유피종은 드문 선천성 종양 으로,
부드럽고 노란 원형의 융기된 종괴입니다.
대부분 각막 윤부의 측하방에서 발생하여 corneal dermoid 혹은 limbal dermoid 로 불립니다.
각막 유피종 혹은 각막윤부, 각막 가장자리 유피종이라고합니다.

유피종은 크기가 작으면 황갈색으로 보이며,
크기가 클수록 더 희게 보이고 안구표면에서 융기되어 보입니다.


병변의 크기가 작고 증상이 없으면 즉, 시축으로 침범되지 않으면 시력에 영향을 미치지 않기에 치료하지 않아도 됩니다.
미용상의 이유로 오히려 절제하면 수술후의 각막 흉터로 인해서 오히려 더 나쁘게 보이게됩니다.

단, 병변이 크고, 자극이되거나, 난시를 유발하거나, 눈물층 불균형, 눈꺼풀이 덮이지 않거나 하면 제거해야합니다.
이때 shaving excision 형식으로 면도하는것처럼 얇게 제거하는 느낌으로 수술합니다.

각막의 중심을 침범하는 경웅 시력에 영향을 미치므로, 제거합니다.
이때는 표층각막 이식술이나 전층 각막 이식술이 필요합니다.
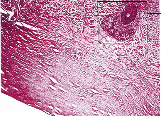
조직소견으로는 문자그대로 피부와 유사한 종양이기에,
진짜 피부 즉, 진피로 이루어져 있어,
진피의 구성조직과 피부 부속기관이 자리하고 있씁니다.

단단한 섬유 조직과 모공, 피지샘 등의 진피 구조들이 결막상피에 덮여 있습니다.

이상으로,
각막 유피종 corneal dermoid 각막가장자리 유피종 limbal dermoid 윤부유피종 원인 치료 증상 진단 수술에 대한 이야기입니다.
'안과 질환과 안과 치료 > 각막 외안부' 카테고리의 다른 글
| 화농성 육아종, pyogenic granuloma 육아종성 염증, 결막의 육아종 원인 치료 수술 (1) | 2025.06.12 |
|---|---|
| 안구결막 골성 분리종 epibulbar osseous choristoma 원인 치료 증상 사진 (0) | 2025.06.11 |
| 결막의 피부 지방종 (dermolipoma, lipodermoid) 흰동자 노란 지방덩어리 원인 치료 수술 제거 (1) | 2025.06.07 |
| 악성 흑색종 (malignant melanoma) 치료 원인 뜻 사진 의미 증상 양상 (0) | 2025.06.06 |
댓글