시야에서 나타나는 시야결손을 나타내는 용어는 다음과 같이 다양합니다.
- Partial arcuate scotoma
- Arcuate scotoma
- Nasal step
- Vertical step
- Paracentral scotoma
- Central scotoma
- Widespread
- Temporal wedge
- Superior depression
- Altitudinal
- Partial peripheral rim
- Peripheral rim
이중에서 녹내장의 시야결손에서 독특하게 나타나는 시야결손의 형태는 다음과 같습니다.
- 1. 산란 Scatter
- 2. 활모양 암점 Arcuate scotoma
- 3. 코쪽계단 Nasal step
- 4. 수직계단 Vertical step
- 5. Temporal sector defect
이중에서 앞선 두가지 내용에 대해서 살펴보겠습니다.
1. 산란 Scatter = 경미한 국소적 장애 Localized minor disturbance
녹내장에서의 시야결손은 망막신경섬유(RNFL)의 주행 방향에 따라서 나타나게됩니다.
즉, 안압에 의해서 망막신경섬유가 시신경유두주위에서 눌리면서,
망막신경섬유의 손상이 나타나고, 이에 따라서 결과적으로 시야결손이 나타나는 것이기 때문에,
망막신경섬유의 주행과 시야결손은 반드시 일치해야만 합니다.

하지만 RNFL defect 에 상응하는 시야결손이 뚜렷하게 나타나기전,
이전의 검사와 비교시 상당히 큰 기복이 나타나는 경우를
산란 Scatter 혹은 Localized minor disturbance 경미한 국소적장애라고 합니다.

명확한 녹내장성 시야장애는 아니지만, 절대적인 시야결손이 임박했다는 경고적인 의미가 됩니다.
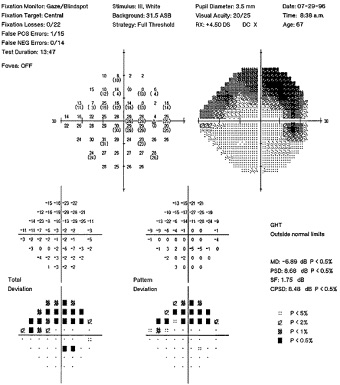
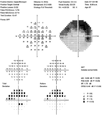
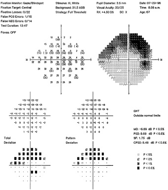
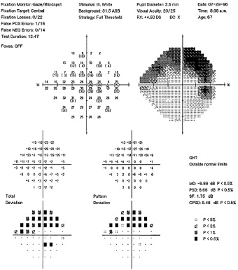
2. 활모양 암점 Arcuate scotoma
비에룸영역(Bjerrum area) 혹은 활모양영역(Arcuate area)라고하는 영역이 있습니다.
이는 맹점에서부터 곡선을 그리면서 중심부의 위쪽 혹은 아래쪽에 활모양처럼 휘어져있는 중심시야의 일부이며,
중심시야의 10도 ~ 20도 정도사이에 위치하는 중심부근 영역입니다.

녹내장에서 흔히 가장 먼저 손상되는 영역은 전형적으로,
시신경유두의 Inferotemporal (하이측) 에 위치하는 시신경 유두(Neural rim) 및 RNFL이고,
이에 상응하는 Superotemporal (상이측) 에 해당되는 부위의 시야손상(Visual field loss)입니다.
이렇게 녹내장에서 가장 흔히 전형적으로 손상되는 영역이 바로 비에룸 영역입니다.

이 영역에서 시간의 경과에 따라 나타나는 시야의 손상을 모두 합쳐서
비에룸 암점(Bjerrum scotoma) 혹은 활모양 암점(Arcuate scotoam)라고 합니다.
순서대로, 중심부근암점 / 자이델암점 -> 활모양암점 -> 고리모양암점 이렇게 나타나는 것이 가장 전형적인 코스입니다.
비에룸영역에 있는 RNFL의 손상이 어느부분에서 먼저 나타나느냐에 따라서,
중심부근 암점 / 자이델 암점이 나타나게됩니다.
Seidel scotoma, 자이델암점은 안과의사 Erich Seidel의 이름을 따서 지은 이름입니다.
맹점에서부터 암점이 시작되어 RNFL 주행을 따라서 점점 커지는 것을 의미하여,
암점에서부터 시행되는 콤마 모양으로 맹점이 커져갑니다.
점점 커지면서 활모양의 꼬리를 보이게됩니다.

중심부근 암점(Paracentral scotoma)는
비에룸영역의 시야결손이 중심부근에서부터 시작되는 모양입니다.
중심근처에서 시야손상이 있기 때문에 초기부터 환자가 불편함을 느낄수 있는 시야 결손의 형태이빈다.

Bjerrum scotoma / Arcuate scotoma는
시야결손중에서 녹내장을 가장 의심할수 있는 소견입니다.

하지만 이런 시야모양이 나타난다고 반드시 녹내장을 확진할수 있는 것은아니며,
이 시야 모습과 시신경 유두 및 RNFL 모습이 모두 일치해야 확진할수 있습니다.

고리모양암점(Double arcuate scotoma = Ring scotoma)은
상측의 Arcuate scotoa는 상측대로 진행되고,
하측에서도 Arcuate scotoma이 시작되면서
상하측에 모두 Arcuate scotoma가 발생하면서 고리모양으로 된 것이 고리모양, 반지모양 암점입니다.

보통시야진행의 진행속도는 심한쪽이 더 빠르게 나빠지고 덜한쪽은 느리게 진행하는 경향이 있어,
상측부는 더빠르게 진행하고 하측부는 느리게 진행하게됩니다.
지금까지
녹내장 시야 : 산란, 비에룸영역, 중심부근암점, 활모양암점, 자이델암점, 고리결손에 대해서 알아보았습니다.
'안과 질환과 안과 치료 > 녹내장' 카테고리의 다른 글
| 녹내장레이저수술 - 레이저홍채절개술 Laser Iridotomy, Argon LI & Nd:YAG LI (0) | 2022.05.17 |
|---|---|
| 녹내장 시야손상 : 코쪽계단, 수직계단, 귀쪽시야결손, 중심섬(central island) (0) | 2022.05.16 |
| 시야검사 결과 Global Index : GHT, VFI, MD, PSD, CPSD (0) | 2022.05.14 |
| Humphrey VF 시야검사 정상 및 비정상, 녹내장 평가 (0) | 2022.05.13 |
댓글