Posterior Polymorphous Corneal Dystrophy,
첫글자를 따서 약어로, PPCD라고 하기도 하고,
Posterior PolyMorphous Dystrophy에서 첫글자를 따서 PPMD 라고 하기도 합니다.
문자그대로 번역하자면
후부 다형 각막 이상증 으로 번역됩니다.
각막후부의 모양이 다형태, 여러 가지 형태의 이상을 보이는 각막이상증입니다.

독일의사 Schlichting 이 발견하였다하여,
Schlichting dystrophy, 슐리흐팅 이영양증, 슐리흐팅 이상증으로 불리기도 합니다.
<후부다형각막이상증(posterior polymorphous corneal dystrophy, PPCD, PPMD) 특징>
PPMD는 흔히 양측성으로 알려졌으며
각막후면의 여러 형태의 변화와 드물게 홍채와 전방각의 변화를 초래하는 질환으로서,
특징적으로 상염색체 우성유전을 합니다
후부다형각막이상증(PPCD)은 보통 양성이며 진행하지않는다고 알려졌지만
일부에서는 각막부전이나 녹내장으로 진행하기도 합니다.
PPMD에서는 각막내피의 이상이 발견되는데,
각막상피세포의 특징을 가지는 비정상적인 각막내피세포들이 관찰되고,
이러한 세포들이 증식을 일으키면서, 정상적인 각막내피세포를 대체함으로써 질환이 발생합니다.
비정상적인 내피세포들은, 각막상피세포들이 가지고 있는 특징인,
Desmosomes 및 microvilli를 가지고 있으며, 종종 다층화(multilayered) 되어 있는 양상을 보입니다.
또한 전형적인 상피세포 표지자(epithelial marker)의 분화를 담당하는 cytokeratin, intermediate filaments를 가지고 있습니다.
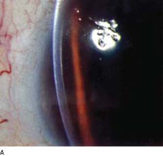
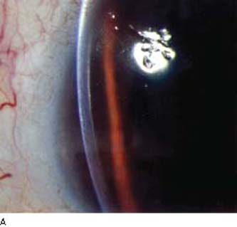
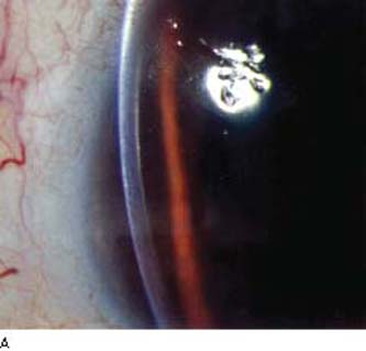
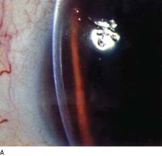
이러한 비정상적인 각막내피세포들은
각막 후면에서 희미한 회색의 소포(vesicle)이나 포진(blister)의 형태를 보이며,
선상이나 무리를 지어모여있습니다.


또한 깊은 각막 실질과 데스메막에서 증식하면서, band like thickening을 보여,
전형적인 tram track 양상을 보입니다.

<후부다형각막이상증(PPCD, PPMD)의 치료>
1) 녹내장 치료
PPMD의 약 15%에서 녹내장이 발생하는데,
간혹 홍채유착이나, 홍채편위 등을 동반합니다.

녹내장은 비정상적인 각막내피세포가 증식하면서 전방각을 덮음으로써 발생하는 것으로 생각되어,
방수 생산을 감소시키는 약물을 사용하며,
여과수술을 통해 방수 유출경로를 만들어주는 것이 치료입니다.
2) 각막 부종의 치료
대부분의 경우, PPMD는 진행하지 않아,
별다른 통증을 유발하거나 부종이 진행하지않습니다.
하지만 각막 부종이 발생하면, 부종을 제거하기위한
소프트 컨택트 렌즈, 고삼투압제제 약물을 사용하고
이에 반응이 없는 경우 각막이식이 필요합니다.
지금까지...
PPMD(Posterior Polymorphous Corneal Dystrophy, PPCD), 후부다형각막이상증의 원인, 치료, 녹내장 각막부종에 대해서 알아보았습니다.
댓글