정상안압녹내장, Normal tension glaucoma, NTG는
안압이 정상범위 이내더라도 시신경의 손상과 시야 손상이 나타나는 녹내장입니다.
즉 “21mmHg 이하” 라고하는 정상이라고 생각되는 범위내에 안압이 있음에도 불구하고,
시신경과 RNFL의 손상이 나타나고, 시야의 손상이 나타나는 질환입니다.
정상안압녹내장, NTG 와 일차개방각녹내장, POAG와의 차이.
정상안압녹내장, NTG 는
일차개방각녹내장, Primary open angle glaucoma, POAG와 비교하였을때
단순히 안압이 낮다는 것 뿐만 아니라,
그 외에도 POAG와의 차이를 보이는 NTG만의 특징들이 있습니다.
1. 안압
일차성개방각녹내장, POAG는
정상인에 비해 평균안압도 높으며, 안압의 일중 변동폭도 정상인보다 큰 것으로 알려져 있습니다.
반면, 정상안압녹내장 NTG는
평균 안압과 안압의 일중 변동이 정상인과 비슷한 것으로 생각됩니다.
2. 시신경유두 및 RNFL
시신경 유두가 POAG 와 NTG에서 차이를 보이는지에대해서는 보고에 따라 논란이 있습니다
보통은 NTG에서 시신경유두의 창백(disc pallor)이 더 심하고,
유두함몰의 경사가 더 완만하고,
하이측과 이측(귀쪽)의 시신경 유두테가 더 좁고,
시신경유두주위위축(peripapillary atrophy, PPA)가 더 많다는 보고가 있습니다.


반면, 보고에 다라서는 차이가 없다는 보고도 있습니다.
그중 가장 NTG에서 특징적인 소견은, Disc hemorrhage, 시신경유두 출혈이 NTG에서 더 많다는 것입니다.
Disc hmr 는 NTG에서 시야결손의 위험인자고,
특히 1회에 국한된 출혈보다 재발하는 경우, 시신경 손상의 진행이 더 빠릅니다.

RNFL 의 결손의 경우
NTG에서의 RNFL결손이 POAG에 비해서 좀더 시신경의 이측에 국한된 경우가 많습니다.
즉, 국소적으로 비교하였을 때, NTG에서 Fovea에 조금더 가까운 방향에 RNFL의 손상이 위치하고,
폭이 넓은 양상을 보입니다.
3. 시야 결손
NTG에서, 안압이 높은 경우 미만성 결손 (diffuse) 이 더 흔하고

안압이 낮은 경우에는 국소적 결손(focal)이 더 잘 나타나는 경향을 보입니다.

정상안압녹내장, NTG 의 진단, 검사
정상안압녹내장, NTG의 진단을 위한 검사는,
일반적인 녹내장 POAG와 검사 방향이 다르지 않습니다.
NTG만의 임상특징을 고려해서 검사 중에서도 고려할 사항이 있습니다.
1. 안압 검사
NTG에서는 안압이 정상범위내라고 하지만
안압이 올라가거나, 간헐적으로 안압이 상승하는 일이 있으면 안압에 의한 시신경 손상이 가중되게 됩니다.
따라서 병원 진료실에서 진료를 볼때는 안압이 정상으로보일지라도,
간헐적으로 나타날 수 있는 안압상승을 놓치지 않기 위해서, 새벽과 늦은 밤을 포함하여
매 2시간 마다 안압을 측정한는 것이 도움이 됩니다.
이를 통해서 24시간 안압 변동을 측정하는 것이 도움됩니다.
하지만, 임상적으로 쉽지는 않기 때문에, 외래 시간 중에 시간을 내서 1-2시간 마다 여러번 안압을 측정하곤 합니다.
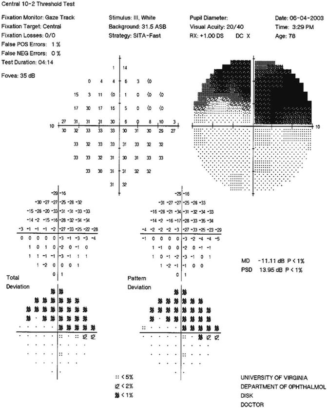
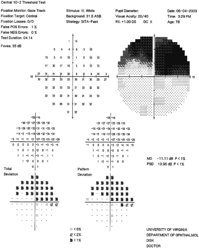
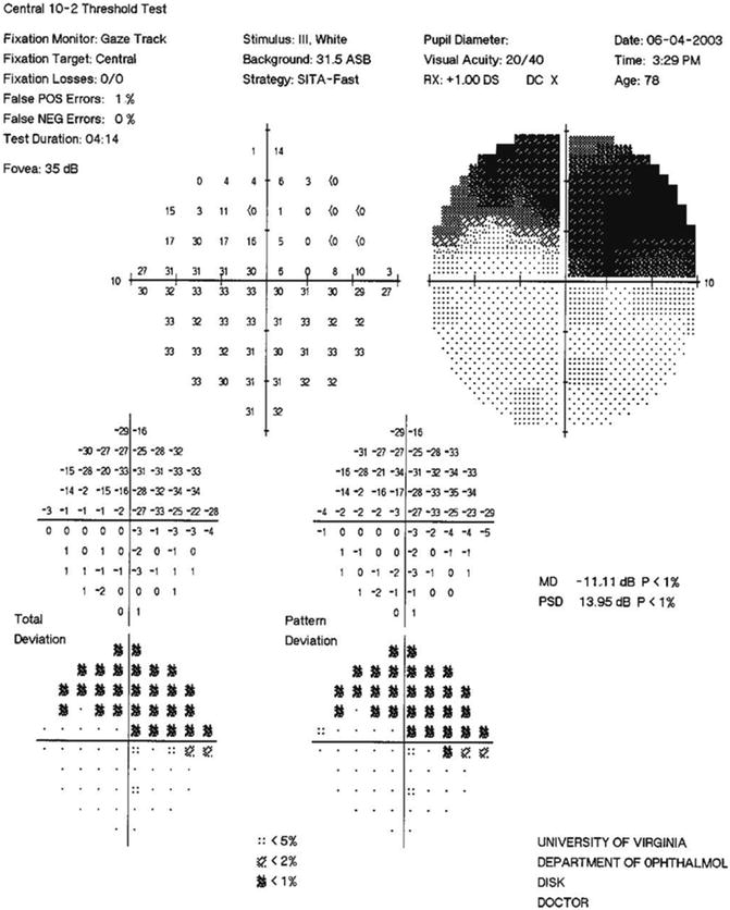
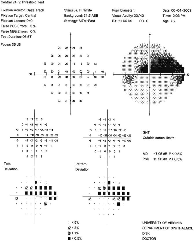
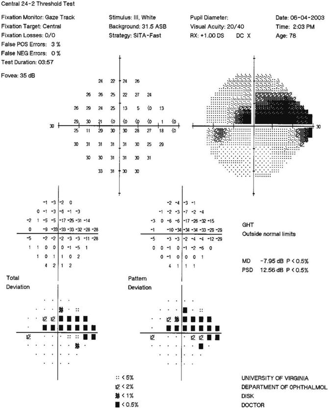
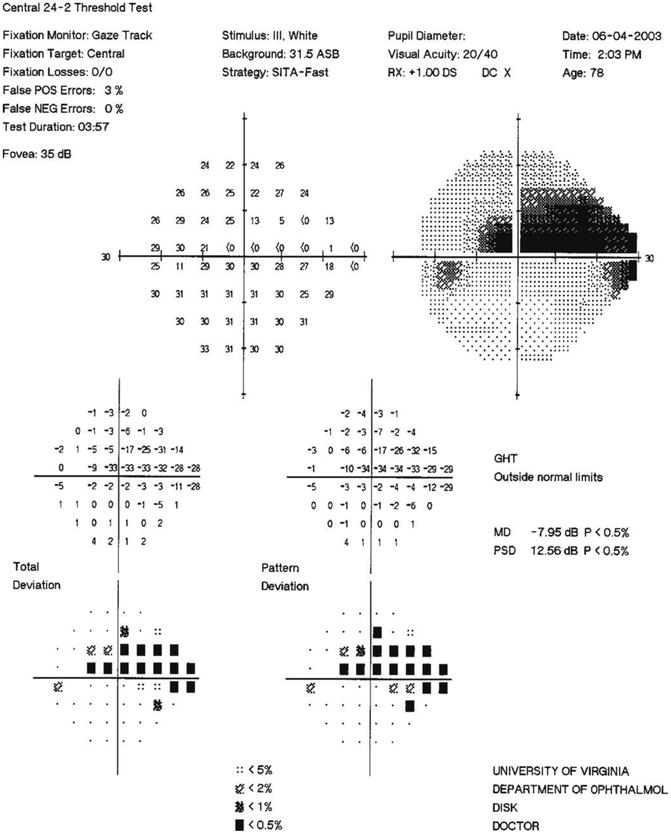
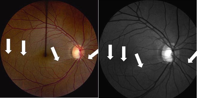
2. RNFL 망막신경섬유층 검사
동양인에서는 망막색소가 풍부하기 때문에, RNFL의 손상이 있을 때,
이를 RNFL 전용 Red free photo를 찍으면, 정상적인 망막색소와 잘대비되어,
RNFL의 손상을 쉽게 파악할수 있습니다.
즉, NTG에서 나타나는 미세한 RNFL의 손상을 RNFL Photo를 이용해서 평가를 용이하게 할 수 있습니다

3. 머리와 안와의 특수촬영
NTG에서는 편두통 등의 두통 증상, 혈관연축 등의 관련성이 있다는점,
그리고 시신경유두의 이측에서 창백이 나타난다는 점 등에 의해서
전형적인 NTG의 양상이 아닌 애매한 경우에는, 머리에 대한 검사가 필요한 경우가 있습니다.
즉, 시야의 손상이 녹내장(NTG)때문이라고 생각하였으나,
알고보니 머리(Brain)의 손상에 의한 것일 가능성이 있는 상황에서는 머리와 안와 등에 대한 추가검사가 필요합니다.
1) 50 세 미만의 환자
2) 설명되지 않는 시력저하
3) 색각이상이 동반된 경우
4) 안압이 비슷함에도 양안의 시신경의 손상 정도가 차이가 큰 경우
5) 편두통을 제외한 이외의 신경학적인 증상이 있는 경우
6) 두통이 새로 시작되거나 점점 심해지는 경우
7) 녹내장 치료에도 시야 결손이 빠르게 진행하는 환자
8) 시신경유두의 손상과 시야 손상의 형태가 일치하지 않는 경우
9) 시신경유두함몰에 비해 시신경유두의 창백이 더 심한 환자
'안과 질환과 안과 치료 > 녹내장' 카테고리의 다른 글
| 저안압녹내장, Low tension glaucoma 유사 질환들, 감별해야하는 진단, 오인가능 질환 (24) | 2022.06.26 |
|---|---|
| 정상안압녹내장, NTG, Normal tension glaucoma에서의 감별진단, 진단 특징 (24) | 2022.06.25 |
| 정상안압 녹내장, Normal tension glaucoma, NTG, 저안압녹내장, Low tension glaucoma 의 특징, 유병률, 원인 (12) | 2022.06.23 |
| 원발성 개방각 녹내장의 치료방법, 목표, 약물, 레이저, 수술 선택 (12) | 2022.06.22 |
댓글