반응형
후원추각막은 원추각막과는 별개의 질환입니다.
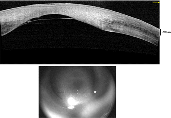
각막 후면의 함몰로 인해, 후면 곡률 증가, 즉 각막 후면이 앞으로 불룩하게 튀어나오는 질환입니다
이는 전통적 ‘원추각막’과는 달리, 전면 곡률은 정상이며,
이름만 비슷한 질환이지 실제로는 연관이 없는 서로다른 질환입니다.

이 질환은 대개 편측성이며,
출생시부터 각막의 중심 주변이 얇아집니다.
각막 전면부에서는 돌출이 대개 없으며, 후면에서만 함요가 나타납니다.

A. keratoconus posticus generalis
전체적으로 각막 후면이 얇아지며, 곡률 증가되는 형태로
각막은 투명함을 유지하는 형태입니다.
B. keratoconus posticus circumscriptus
국소적 함몰로 경계가 뚜렷하게 되며,
각막 후면의 함요가 보입니다.
이경우는 기질의흉터가 동반됩니다

난시가 있을수 잇으나 원추각막에서 보이는 심한 불규칙 난시는 아니며,
심한 시력저하는 없습니다
이에 따라서 대부분 치료가 필요하지 않으나,
각막기질 혼탁에 의한 시력저하가 있는 경우, 전층각막이식을 고려할수 잇습니다.
다만, 어릴때부터 시력이 저하된경우는 해당눈은 약시, 시력발달이 떨어져서,
수술을 해도 시력회복은 완전하지 않을수 있습니다.
반응형
'안과 질환과 안과 치료 > 각막 외안부' 카테고리의 다른 글
| 결막 유두종 papilloma, 결막 표면 상피의 양성 종양 (0) | 2025.05.25 |
|---|---|
| 유전성 양성 상피내 각화증 (Hereditary Benign intraepithelial dyskeratosis, HBID) (1) | 2025.05.24 |
| 공모양 각막 Keratoglobus 정의 특징 원인 구분 치료 수술 (0) | 2025.05.22 |
| 원추각막 Keratoconus, KC의 치료 안경 렌즈 콜라겐크로스링킹, 각막기질 고리 삽입술 (Intacs ring) 삽입술 (0) | 2025.05.21 |
댓글