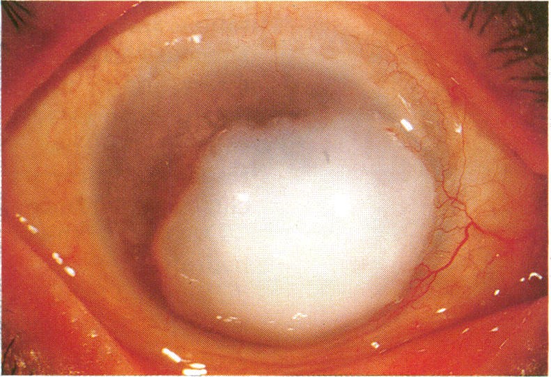
각막 켈로이드는 매우 드문 질환입니다.
임상적으로 잘쯔만 각막변성 salzmann nodular degeneration 과 유사한데,
hyaline 물질이 각막에 침착되는 형태입니다.

대표적인 hyaline 침착 질환에는
잘쯔만 각막변성,
각막켈로이드
과립각막이상증
구상각막변성
이러한종류가있습니다.
각막켈로이드는 원발성 속발성모두가능하며,
튀어나온 돌기는 흰색이고 표재성으로, 각막기질내로침범하기도합니다.

대부분 치료가 필요하지는 않으나, 이물감이나 시력저하가 있는 경우,
표층각막절제술, 부분 혹은 전층 각막이식이 필요합니다.

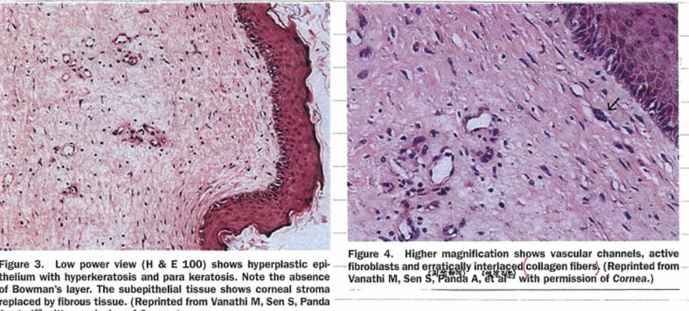
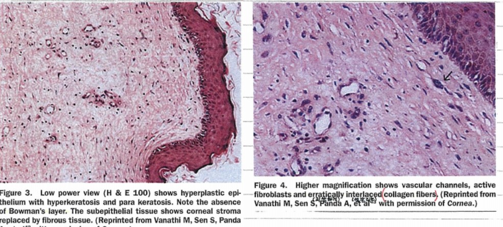
조직학적으로 hyalized collagen fiber 들이 침착되면서,
그사이사이에 fibroblast(섬유모세포)의 증식이 있습니다.
각막상피아래 보우만층에 침착되어, 보우만층이 없거나 분저된 소견이관찰됩니다.

지금까지 드문 질환,
각막 켈로이드 (Corneal Keloid) 입니다.
반응형
'안과 질환과 안과 치료 > 각막 외안부' 카테고리의 다른 글
| 코우츠 각막 백색환 Coats’ white ring (0) | 2025.05.14 |
|---|---|
| 석회 각막 변성, 근골성 변성 Calcareous corneal degeneration (0) | 2025.05.13 |
| 아밀로이드 각막변성 amyloid corneal degeneration (1) | 2025.04.23 |
| 띠각막병증, band keratopathy 의 원인 및 치료, K2 EDTA 피검사 혈액검사 튜브를 이용한 치료 (0) | 2025.04.23 |
댓글