원추각막에서는 시축의 바로 아래에서부터 각막이 얇아지면서,
각막이 앞쪽으로 돌출되게 됩니다.
각막의 후층에서부터 부터 얇아지면서 전층이 얇아지고 각막이 앞쪽으로 돌출되는 양상입니다.

이러한 각막 돌출로 인해서 특징적인 임상양상 검사소견들이 나타나게됩니다.
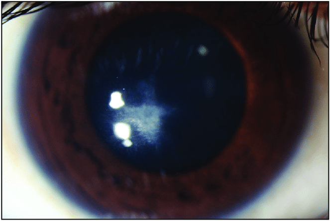
Fleischer Ring이란, 튀어나온 원추부분을 둘러싸고 철분이 각막에 침착되는 것입니다.
원추의 바닥부에 원추바닥의 가장자리를 따라서 흔히 관찰되는데,
부분적인 혹은 완전한 원형의 선이 나타납니다.
원추 주변부경계의 지표가되는데,
바닥상피에 침착된 혈철소(hemosiderin)으로 인해서 형성된것으로,
돌출이 질행될수록 점점더 고리는 더 진하게 침착되면서, 가늘어지고, 완전한 원형을 이루게됩니다.


Vogt's Striae는 각막이 얇아지면서, 돌출되면서, 발생하는 기질의 긴장선, stress line 입니다.
데스메막 바로 앞쪽에 존재하는 각막 기질에 있는 여러개의 수직선입니다.
이는 각막이 흐물흐물해지면서 발생하게되는 선으로, 안압이 가해지면 사라집니다.
진단적으로 중요한 소견입니다..


이는 원추각막에서 각막 부종등으로 인해서, 각막의 보우만층이 파괴가 되면서,
각막에 관찰되는 표층의 선형의 흉터와는 구분되어야합니다.
표층의 흉터는 안압이 높아진다고하더라도 사라지지 않습니다.
검영법상 가위반사는, 각막이 불규칙한 난시를 보이게되면,
눈의 도수를 측정하기위한 검영법을 시행하였을때 눈에서 관찰되는 적색반사가 불규칙적이게되면서,
검영법에서의 띠가 서로 어긋나는 것을 의미합니다.


Munson’s Sign 이란 진행된 원추각막에서 아래쪽을 볼때
아래눈꺼풀이 돌출된 각막에 의해서 뾰족한 각을 만드는 것을 말합니다.

Rizzuti's Sign 이란, 펜라이트 불빛을 비우면 불빛이 각막의 원뿔에서부터 불빛이 모이면서
홍채의 좌측부분에 삼각형 모양으로 빛이 반사되는데 이러한 모양을 의미합니다.


앞쪽각막 반흔은 Anterior Stromal Scarring 이라하여, 원추각막이 진행되면서,
각막이 과도하게 늘어남녀서 보우만막 파열 시 흉터가 발생하면서 납는 불규칙한 흉터입니다.



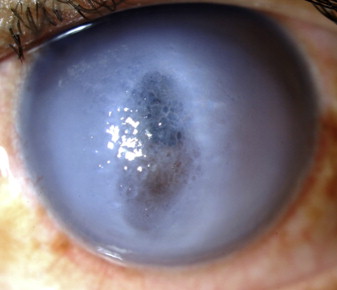
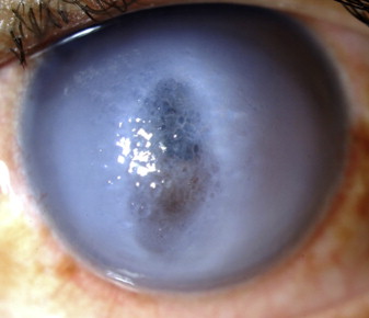
각막수종 Keratoconus Hydrops 라는것은
각막의 Descemet 막 파열로 인해 전방에서부터 수분이 각막기질로 유입되면서 갑작스럽게 각막이 뿌옇게되는 현상을 의미합니다.

데스메막이 늘어나다보니 파열되면서 그 틈을 통해 방수가 기질에 들어가 기질 부종이 생기게되면,
수주 ~ 수개월간 부종이 지속되게되는데,
이후 대부분 서서히 부종은 빠지나, 이때 각막이 부풀었다가 가라앉게 되면서 흉터가 발생하게되며
특히 이때 각막의 앞쪽의 보우만막이 파열되면서 흉터가 자주생깁니다.

각막 수종이 발생하게되면,
압박 안대나, 보호용 렌즈착용, 고농도의 NaCl 용액, 전방내 공기주입술 등 으로 각막의 붓기를 빼주기위한 치료를 합니다.
이때 염증성 질환은 아니므로, 스테로이드 사용은 불필요하며,
대부분 천공의 위험은 없습니다.
하지만 3-4개월이 지난뒤에도 호전되지 않는 각막수종은 각막 붓기가 빠지더라도 흉터가 많이 남기에
애초부터 각막이식을 시행하게됩니다.

지금까지...
원추각막 keratoconus 증상 임상양상 검사소견 입니다.
'안과 질환과 안과 치료 > 각막 외안부' 카테고리의 다른 글
| 원추각막 Keratoconus, KC의 치료 안경 렌즈 콜라겐크로스링킹, 각막기질 고리 삽입술 (Intacs ring) 삽입술 (0) | 2025.05.21 |
|---|---|
| 원추각막, keratoconus의 진단 및 확진, 진단기준 의심소견, KCS keratoconus suspect (0) | 2025.05.20 |
| Keratoconus 원추각막 정의 뜻 원인 빈도 유전 아토피 (0) | 2025.05.18 |
| 익상편 거짓익상편 가성익상편 가성군날개 거짓군날개 (0) | 2025.05.17 |
댓글