결막에 발생하는 악성 흑색종은 결막에 있는 멜라닌세포, 흑색세포에서 부터 발생한
악성 종양입니다.
25% 는 먼저 존재하던 모반 nevus 가 악성화 되어 발생하게되며,
75% 는 PAM이 악화되어 발생합니다.

정상으로 보이던 점막에서 처음으로 생길수도 있다고 알려져 있습니다.
50대 초반, 백인에게 호발하며,
흑인, 20세 이하에서는 매우 드물게 발생합니다.
남녀 성별차이는 없는것으로 알려져 있습니다.

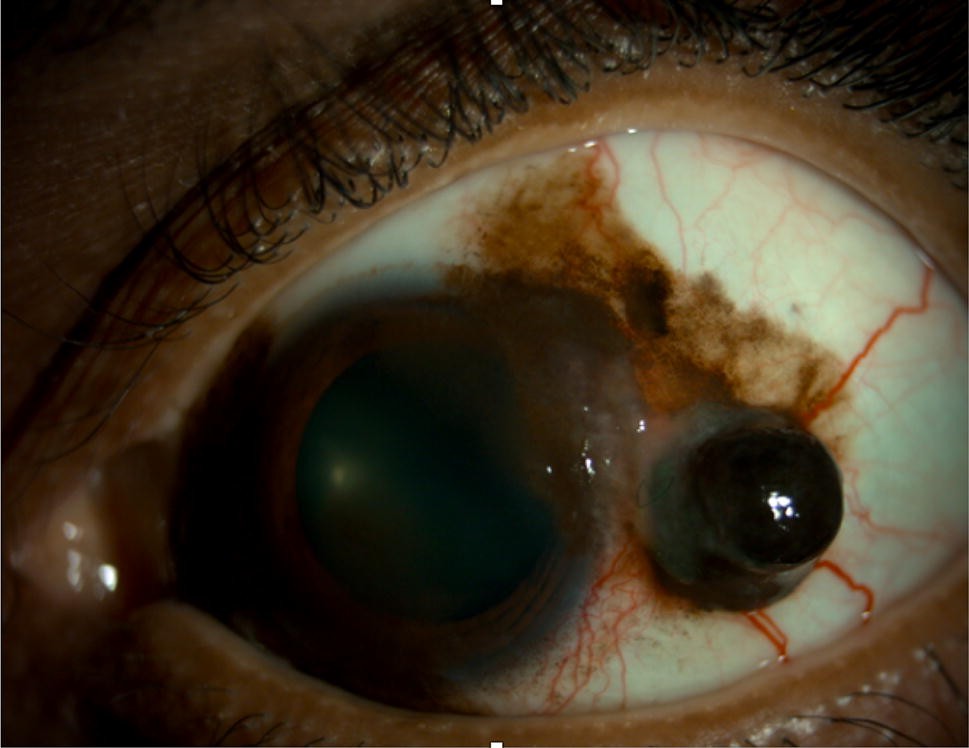
임상양상으로는,
악성흑색종은 융기를 동반한 갈색, 흑색 반점 종양으로,
대개 색소 함량이 많아서 갈색, 흑색으로 보입니다.

악성흑색종은 주변으로 퍼지게되는 경우, 나쁜 예후를 보입니다.

따라서 통계적으로 나쁜 예후를 보이는 요소들로는,
1) PAM에서 생긴 파제트병 적인 성장 양상을 가지는 악성흑색종의 경우, 주변으로의 전이가 많아, 사망률이 40%에 이릅니다.
2) 눈물언덕이나 눈꺼풀 결막, 구석결막에 생긴경우에는 안구 결막에 발생한 경우보다 더 나쁜데, 안구결막의 경우 단단한 공막에 더 전이되는것을 막아주는 방어막 역할을 하기 때문입니다.
3) 안구조직 깊숙히 침범한 경우 역시 나쁜 예후를 보입니다.
4) 조직학적으로 중증도 이상의 이형성 보이는 경우는 예후가 좋지 못합니다.
5) 고배율에서 현미경관찰시 5개 이상의 유사분열 소견이 있는 경우, 활성도가 높아 예후가 나쁩니다.
6) 종양내 다면체 세포의 덩어리가 있는 경우,
7) 종양에 의한 염증성 반응이 있는 경우 예후가 나쁩니다.

치료는 병변이 있는 부위를 완전 절제하는 것으로, 그자리 및 주변 결막에 냉동술을 시행합니다.
안와 내용 제거술 자체가 악성 흑색종의 예후와 비교적 무관하기에, 구딩 처음부터 안와내용제거술을 시행할 필요는 없습니다.
'안과 질환과 안과 치료 > 각막 외안부' 카테고리의 다른 글
| 각막 유피종 corneal dermoid 각막가장자리 유피종 limbal dermoid 윤부유피종 원인 치료 증상 진단 수술 (1) | 2025.06.10 |
|---|---|
| 결막의 피부 지방종 (dermolipoma, lipodermoid) 흰동자 노란 지방덩어리 원인 치료 수술 제거 (1) | 2025.06.07 |
| 원발성 후천성 흑색증 (PAM : Primary Acquired Melanosis) 뜻 정의 치료 조직소견 임상양상 (0) | 2025.06.05 |
| 결막 모반 (conjunctival nevus) 원인 정의 특징 치료 재발 수술 (0) | 2025.06.04 |
댓글