반응형
호산성 과립세포종 (oncocytoma)은 여러 장기에서 발생할수 있는데
특히 신장이나 침샘, 갑상선 등에서 흔히 나타납니다.
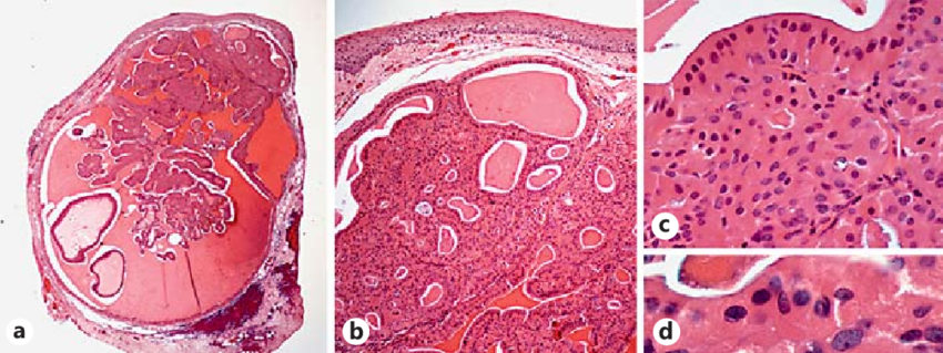
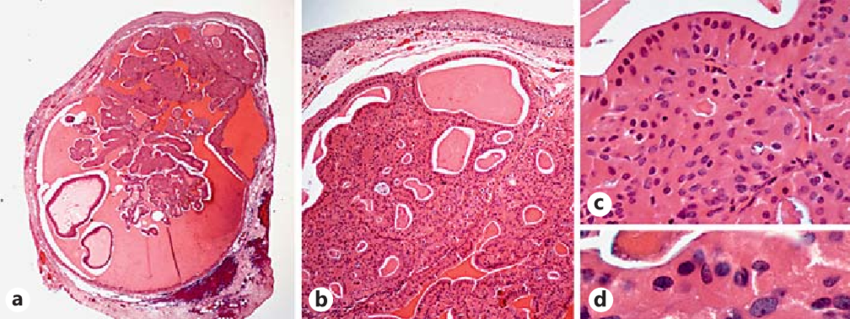
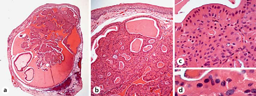
호산성 과립세포종은 대부분 크고 호산성 상피모양의 세포들로 구성되어 있으며,
세포질은 호산성 과립구로 구성되어 있는데 이 세포질을 전자현미경으로 보면
미토콘드리아로(mitochondria)로 꽉 차 있습니다.

안구에 발생하는 호산성 과립세포종은 눈물샘과 관련된 장기들에서 주로발생합니다
눈 부속기에서는 눈물샘, 눈물주머니, 눈물언덕, 결막 등에서 볼 수 있으며
임상적으로 대부분 양성종양이고 완전절제가 추천됩니다.

그중 가장 흔하게 발생하는 빈도는 눈물언덕입니다.
그래서 눈물언덕의 종양에서 감별해야하는것은 조직검사상 호산성 과립세포종입니다.

보통 호산성 과립세포종은
50세 이상의 나이든 여자에서 잘 생기며,
pink~red color 의 양성 종괴 (cystic app. mass)로 나타납니다
크기는 비교적 2.0 ~ 5.0mm 로 작습니다.

대부분 증상이 없으나 미용목적으로 제거하게됩니다.
지금까지..
눈물언덕 종양 호산성 과립세포종 (oxyphilic adenoma, oncocytoma)에 대한 이야기입니다.
반응형
'안과 질환과 안과 치료 > 각막 외안부' 카테고리의 다른 글
| 후태생환, 후태생고리 : posterior embryotoxon PE (0) | 2025.06.20 |
|---|---|
| 큰각막 megalocornea , 거대안구증 megalophthalmos 정의 치료 수술 증상 (3) | 2025.06.17 |
| 결막 림프관종, lymphangioma 안와 림프관종, 림프관 종양 (0) | 2025.06.17 |
| 결막 림프종 conjunctival lymphoma 원인 치료 백혈병 전신치료 방사선 항암치료 (0) | 2025.06.14 |
댓글