앞선 내용을 통해서 시야검사기록지를 통해서
평가할수 있는 검사정보 및 신뢰도 정보 등에 대해서 알아보았습니다
이제 가장 중요한 내용으로 과연 이 시야가 정상인지, 비정상인지를
살펴보는 검사에 대해서 알아보겠습니다.

이는 시야검사에서의 3a, 3b, 3c 등 남아 있는 정보들에 대한 내용입니다.
Visual Sensitivity map
3a는 Visual sensitivity map 이라고합니다.

환자의 시야의 섬이 보이는 모습, 모양을 탐험하여서 각각의 지점에서의
민감도값, 즉 역치값 , Sensitivity (Threshold)를 숫자로 표현하고 이를
수치가 높으면, 즉 잘보는 부분은 희게 ,
수치가 낮으면, 즉 못보는 부분은 검게 표현했습니다.
이를 데시벨(dB)로 표현하게되는데, 보통 중심부 즉, 황반부에서의 정상적인 민감도(역치)값은 30dB입니다.
40dB이상의 값이 나오면, 환자가 위음성, 즉 과도하게 많이 눌렀구나 라고보통 평가하게됩니다.
보통 학습효과에 의해서 환자가 검사에 익숙해지면, 못누르던것들까지 누르게되면서,
이 Visual sensitivity map 은 보통 조금씩 점점더 희게 변하는 경향이 있습니다.
Total Deviation map
3b는 Total deviation map 이라고합니다.

이는 환자의 연령을 매칭한 정상적인 동일연령대의 사람들과 비교하였을 때
환자의 Visual sensitivity 가 얼마나 차이가 나는지(Deviation)를 전체적으로(Total) 보여주는 사진입니다.
즉, 각 지점들에서의 동일연령 정상인의 평균값과 비교하였을때,
각각의 시표의 지점에서 환자의 민감도가 얼마나 차이가 나는지를 보여주는 것으로써,
수치가 음성이라는 것은 동일연령 평균들에 비해서 민감도(역치)가 낮다는 것을 의미합니다.
통계적으로 이 연령대의 평균값에서부터 얼마나 떨어져있는지를 판단하여서,
평균에서 멀면 멀수록 map에서 어둡게 나타나게됩니다.
환자가 녹내장은 없는데, 백내장과같은 매체혼탁으로 인해서 전반적인 감수성이 떨어져있는 경우에는,
Total Deviation map 이 어둡게 비정상적으로 나오게 됩니다.
뒤에 나올 Pattern deviation map 에서는 매체혼탁의 효과를 없애주기때문에
반드시, Total deviation map 과 Pattern deviation map 두가지는 비교하면서 보아야합니다.

Pattern Deviation map
3c는 Pattern deviation map 이라고합니다

정상적인 시야의 섬의 모양을 바탕으로 하여,
환자가 보이는 시야의 섬의 형태가 얼마나 다른지 그 형태적인 차이(pattern deviation)을 보여주는 모습입니다.
역시 동일한 연령대의 정상인에서의 시야의섬을 형태와 모양을 바탕으로하여
각각의 시표의위치에서 정상적인 시야의섬의 모양에서 얼마나 벗어나있는지를 평가하는 것입니다.
평균에서 통계적으로 멀리 떨어져있으면, 시각적으로 검게보이게됩니다.
환자가 백내장과같은 매체혼탁으로 인해서 전반적인 감수성이 떨어져있는 경우에는,
이러한 전체적인 overall sensitivity 의 감소는 보정하여 표현해주기 때문에,
전체적인 시야의 섬의 높이가 작거나 낮아질수는 있으나(smaller or sunken hill)
전체적인 형태와 모양은 달라지지 않기 때문에,
백내장과같은 매체혼탁 등으로 인한 전반적인 민감도 감소는 Pattern deviation map 에 영향을 미치지 않습니다.

즉, 녹내장에서 흔히 보이게되는 국소적인 시야결손만을 잘 드러내주는 지도 이기 때문에,
녹내장의 진단에 가장 중요한역할을 합니다
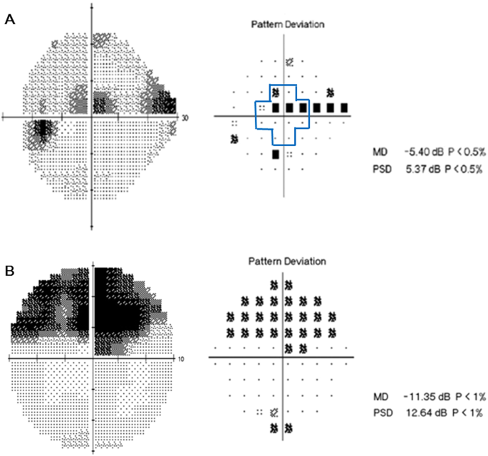
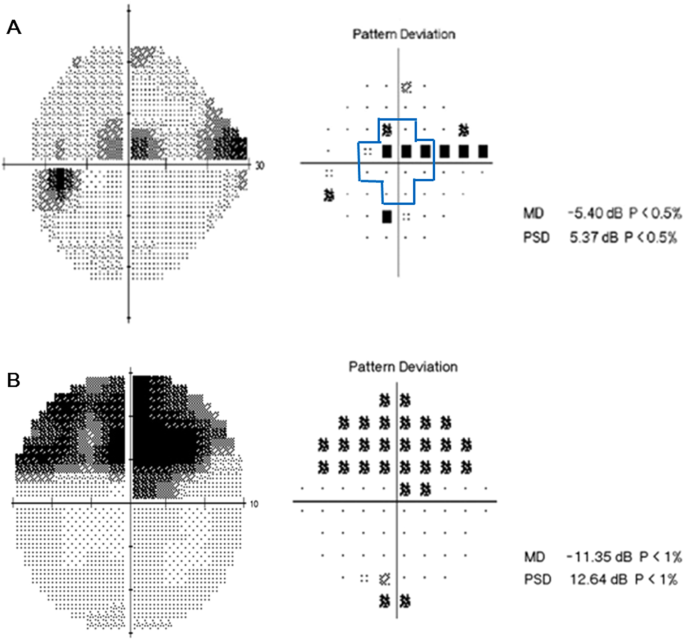
국소적인 시야변화, Cluster analysis
3a Visual sensitivity map
3b Total deviation map
3c Pattern deviation map
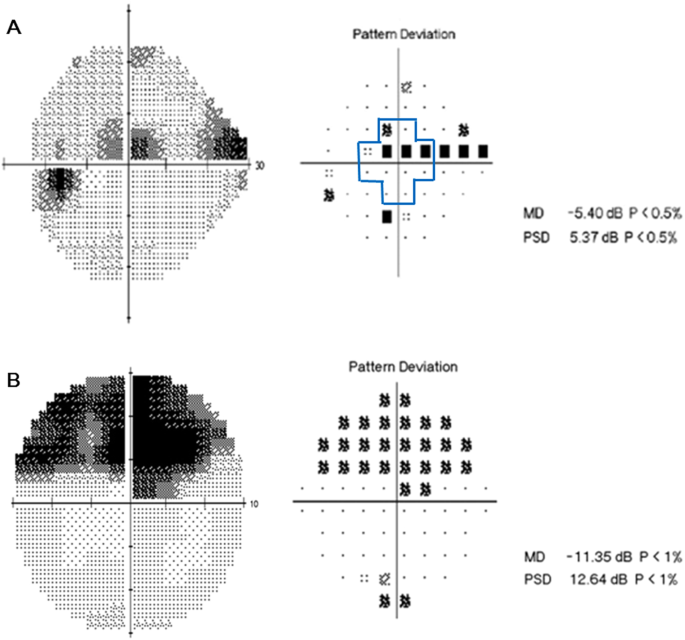
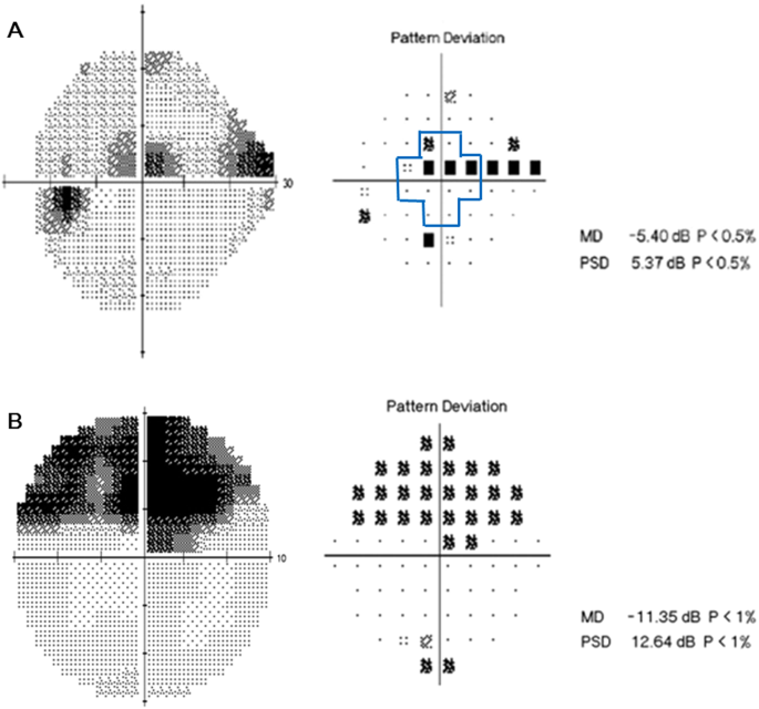
3가지 지도 중에서 녹내장을 진단하기위해서 반드시 꼭 필수적인것 하나를 꼽으라고 하면
바로, 3c Pattern deviation map 입니다.
녹내장에서 나타나는 국소적인 시야결손이라고 판단을 하기위해서는,
인접한 3개의 점에서 P < 5% (P value < 0.05) 미만의 시야장애가 나타나야 하며,
그중 1개의 점에서는 P < 1% (P value <0.01)미만으로 나와야 합니다.

이처럼 결손위치를 고려한 국소시야변화를 Cluster analysis 즉, Spatial Connection이라하여,
떨어져있는 별개의 3개의 점에서의 시야결손보다는,
인접한 3점에서의 시야결손이 녹내장에서 더 큰 의미가 있기 때문에 이를 고려해야합니다.

정리하자면,
연속되는 시야검사에서 Pattern deviation map 에서
인접한 3개의 점에서 P < 5% (P value < 0.05) 미만의 시야결손이 나타나면서,
최소 그중 1개의 점에서는 P < 1% (P value < 0.01) 미만으로 나와야 합니다.
지금까지 녹내장 시야검사에서의 Map 들에 대해서 알아보았습니다.
'안과 질환과 안과 치료 > 녹내장' 카테고리의 다른 글
| 녹내장 시야 : 산란, 비에룸영역, 중심부근암점, 활모양암점, 자이델암점, 고리결손 (1) | 2022.05.15 |
|---|---|
| 시야검사 결과 Global Index : GHT, VFI, MD, PSD, CPSD (0) | 2022.05.14 |
| 험프리 자동 시야검사 검사정보, 신뢰도, 신뢰성 평가 (0) | 2022.05.12 |
| 시야검사 결과에 영향을 미치는 요소 (0) | 2022.05.11 |
댓글