홍채각막내피증후군(Irido- Corneal Endothelial syndrome)은
이름그대로 홍채(irido, iris)와 각막내피(Corneal endothelial)에 이상이 생기는 증후군으로,
20대 ~ 40대의 여성에서 호발하는
원인 미상의,
편측성으로 한쪽눈에서 발생하는
홍채위축, 각막부종, 주변부홍채유착으로 이한 이차성폐쇄각 녹내장이 특징적인 질환입니다.
홍채각막내피증후군 (ICE syndrome)의 발생기전
ICE syndrome 의 발생은, 비정상적인 각막내피가 원인이라고 생각되고 있습니다.
비정상적인 각막내피가 전방각을 지나 홍채주변부까지 과성장하고 수축하여,
전방각을 막음으로 안압상승이 발생하고, 홍채의 모양이 변형되게 됩니다.
이때 홍채가 오랫동안 모양이 당겨지면 위축이 발생하고 때로는 홍채의 일부에 구멍이 날수도 있습니다.

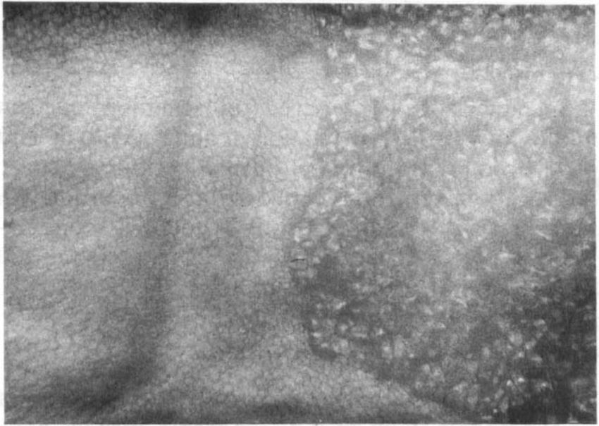
각막내피세포 검사 (specular microscopy)를 이용하여 비정상적인 부분을 촬영시
정상적인 각막내피세포보다 더 크고 어두우며, 한가운데 밝은 흰점이 있는 비정상적인 각막내피세포가 있습니다.
이러한 세포들은 세포의 한가운데에 밝은 점 혹은 세포벽 테두리를 따라서 밝은 선을 가지는 어두운 영역으로 관찰됩니다.

이러한 세포들은 ICE syndrome 에서 특징적인 양상이기 문에, ICE cell 이라고 합니다.

얼음 ICE를 담는 ICE bucket 의 모양을 보면,
겉에 망치로 두드려 놓은듯한 모양을 합니다.
이를 Hammered Silver 라고하는데, ICE cell 을 현미경으로 관찰하였을때 특징적인 모양을
이렇게 표현합니다.

최근에는 환자의 각막에서 HSV DNA가 양성으로나온다는 보고도 있어, Virus 로 인한 원인도 의심되고 있습니다.
홍채각막내피증후군 (ICE syndrome)의 유형
홍채각막내피증후군은 홍채의 변형 정도에 따라서 총 3가지 아형으로 분류합니다.
- 코간-리즈 증후군(Cogan-Reese syndrome, Iris nevus syndrome)
- 챈들러 증후군(Chandler syndrome)
- 진행성 홍채위축, 본태성 홍채위축(progressive essential iris atrophy)
<코간 리즈 증후군, Cogan-Reese syndrome, Iris nevus syndrome, Iris nodule syndrome>
안과의사 Dr. Cogan 과 Dr. Reese에 의해서 밝혀졌다고 하여,
이름을 따서 코간-리즈 증후군이라고 하는 이 질환은,
임상양상에 따라 붙여진 이름은,
Iris Nevus syndrome, 혹은 Iris Nodule syndrome 입니다.

즉, 홍채의 색소결절이 나타나는 것이 가장 큰 특징입니다
홍채의 결절성 변병은 홍채의 실질과 비슷한 구조를 가지며,
항상 세포성 막으로 둘러싸여있는데,
이막은 한층으로된 각막내피세포와 한층의 데스메막을 닮은 막으로 되어있습니다.
즉, 앞서 이야기한 각막내피세포의 비정상적인 증식이 홍채위까지 뻗어있다는 가설을 뒷밤침합니다.

심한경우에는,
광범위한 양상으로 각막 및 홍채의 이상이 동반될수 있는데,
이 경우 수많은 홍채결절(iris dark nodule), 홍채의 겉말림(ectropion uvea), 동공모양이상(pupil distortion)이 발생할수 있습니다.

지금까지...
홍채각막내피증후군 (ICE syndrome, iridocorneal endothelial syndrome)과 코간리즈(Cogan Reese, Iris nevus)에 대해서 알아보았씁니다.
또다른 두가지 아형인
챈들러 증후군과, 진행성 홍채 위축은 다음글에서 알아보도록하겠습니다.
댓글