AACG, Acute angle closure glaucoma는
PACG, Primary angle closure glaucoma라고도 불립니다.
전형적으로,
60대 ~ 70대 나이에서, 백내장 수술을 받지 않은 환자에서
저녁이나 새벽, 어두운 방안에서 글자등을 보려고하다가,
갑작스럽게 눈에 통증이 발생하고, 두통이 발생하고, 구역, 구토가 발생하는 경우입니다.
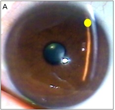
눈은 안압이 오르고 각막 부종이 발생하여,
달무리가 생기면서 뿌옇게 잘안보이고, 충혈이 발생하게됩니다.

두통과 시력저하, 구역, 구토가 있다보니 안과보다는 신경과를 먼저 들렀다가,
약을 먹어도 효과가 없어서 응급실을 통해서 안과로 의뢰되는 경우도 종종있습니다.
이때 기전은....
백내장 수술을 받지않은 수정체안에서(phakic eye)
중간정도로 동공이 커진상태 (mid dilated pupil)에서
동공가장자리와 수정체가 맞닿으면서, 동공차단(pupillary block)이 발생하고,
이에 의한 홍채볼록(iris bombe)에 의해서
전방각이 폐쇄되어(angle closure), 방수유출이 안되어서 안압이 오르는 것입니다.

<폐쇄각 녹내장의 약물치료>
1) 축동제, Pupil constrictor
대부분의 폐쇄각 녹내장에서 축동제는,
홍채와 수정체의 접촉에 의한 접촉성 전방각폐쇄를 개선해줍니다.
하지만, 수정체 전방이동에 의한 폐쇄각 녹내장(2’ angle closure d/t lens iris diaphragm anterior shift)
섬모체 차단녹내장(ciliary block glaucoma, malignant glaucoma)
팽대백내장에 의한 차단녹내장(intumescent cataract)
이러한 경우는 축동제에 오히려 악화되므로 주의가 요구됩니다.
이경우에는 축동제가 아니라 반대로 산동-조절마비제를 사용해야 합니다.
Pilocarpine 안약을 주로 사용하는데,

Eserine, Echothiopate 와 같은 강한 축동제는 오히려 pupillary block을 가중할수 있고,
혈관 울혈을 증가시키므로 사용해선 안됩니다.
2) 베타차단제, Beta blocker
안압을 즉각적으로 떨어뜨리기위해서 베타차단제 안약을 사용합니다.
다만, 천식이나 서맥과 같은 심폐질환이 있는 경우에는 비선택적 베타차단제는 사용해선 안됩니다.
3) 알파작동제, alpha anist
급성기 만성기 모두에서 안압 조절을 위해 사용합니다.
4) 프로스타글란딘, PG analogue
급성기 안압하강으로는 전방의 염증세포를 더욱 가중시킬수 있다는 이유로, 주로사용하지 않고,
만성기에 접어든 폐쇄각녹내장에서 안압조절을 위해 주로사용합니다.
5) Carbonic anhydrase inbihitor, Oral CAI
경구제제로 oral acetazolamide를 사용하여 안압 조절을 보조합니다.
6) 고삼투압제제, Mannitol
만니톨을 IV로 혈관주사하여 안압 조절을 합니다.
7) 스테로이드 안약
심한 염증이 동반된 AACG에서 사용합니다
레이저 홍채절개술 혹은 수술적 홍채 절제술 이후 염증반응을 진정하기위해서도 사용합니다.
<폐쇄각 녹내장의 레이저 치료>
1) 레이저 홍채절개술, Laser iridotomy, LI
동공차단으로 인한 모든 폐쇄각 녹내장에서 1차 시술이 되는 방법입니다.
수술적으로 주변부 홍채를 절제하는 surgical iridectomy 와 동일한 치료효과를 보이면서
합병증은 더 적으며, 간단하기 때문에 1차 치료로 사용하게됩니다.

AACG가 발생한 반대편 눈에도 예방적으로 홍채절개술이 필요한데,
반대편눈에서 5년안에 50~ 75%에서 급성발작이 발생하기 때문입니다.
- 급성 발작이 있는 반대편눈
- 폐쇄가능한 전방각을 보이며, 폐쇄각 녹내장의 가족력이 있는 경우
- 폐쇄가능한 전방각을 보이며, 정기적 산동검사가 필요한 경우
- 폐쇄가능한 전방각을 보이며, 안과검사가 정기적으로 시행되기 어려운 경우
이러한경우에서 예방적 LI를 시행합니다.
2) 아르곤레이저 주변부 홍채성형술, Argon laser peripheral iridoplasty, ALPI

ALPI는 LI를 대신하는 치료는 아니지만,
Pupillary block을 없애는데 도움을 줄수 있어서
LI 시행전후 혹은 동시에 시행할수 있습니다.
3) Laser pupilloplasty
AACG시에 주변부 각막 혼탁 혹은 주변부 전방이 너무 얕아서,
LI나 ALPI를 시행하기 어려운 경우 시행하는 방법입니다.
이는 동공연에 직접 레이저를 쏘아서 동공형태를 변형시키는 것으로
Pupillary block을 개선시켜보려는 목적의 시술입니다.
지금까지...
급성 폐쇄각 녹내장, Acute angle closure glaucoma, AACG, 치료방법, 약물 레이저 처치 수술에 대해서 알아보았습니다.
'안과 질환과 안과 치료 > 녹내장' 카테고리의 다른 글
| 홍채각막내피증후군 (ICE syndrome, iridocorneal endothelial syndrome)과 코간리즈(Cogan Reese, Iris nevus) (24) | 2022.06.30 |
|---|---|
| 급성 폐쇄각 녹내장 발작, AACG attack 응급 처치, 수술적 치료 (24) | 2022.06.29 |
| 정상안압녹내장 NTG 치료대상, 치료방법, 약물, 수술, 레이저 (24) | 2022.06.27 |
| 저안압녹내장, Low tension glaucoma 유사 질환들, 감별해야하는 진단, 오인가능 질환 (24) | 2022.06.26 |
댓글