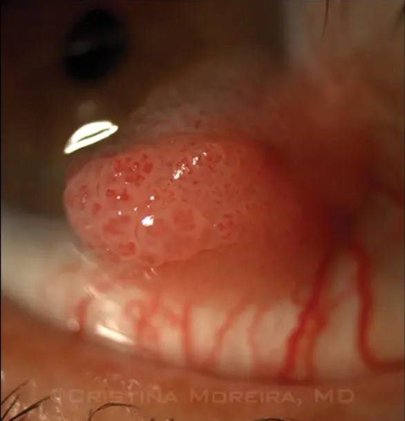
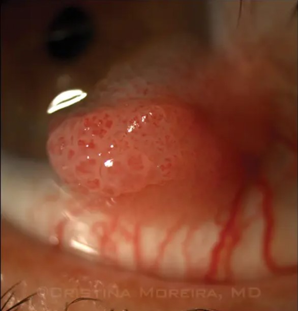
유두종 papilloma 는 HPV 바이러스 의 감염에 의해서 발생하는 질환입니다.
HPV 6, 11 의 감염에 의해 주로 발생하며,
최근에는 6, 11 이 주가되지만, 그외에도 16, 18, 33, 45 형이 기타 고위험형으로분류되어,
이로인한 감염에 의해 안구 표면에 유두종이 발생한다고 알려져 있습니다

유두종은 종양의 중심부에 혈관이 있고, 이것을 편평상피세포가 둘러싸거나 덮는 형태로 되어 있는데,
이러한 병변을 유두종이라고 합니다.
즉, 혈관을 둘러싼 증식성병변이 있으며 편평상피세포가 증식하여 생긴 덩어리를 의미합니다.
이는 결막에 발생하는 가장 흔한 양성 상피 종양입니다.
HPV 바이러스가 접촉하게되는 부위에 주로 발생한다고 알려져 있는데,
눈물의 흐름에 따라 HPV 바이러스가 이동할수 있어,
각막 윤부 limbus 근처에서 가장 잘 생기며,
눈꺼풀테, 눈물언덕, 결막 구석 등에서도 잘생깁니다.


형태에 따라서 각형(pedunculated) 과 고착형(sessile) 으로 구분되며,
양안에서 다발성으로 발생할수 있으며,
눈꺼풀이외의 피부 다른부위에도 비슷한 양상으로 동반할수 있습니다.
각형(pedunculated type)은 중심부에 stalk 이 있는 형태입니다.
어린아이나, 청년층에서 주로 발생하게되며,
2-3년 내에 자연소실되는 경우도 있으나,
소실이 되지 않는 경우에는 수술적절제 및 냉동 치료로 치료합니다.
냉동치료를 시도해보고, 안되는 경우 수술적으로 치료합니다.
단 이때 재발이 흔하므로, 주변부 결막을 포함해서 충분히 제거해야합니다.

고착형 (sessile type)의 경우 넓고 편평하게 안구표면에 밀착되는 형태입니다.
원래부터 베이스가 넓은 형태로, 고령층에서 주로 발생하는 형태로
이때는 처음부터 수술적 치료가 필요합니다.

대부분의 유두종은 조직학적으로 양성병변입니다
하지만 드물게악성으로 변하는 경우가 있습니다.
각화(keratinization),
결막 붙음증(symblepharon)
염증
눈꺼풀 결막에 발생한 경우등에서는
이형성의 징후로 생각하게됩니다.
이런 내용은 다음번에 알아볼 OSSN : Ocular Surface Squamous Neoplasia 에서 다루게됩니다.
'안과 질환과 안과 치료 > 각막 외안부' 카테고리의 다른 글
| 결막 상피내 신생물, 결막 상피내암종 CIN (Conjunctival Intraepithelial Neoplasia) (0) | 2025.05.27 |
|---|---|
| OSSN = Ocular Surface Squamous Neoplasia 안구표면 편평상피세포 종양 (0) | 2025.05.26 |
| 유전성 양성 상피내 각화증 (Hereditary Benign intraepithelial dyskeratosis, HBID) (1) | 2025.05.24 |
| 후원추각막 posterior keratoconus 증상 원인 치료 수술 (0) | 2025.05.23 |
댓글