지금까지 시야검사 들에 대해서 알아보았습니다.
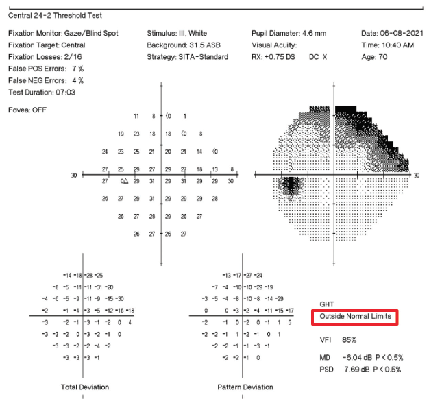
마지막으로 우측에 작게 나와있는 수치들에 대한내용입니다.
여기에는 GHT , VFI, MD, PSD과 같은 정보가 나옵니다.
이들을 VF Summary Index 혹은 Global Index 라고합니다.
GHT Glaucoma Hemifield test
GHT Glaucoma Hemifield test 라는 것은
- Within normal limits
- Outside normal limits
- Boderline
- Generalized reduction of sensitivity of abnormally high sensitivity

이와같은 소견들을 보여주는 결과로,
대부분의 녹내장에서 상반부와 하반부 어느한쪽이 먼저 변화를 보이기 때문에,
이에 착안하여 상측과 하측의 시야를 거울상으로 비교해서 초기 녹내장성 변화를 알려주는 지표입니다.


연속되는 시야검사에서 Glaucoma Hemifield Test 가 비정상적으로 나오게되면 녹내장을 진단하는데 도움이 됩니다.
VFI, Visual Field Index
VFI, Visual Field Index는 0에서 100까지의 수치로나오는데,
망막신경절세포(Ganglion cell)의 손상의 정도를 수치화한 것으로

100은 정상적인 시야, 0은 완전히 시야가 없는 상태를 기준으로해서 환자가 몇점인지를 나타냅니다
이수치는 녹내장의 진행과 선형의 상관관계를 보입니다.

VFI는 녹내장이 진단된 이후, 녹내장의 진행여부를 확인하는데 도움이 됩니다.
MD, mean deviation
MD, mean deviation은 전반적인 시야변화를 보여주는 지표입니다.
즉, 나이를 보정한 동일한 연령대의 정상인에서의 정상 민감도(역치)에 대비해서
환자가 얼마나 민감도(역치)의 차이가 나는지를 수치로 계산하고 이를 평균낸 것입니다.
간단히 설명하자면, 3b의 Total deviation map 에 나와있는 수치들을 평균낸 것으로 보면 됩니다.
이수치는 녹내장의 진행과 선형의 상관관계를 보입니다.

MD값을 통해서 평가하게되며,
-6 < MD < 0 : 초기 녹내장
-12 < MD < -6 : 중기 녹내장
MD<-12 : 후기 녹내장
MD는 녹내장이 진단된 이후, 녹내장의 진행여부를 확인하는데 도움이 됩니다.
PSD, Pattern Standard Deviation
PSD, Pattern Standard Deviation은
환자가 보이는 시야의섬의 형태를 보았을 때, 그 섬 내부에서의 형태적인 편차를 의미합니다.
국소적인 시야결손이 있게되면 그로인해서 편차가 커지게되고, 그럼 수치가 커지게됩니다.
즉, 3c의 Pattern deviation map에서 국소적인 시야결손이 보이게되면 수치가 커지게됩니다.
반대로 PSD 수치가 낮아지는 경우는
정상시야인 경우, 모두가 정상이기에 편차가 없어서 수치가 작아지거나
혹은 완전히 진행된 말기녹내장으로, 모든 부위에서 시야결손이 나타나게되면, 역시 편차가 없어져서 오히려 이수치가 낮아지게됩니다.
따라서 이수치는 녹내장진행와 선형의 관계를 보이지는 않습니다.
즉 PSD 수치를 보는것은 녹내장의 진행여부를 판단하는데 있어서 큰 도움이 되지 않습니다.


CPSD, Corrected Pattern Standard Deviation
마지막으로 CPSD 라고하여
Short term fluctuation : 즉, 단기변동이라하여,
반응이 일관성이 없는 환자나, 시야장애가 있는 곳이 넓으면 단기변동이 커지게됩니다.
PSD를 short terum fluctuation 으로 보정한값이 CPSD 인데,
이는 사실은 SITA 에서는 측정되지 않는 값이며, Full threshold 검사에서만 나올수 있습니다.
녹내장의 진단과, 진행여부를 판단하기위한 Global index
녹내장을 진단하기위해서는
- 1. 연속된 시야검사상에서, Pattern Deviation map 에서 인접한 3개의 점에서 P < 5% (P value < 0.05) 시야손상이 나타나되 그중 1개의 점에서는 P < 1% 의 값 (P value < 0.01) 을 보여야 합니다. (국소적 시야장애, Localized Defect)
- 2. 연속된 시야검사상에서, Glaucoma hemifield test(GHT) 에서 Abnormal 이라는 결과가 나와야 합니다.
- 3. 연속된 시야검사상에서, Pattern standard deviaton(PSD) 의 P value 값이 P < 5% (P value < 0.05) 로 나와야합니다.
녹내장이 진단된 이후 녹내장의 진행을 보기위해서는
- 1. Visual Field Index, VFI 값이 100점 에서 0점으로 떨어지는것을 확인
- 2. Mean Deviation, MD값이 0점에서 점점 음수로 떨어지는 것을 확인
이렇게 알수 있습니다.
'안과 질환과 안과 치료 > 녹내장' 카테고리의 다른 글
| 녹내장 시야손상 : 코쪽계단, 수직계단, 귀쪽시야결손, 중심섬(central island) (0) | 2022.05.16 |
|---|---|
| 녹내장 시야 : 산란, 비에룸영역, 중심부근암점, 활모양암점, 자이델암점, 고리결손 (1) | 2022.05.15 |
| Humphrey VF 시야검사 정상 및 비정상, 녹내장 평가 (0) | 2022.05.13 |
| 험프리 자동 시야검사 검사정보, 신뢰도, 신뢰성 평가 (0) | 2022.05.12 |
댓글