결막의 표면 상피에 발생하는 표면 상피의 악성 종양 중,
결막 상피세포내에 암종이 위치하고 아직, 주변 조직으로 침윤이 발생하지 않은 상태를
결막 상피내 신생물, 결막 상피내 암종이라고 합니다.
즉, 결막 상피에서 악성 종양 , 암종이 발생하였는데,
이가 결막 상피에서부터 더 이상 퍼지지 않고 (결막 상피 아래의 기저막을 뚫지 않고)
결막 상피내에만 위치하는 경우를 이와 같이 표현합니다.

여러 용어로 불리는데,
CIN (Conjunctival Intraepithelial Neoplasia)
CIS (Carcinoma In Situ)
Bowen’s disease
conjunctival dysplasia and intraepithelial epithelioma
이와 같이 여러 용어로 불립니다.

병리학적으로
Mild → Moderate → Severe CIN = CIS → SCC 이렇게 구분되는데,
dysplasia 정도가 점점 심해지면서 mild moderate severe CIN으로 진행되다가
severe CIN 이 되면 상피 전층을 침범하여, 바닥막= 기저막(Basement membrane)에 닿게되는 상태가되고, 이를
CIS = carcinoma in situ 라고 합니다.
이후 바닥막을 뚫고 다른 조직으로 침윤할경우 이때 암종 SCC squamous cell carcinoma 가 됩니다.
결막 상피내 신생물의 발생 원인은 정확히 밝혀져 있지 않으나,
태양광선에 많이 노출된 60대의 백인에서 편측성으로 생긴다는 점에서,
위험인자가 밝혀져 있습니다.
고위험군은 백인, 자외선 노출 많은 지역에 거주, 흡연, petroleum derivative 에 노출, HPV (type 16, 18) 등이 해댱합니다.
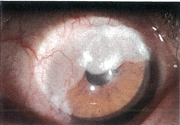
임상양상은 다양한 형태가 존재하는데,
95% 이상이 limbus 부위에서 시작되며, 대부분이 코쪽이나 귀쪽의 눈꺼풀 틈새 사이의 윤부에 존재합니다.
보우만층을 뚫지 않고 그 위쪽으로만 존재합니다.
바닥막 보다 표층에 있어서, 상공막위의 결막이 쉽게 움직여집니다.
대부분 약간 융기된 혈관 뭉치의 덩어리로 보이며,
때로는 젤라틴 같은 무혈관성의 종양으로 나타나기도 합니다.
Papillary (혈관 뭉치 덩어리), Gelatinous (무혈관성 젤라틴), Leukoplakic (백색의 반투명 돌출병변) 형태 등으로 분류됩니다.



크기가 커지면서 상피세포 아래의 기저막을 침범하게되면,
침윤성 암종 즉, SCC (squamous cell carcinoma) 로 발전하게됩니다.
치료방법은 수술적 제거, 냉동 치료, 수술적 제거 + 냉동치료 등이 있는데,
수술적 치료를 할때는 반드시 떼어내고 난뒤, 그 경계부위를
frozen biopsy 하여 완전 절제해야합니다.
완전 절제를 하면 5% 에서 재발하지만,
불완전 절제를 하면약 50%에서 재발한다고 알려져 있습니다.
'안과 질환과 안과 치료 > 각막 외안부' 카테고리의 다른 글
| 각막 상피 이상성숙증 (corneal dysmaturation) (0) | 2025.05.29 |
|---|---|
| 침습성 편평상피세포암 (Invasive Squamous Cell Carcinoma, SCC) (1) | 2025.05.28 |
| OSSN = Ocular Surface Squamous Neoplasia 안구표면 편평상피세포 종양 (0) | 2025.05.26 |
| 결막 유두종 papilloma, 결막 표면 상피의 양성 종양 (0) | 2025.05.25 |
댓글