반응형
이소성 눈물샘 ectopic lacrimal gland 는
정상적으로 발생하여야하는 위치가 아닌 부분에
눈물샘 조직이 발달하여 존재하는것을 의미합니다.
유피종이나 피부지방종에 이어서 두번째로 흔한 분리종으로서,


조직학적으로 정상적인 모습을 보이는 조직이 비정상적인 위치에서 증식하는것을
분리종(choristoma)라고 합니다.

조직검사를 하엿을때 조직검사에서 횡문근 smooth muscle fiber 을 발견하는 경우,
병변이 눈물샘의 이소성 눈꺼풀엽이라는것을 시사합니다.
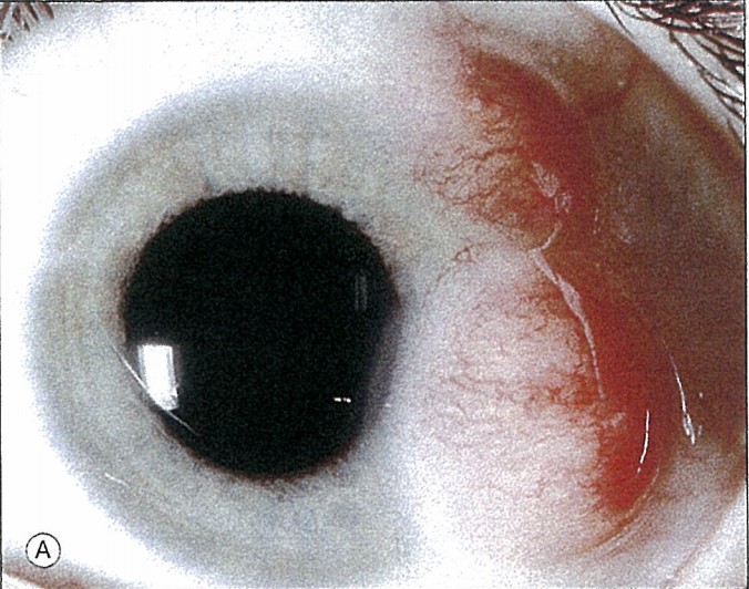
병변은 선명한 붉은색이고, 투명한 결정이 관찰되고 혈관화가 잘되어 있습니다.

안와에 존재하는 이소성 눈물샘과 달리 악성으로 변할 가능성은 드뭅니다.
지금까지...
ectopic lacrimal gland 결막 눈꺼풀에 발생한 이소성 눈물샘에 대한 이야기입니다.
반응형
'안과 질환과 안과 치료 > 각막 외안부' 카테고리의 다른 글
| 결막상피 흑색증(멜라닌증), Conjunctival intraepithelial hypermelanosis, Physiologic (racial) melanosis (0) | 2025.06.03 |
|---|---|
| conjunctival cyst : 결막낭종 치료 원인 수술 (0) | 2025.06.02 |
| 결막의 피지세포암 sebaceous carcinoma, 마이봄샘 종양 (1) | 2025.05.31 |
| 점액표피양 종양 (mucoepidermoid carcinoma, MEC) (0) | 2025.05.30 |
댓글