반응형
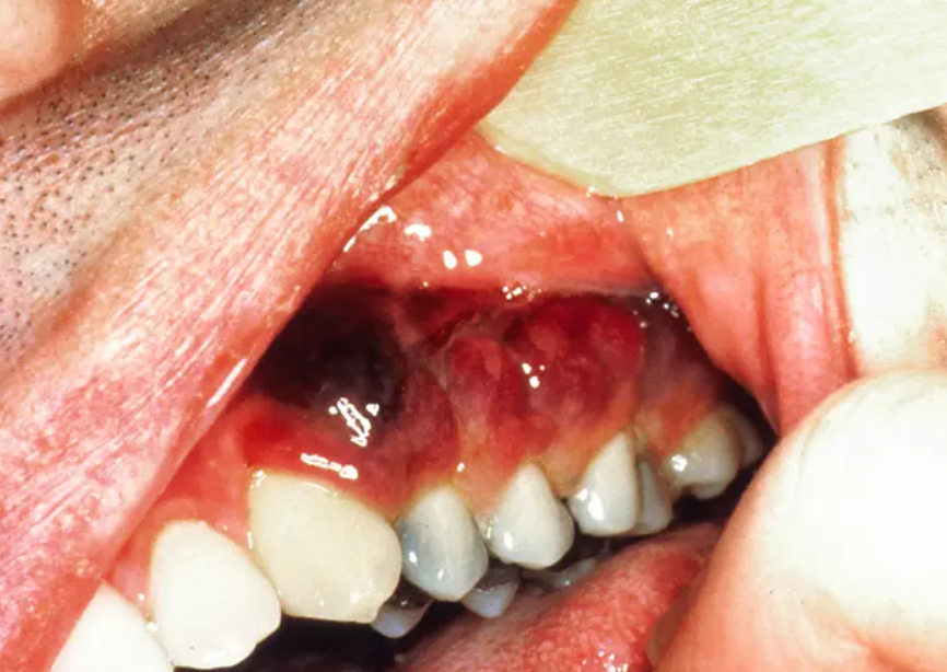
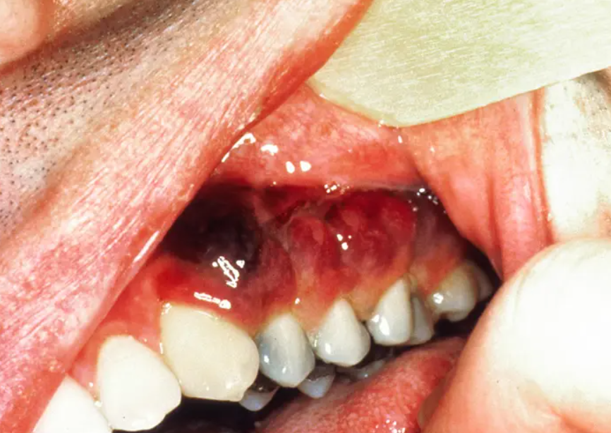
카포시 육종은 HIV AIDS 에 감염된 환자에서 주요한 사망의 원인이 되는 질환입니다.
피부과의사 카포시에 의해서 처음 기술되어 그 이름을 붙여 카포시 육종이라합니다.
림프관의 벽, 내피세포에서 기인한것으로 생각되는 방추형의 세포들로이루어진 종양 덩어리가,
서서히 자라는데, 이것이 피부나 점막에서 발견됩니다.


매우 드문 질환이나, 에이즈나, 장기이식 환자처럼 면역기능이 저하된 환자에서 발생하는 악성 종양입니다.
HHV human herpes virus 8 에 의해서 발생하는 악성종양으로, AIDS 환자에서 발견되는 경우는,
상당히 진행된 경우에 발생하며, 전신피부, 림프절, 위장관으로 병변이 퍼지면서, 사망률을 높이게됩니다.

초기에는 결막하 출혈과 유사하게 보이게되는데,
실제로는 아래쪽 결막 구석에 발생하는 선홍색의 혈관성 종괴로,
대개는 성장이 느려 작은 병변은 치료가 필요하지 않으나,
크기가 큰 병변은 방사선으로 치료하게됩니다.
이상으로,
카포시 육종 (Kaposi's sarcoma) 면역저하자 HIV 관련 눈감염에 대한 이야기입니다.
반응형
'안과 질환과 안과 치료 > 각막 외안부' 카테고리의 다른 글
| 결막 림프관종, lymphangioma 안와 림프관종, 림프관 종양 (0) | 2025.06.17 |
|---|---|
| 결막 림프종 conjunctival lymphoma 원인 치료 백혈병 전신치료 방사선 항암치료 (0) | 2025.06.14 |
| 화농성 육아종, pyogenic granuloma 육아종성 염증, 결막의 육아종 원인 치료 수술 (1) | 2025.06.12 |
| 안구결막 골성 분리종 epibulbar osseous choristoma 원인 치료 증상 사진 (0) | 2025.06.11 |
댓글