반응형
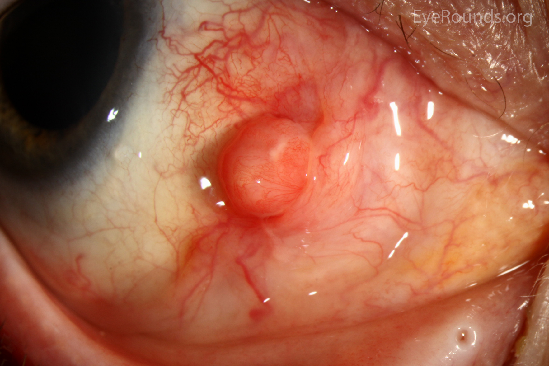
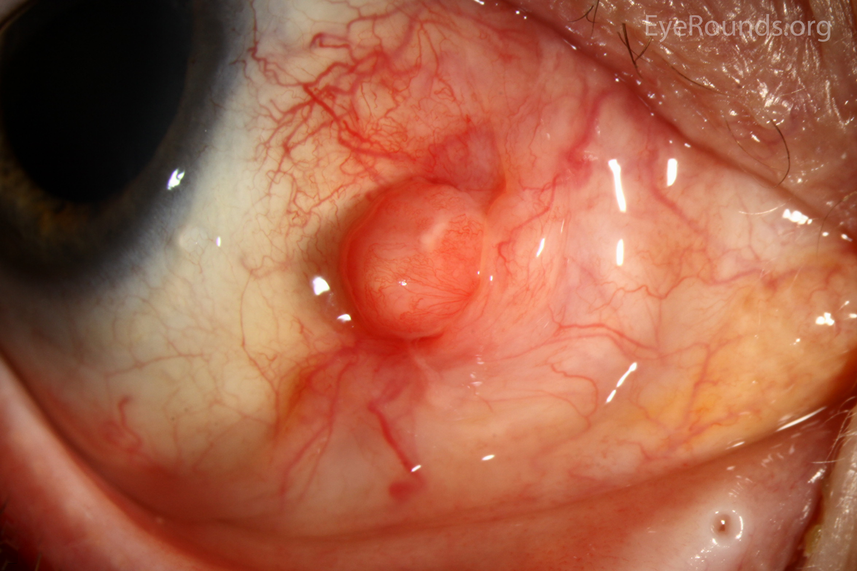
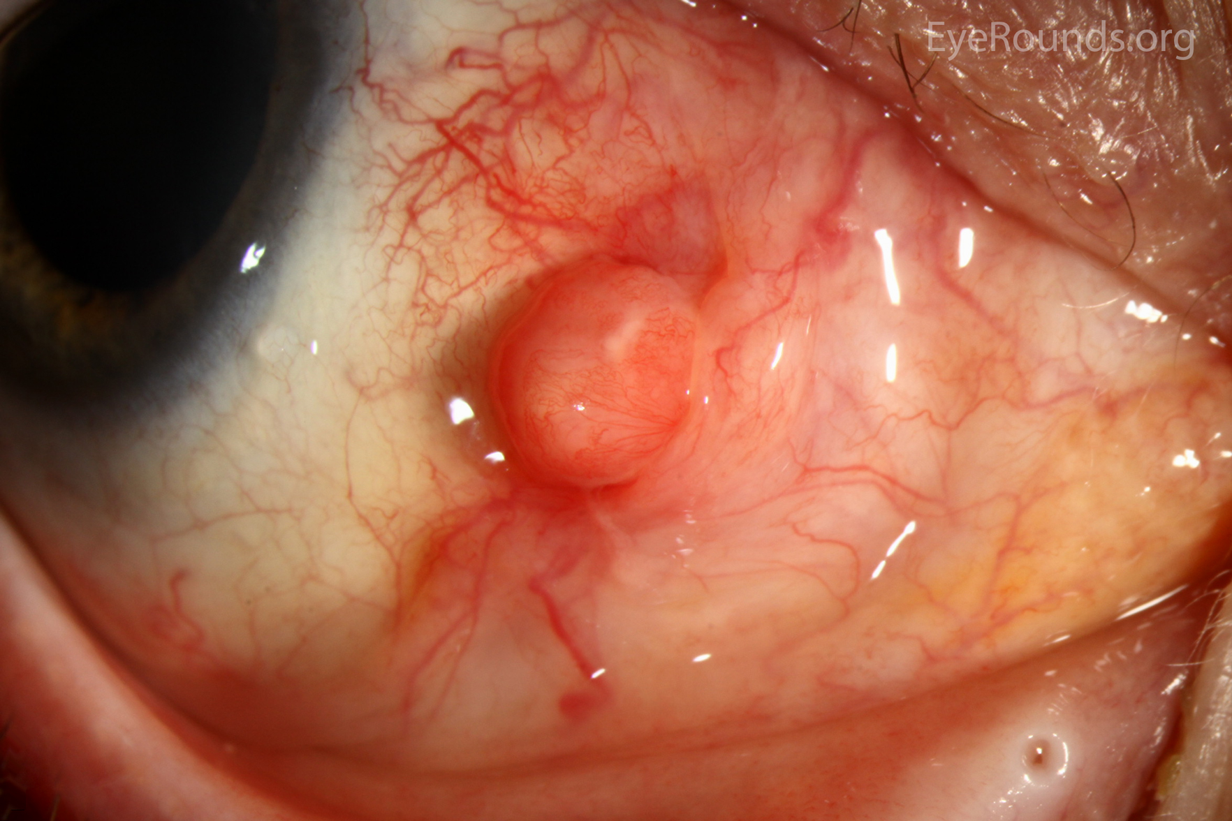
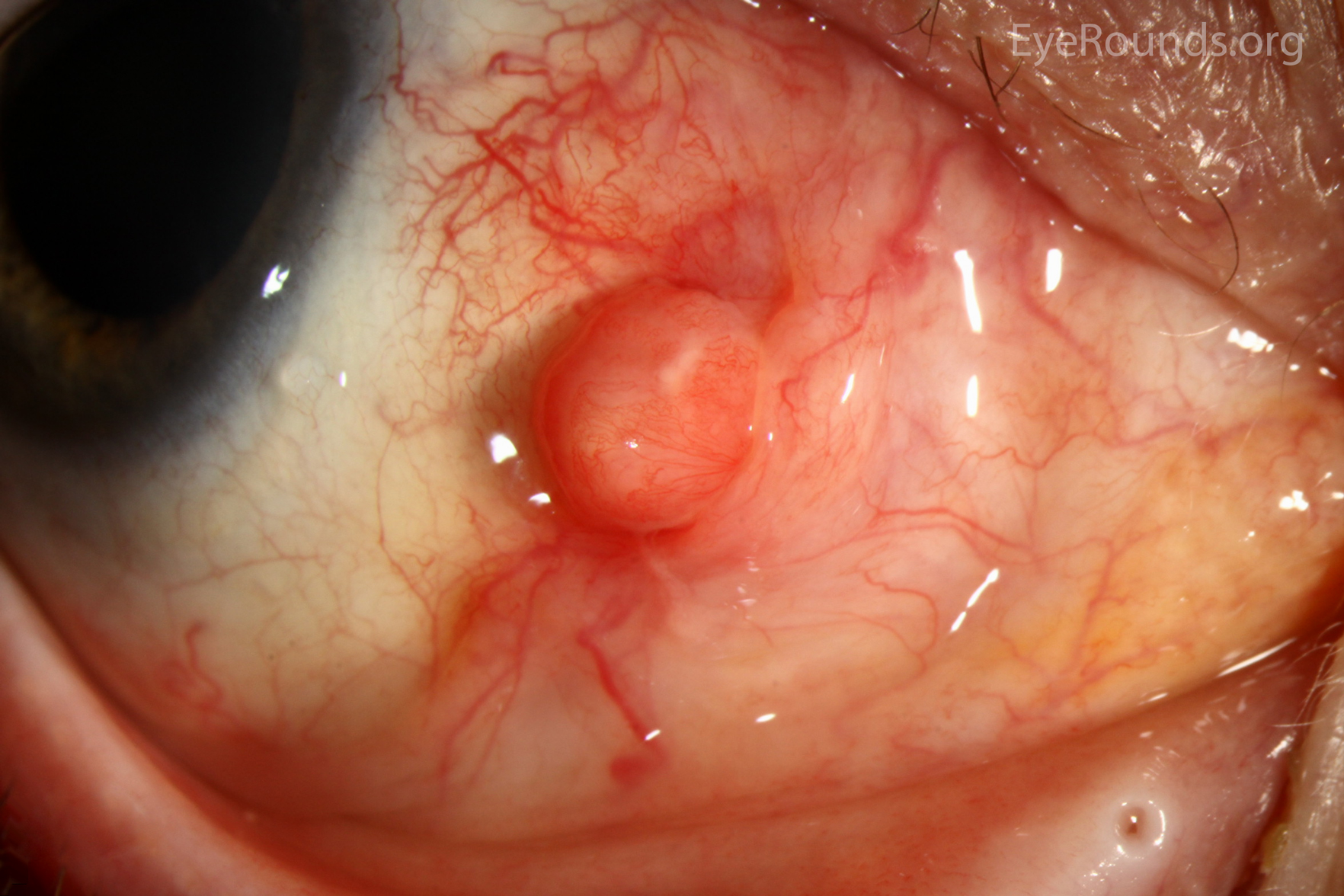
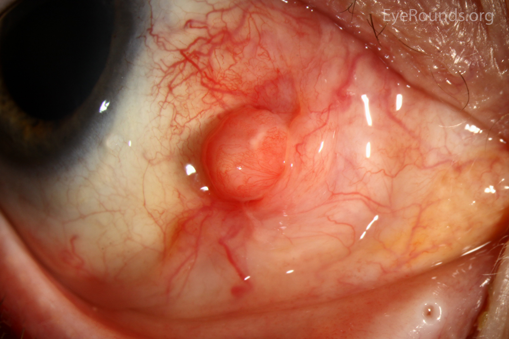
화농성 육아종, pyogenic granuloma 은 실제는 육아종성 염증이아니기 때문에 잘못된 명칭 misnomer입니다.
사실은 피부나 점막에 모두 발생할수 잇는 혈관성 종양으로,
자극이나, 신체외상, 호르몬 요인등에 의해서
조직의 과도한 증식에 의해서 나타나는데, 모세혈관의 증식이 있는 것으로 모세혈관종의 일종입니다.
원인은 불충분한 콩다래끼의 절제 이후 혹은 결막 창상의 불완전한 봉합, 이후 혹은 결막 이물 등으로 인해서 발생합니다.



붉은 살빛의 종괴가 관찰되는데,
국소적 스테로이드에 반응하기도 하지만 대부분 다른 악성 종양과의 감별을 위한 조직검사를 위해서라도
결국 바닥부를 깨끗하게 해주는 외과적 절제가 필요합니다.
이상으로,
화농성 육아종, pyogenic granuloma 육아종성 염증, 결막의 육아종 원인 치료 수술 입니다.
반응형
'안과 질환과 안과 치료 > 각막 외안부' 카테고리의 다른 글
| 결막 림프종 conjunctival lymphoma 원인 치료 백혈병 전신치료 방사선 항암치료 (0) | 2025.06.14 |
|---|---|
| 카포시 육종 (Kaposi's sarcoma) 면역저하자 HIV 관련 눈감염 (0) | 2025.06.13 |
| 안구결막 골성 분리종 epibulbar osseous choristoma 원인 치료 증상 사진 (0) | 2025.06.11 |
| 각막 유피종 corneal dermoid 각막가장자리 유피종 limbal dermoid 윤부유피종 원인 치료 증상 진단 수술 (1) | 2025.06.10 |
댓글