호지킨 림프종(Hodgkin lymphoma, HL)은
Reed-Sternberg 세포가 특징인 림프종으로,
정확한 병리학적 진단과 병기 설정이 치료와 예후를 결정하는 핵심입니다.
림프절이 붓는 경우, 우리나라에서는 결핵성 림프절염 등 감염성 원인이 흔해
반드시 이러한 감염성 원인에 대한 감별이 필요합니다.
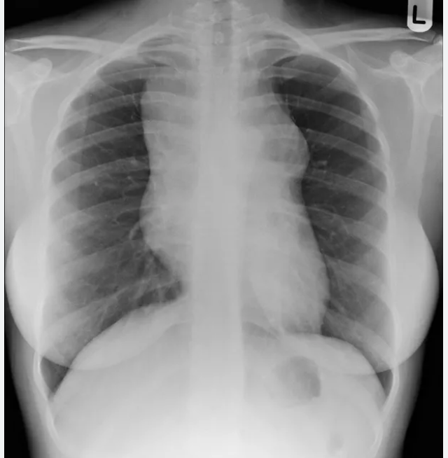
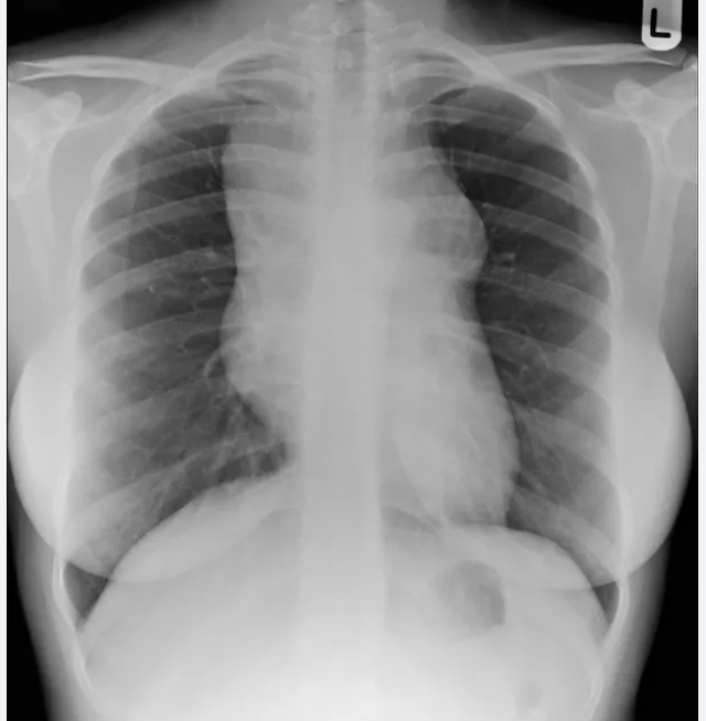
이후 흉부 X-ray 를 촬영하여 경부 림프절 종대 환자에서 종격동 림프절 비대를 확인하는데,
이경우 호즈킨 림프종(HL) 가능성이 커집니다.

이후 림프절 생검은 확진에 필수적인데, Reed-Sternberg 세포를 확인합니다.
골수검사를 시행하여 Stage III, IV 또는 B 증상 동반 시 병기 설정 위해 시행하게됩니다.
호즈킨 림프종의 병기는 Ann Arbor 분류를 사용합니다.

Stage I 은 단일 림프절 영역 또는 단일 림프절 외 장기/기관 침범이 있는 경우이며,
Stage II 는 횡격막 같은 쪽의 2개 이상 림프절 침범이 있는 경우
Stage II bulky 는 Stage II 에서 종양 직경 ≥ 10cm 또는 흉강의 1/3 이상인경우
Stage III 는 횡격막 양쪽 림프절 침범이 있는 경우
Stage IV 는 폐, 간, 골수, 뼈 등 원격 장기 침범이 있는 경우입니다.

또한 추가적으로
E: Extralymphatic 침범
B: B 증상(발열, 야간발한, 체중감소) 동반
이처럼 E, B와 같은 추가 병기를 실시합니다.
치료는 병기 Stage에 맞춰서 시행하게되는데,

Stage I, II, IIIA 에서는 방사선 치료 (4,500–5,000 cGy)를 시행하여 약 40~80%의 완치를 보입니다.
Stage II bulky, IIIB, IV 에서는 항암제 치료(ABVD 등 다약제 화학요법)를 시행하고 약 60~70%의 완치율을 보입니다.
재발 시 항암제 치료를 재시도하는데, 이때도 반응성은 좋습니다.
'소아 혈액질환' 카테고리의 다른 글
| 호지킨 림프종 (Hodgkin lymphoma) – 림프절에 발생한 암 (0) | 2025.09.03 |
|---|---|
| 급성 림프구성 백혈병(ALL) – 치료, 재발, 예후 인자 항암치료 방사선치료 약물 (0) | 2025.09.03 |
| 급성 림프구성 백혈병(ALL) – 소아에서 가장 흔한 백혈병 (0) | 2025.09.02 |
| 소아암 개관 – 발생 빈도와 동종 조혈모세포 이식 대상 질환 (1) | 2025.08.14 |
댓글