구상 spheroidal degeneration이라는 말은
spherical 구형 : 모든방향으로 거의 완벽하게 둥근 모양이 아니라,
spheroidal , 구상 : 거의 구형이지만 완벽하게 둥글지는 않은 모양을 나타내는 용어로,
공모양의 침착이 나타나는 각막 변성을 의미합니다.
Spheroidal degeneration of Cornea , SDC라고 하는데, 이는 다른 용어로,
Labrador keratopathy,
Bietti nodular hyaline band-shaped keratopathy(비에티 결절각막 퇴행증)
climatic droplet keratopathy(CDK, 기후작은방울 각막병증)
proteinaceous corneal degeneration,
elastotic degeneration,
Fisherman's keratopathy,
Eskimo's corneal degeneration
이런 다양한 용어로도 알려져 있습니다.
제1형, 제2형, 제3형으로 나뉩니다.
제1형 (primary)의 경우는 Priamry corneal type a/w increasing age 이라합니다.
다른 안과 병변 없이 각막에 단독으로 발생하는 경우를 의미합니다.
다른 안과 질환 없이 각막의 양측성으로 나타나며,
자외선 blue light 에, 자주 노출되는 부위, 건성안이 생기는 부위, 지속적인 trauma에 노출되는 부위 등에 생깁니다.
원인은 모르나, 태양, 노령, 건조한 기후, 바람, 모래 등에 의한 작은 손상에 의해서 발생하는것으로 알려져 있습니다.



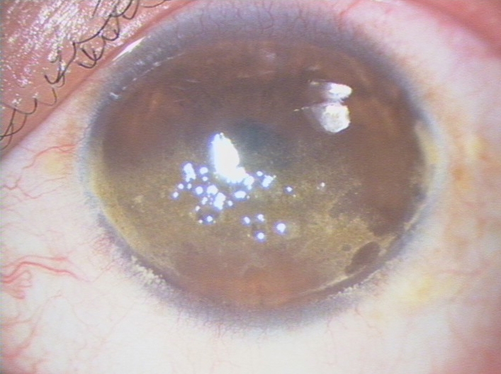
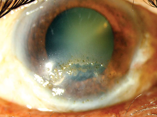
상피하에 여러개의 공모양 변성이 관찰됩니다.
황갈색 구슬 형태 침착이 관찰되며, 보통 노년층에서 양측성으로 보입니다.
제2형 (secondary) 의 경우는 속발성을 의미하며, Secondary corneal type a/w preexisting pathology 이라합니다.
이는 다른 안과 질환과 동반하여 발생하는 것으로,
만성 염증, 각막염 후 염증 침착으로 인해 이차적으로 발생하는 것으로,
공모양의 축적은 점저 색소침착이 되면서, 어두워지면서
밝은 노랑에서 갈색 노랑으로 바뀌게되며, 신생혈관을 일으키는 여러질환에 의해서 발생하기에,
반흔, 색소침착, 광범위 혼탁 등이 동반됩니다.


제3형은 결막에서발생하는 결막 형태로 Conjuncitval type이라합니다.
각막에서 발생하는 1형, 2형과 동시에 발생합니다.
3시, 9시 방향에서 일어나며, 공모양의 축적이 다른 형태보다 작고 수도 적습니다.

1형과 3형은 자외선, 미세외상이 원인이며,
눈을떴을때 노출되는 3시, 9시 방향에서 주로 일어납니다.
남자 > 여자, 나이가들면서 유병률이 증가합니다.

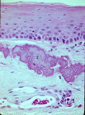
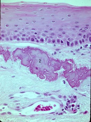
조직 병리 소견상
상피하, 보우만층, 각막기질에서 hyaline 양 물질의 침착이 보이며,
진행되는 경우, 상피도 침범하게됩니다.


결막 병변은 이물감이나 자극감이 있는 경우,. 수술적으로 제거가 가능합니다.
각막의 병변이 시력을 저하시킬정도로 진행되는 경우,
표층 각막이식이나 전층 각막이식등으로 제거할수 있으나, 재발할수 있습니다.
'안과 질환과 안과 치료 > 각막 외안부' 카테고리의 다른 글
| 띠각막병증, band keratopathy 의 원인 및 치료, K2 EDTA 피검사 혈액검사 튜브를 이용한 치료 (0) | 2025.04.23 |
|---|---|
| 띠각막병증, Band keratopathy 대상 각막증 의미 증상 검사소견 (0) | 2025.04.23 |
| 지방 각막 변성 : cornea lipid degeneration 진단 치료 원인 종류 (0) | 2025.04.18 |
| 분말형 각막, Cornea Farinata, 각막에 있는 밀가루 같은 분말 (0) | 2025.04.18 |
댓글