반응형
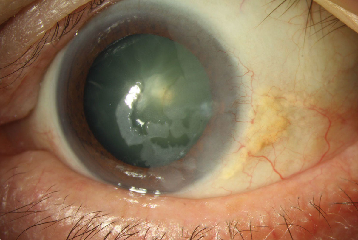
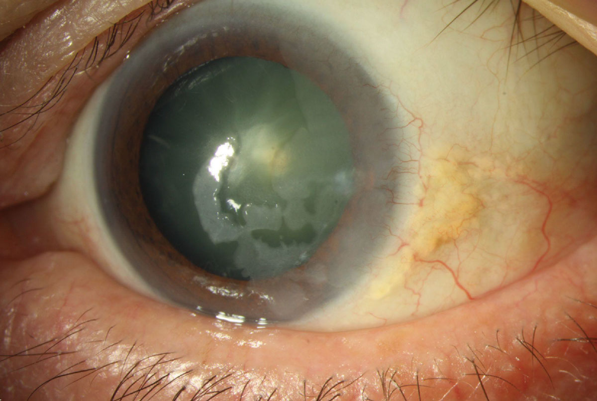
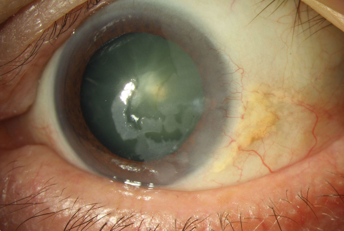
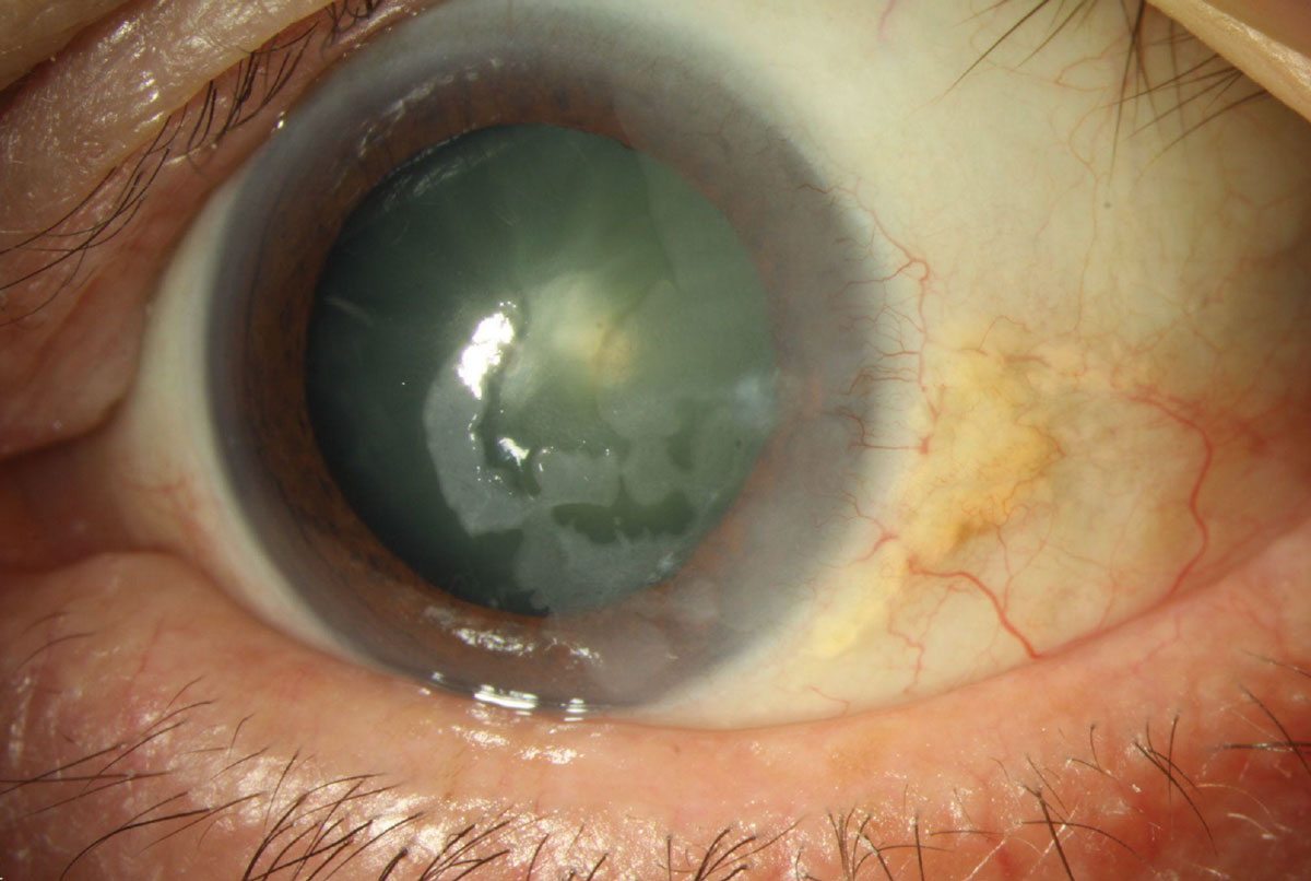
각막상피 이상성숙증(epithelial dysmaturation)은
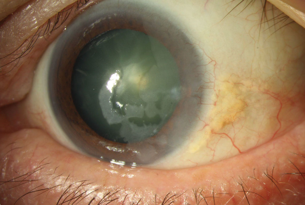
주로 각막 상피만 침범하는 질환으로 광범위하게
얼어있는듯한 모양의 각막상피 혼탁이 발생하게됩니다.

각막상피의 투명도가 없어지면서 유백색의 병변으로 상피의 혼탁이 관찰되며,
주로 각막 상피만을 침범합니다.

이는 양성의 병변으로 서서히 진행하거나, 그대로 유지되며,
조직학적으로 핵크기만 다른, 정상과 비슷한 상피세포가 관찰됩니다.

치료는 긁어내거나 각막윤부를 포함한 광범위 절제로 가능하나,
표층 각막 절제술을 시행시 보우만막을 제거하면 혼탁이 더 심해지므로 주의해야합니다.
반응형
'안과 질환과 안과 치료 > 각막 외안부' 카테고리의 다른 글
| 결막의 피지세포암 sebaceous carcinoma, 마이봄샘 종양 (1) | 2025.05.31 |
|---|---|
| 점액표피양 종양 (mucoepidermoid carcinoma, MEC) (0) | 2025.05.30 |
| 침습성 편평상피세포암 (Invasive Squamous Cell Carcinoma, SCC) (1) | 2025.05.28 |
| 결막 상피내 신생물, 결막 상피내암종 CIN (Conjunctival Intraepithelial Neoplasia) (0) | 2025.05.27 |
댓글