지난포스팅에 이어서
녹내장 시야손상에 대해서 알아보겠습니다.
이번에는 코쪽계단, 수직계단, 귀쪽시야결손, 중심섬에 대한 내용입니다.
코쪽계단(nasal step)
녹내장에서 시야 손상은 수평축을 기준으로 상측과 하측이 동시에 같은 속도로 손상받는일은 매우 드뭅니다.
그래서 상측, 하측에서는 차이를 보이게 마련이고
계단모양의 결손이 수평축과 만나는 부위에 생기게 되는데,
이를 코쪽시야(nasal)에서 나타나는 계단(step)이라고 하여 코쪽계단(nasal step)이라고 합니다.
앞선글에서 이야기한 것처럼
초기녹내장에서는 상측시야결손이 먼저 나타나는 경우가 더 많기 때문에,
상측, 비측에 위치하는 계단이라고 하여 상비측계단이라고합니다.
수직계단 (vertical step)
수직계단은 코쪽시야에서나타나는 계단 모양처럼
수직방향에서 계단이 나타나는 것을 의미합니다.
수직으로 시야를 나누었을 때 코쪽시야반측과 귀쪽시야반측이 서로 만나는 지점에서
서로 대칭적인 양상이 아니기 때문에 서로 어긋나는 부위가 생기는데,
이를 계단같이 생겼다고하여 수직계단(vertical step)이라고 합니다.
녹내장에서는 거의 나타나지 않는 현상이고,
주로 신경과 질환에의해서 나타나게됩니다.
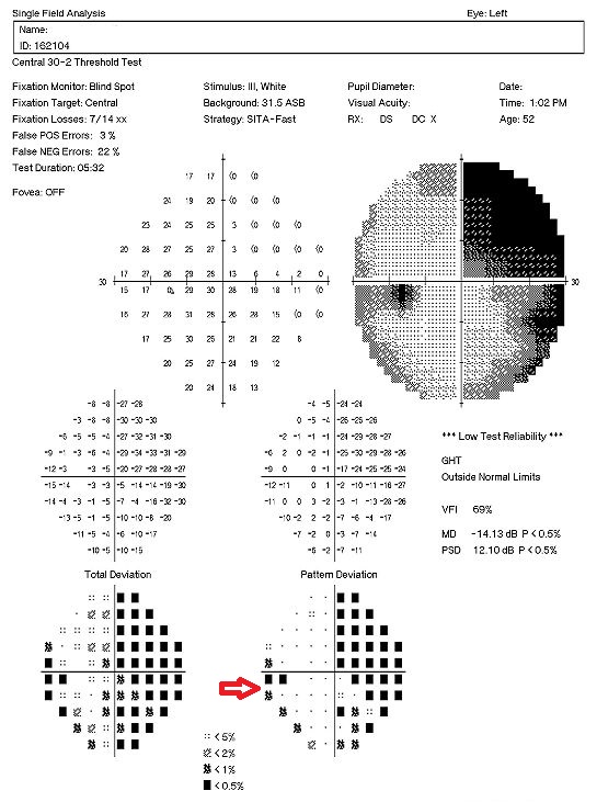
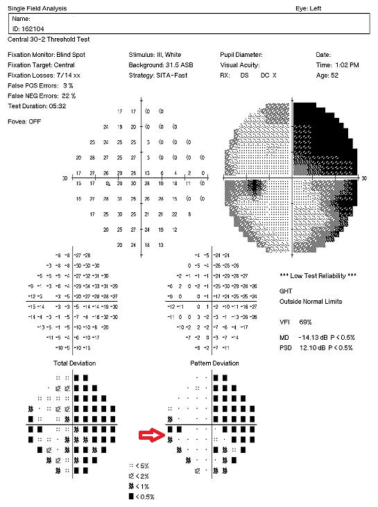
귀쪽 시야결손 Temporal visual field defect
녹내장에서 전형적으로 보이는 시야 손상의 형태는,
앞서이야기한 형태대로,
상부시야에서 활모양암점이 생기기 시작하면서 점점 심해지고,
하부 시야에서도 활모양 암점이 생기기 시작하면서,
결국 고리모양으로 암점이 생기게됩니다.
이러한 암점들은 대부분 중심시야 부근, 즉 맹점의 코쪽시야에서 나타나게되는 소견들입니다.
다른말로 하면, 맹점의 귀쪽시야는 대부분 마지막까지 유지되는 양상을 보이는데,
녹내장이 꽤 진행된 상태에서는 이러한 맹점의 귀쪽시야에서도 결손이 생깁니다.
이를 Temporal Sector Defect 라고합니다.


이는 시신경 유두의 코쪽 RNFL 이 손상이 되면서
이가 담당하는 맹점의 귀쪽 시야에서 암점이 나타나는 것입니다.
Temporal Sector defect 는 진행된 녹내장임을 알려주는 지표입니다.

중심섬(central island)
마지막으로 중심섬은, 앞서 말한 고리모양의 암점이 나타나고,
Temporal Sector defect 까지 나타낙되면서
최종적으로 중심시야 근처에서만 시야가 남은 상태를 의미합니다.

말기 녹내장에서 보이게되는 터널시야(Tunnel vision)의 형태이며,

시야의섬이 모두 가라앉아서 정가운데에 중심시야부분만이 남은 형태라고 하여
중심섬이라고 합니다.
지금까지..
녹내장 시야손상 : 코쪽계단, 수직계단, 귀쪽시야결손, 중심섬(central island)에 대해서 알아보았습니다.
'안과 질환과 안과 치료 > 녹내장' 카테고리의 다른 글
레이저 주변부 홍채 절개술 Laser Peripheral iridotomy, LPI 의 세팅, 유의점, 위치, 방법 (0) | 2022.05.18 |
---|---|
녹내장레이저수술 - 레이저홍채절개술 Laser Iridotomy, Argon LI & Nd:YAG LI (0) | 2022.05.17 |
녹내장 시야 : 산란, 비에룸영역, 중심부근암점, 활모양암점, 자이델암점, 고리결손 (1) | 2022.05.15 |
시야검사 결과 Global Index : GHT, VFI, MD, PSD, CPSD (0) | 2022.05.14 |
댓글