수정체가 제위치에 벗어나서 위치하는 경우를 표현하는 용어는
두가지로 나뉩니다.
수정체의 탈구(lens dislocation) 혹은 완전탈구(complete dislocation) 라고 하여,
수정체가 제위치를 벗어나 전방으로 완전히 나와있거나,
유리체 강내로 완전히 빠져 버린 경우를 의미합니다.


수정체의 부분탈구(lens subluxation) 혹은 아탈구, 부분이탈 이라는 용어는,
불완전한 수정체의 이탈을 말합니다.
수정체가 홍채뒤의 원래위치에 존재하지만,
전후로 혹은 좌우로 약간 이탈한 경우를 의미합니다.

1. 외상성 수정체 탈구
수정체 탈구와 아탈구의 가장 흔한 원인은 외상입니다.
둔기에 의한 외상(blunt trauma)를 맞고 난뒤,
수정체를 잡고 있는 수정체소대(zonule)의 약화(zonular weakness)가 발생하여,
수정체 탈구가 발생할수 있습니다.



2. 자연 탈구, 비외상성 탈구
백내장과 관련하여 자연적으로 수정체가 탈구되는 경우가 있습니다.
고도근시, 포도막염의 병력, 거대각막, 소눈(buphthalmos)
이러한 경우에 수정체를 잡고 있는 수정체소대가 약하여,
수정체가 자연탈구될 수 있습니다.
3. 단순수정체편위(simple ectopia lentis)
이는 상염색체 우성(autosomal dominant)으로 유전되는 질환으로,
대부분의 경우 양측성, 대칭적으로 발생합니다.
수정체는 위쪽, 귀쪽으로 탈구가 됩니다.
선천적으로 ADAMTSL4 gene 이나 FBN1 gene 의 돌연변이로 인해, 수정체를 잡고 있는
섬모체 소대의 비균일성과 약화가 있어, 수정체 편위로 이어지게되는 질환입니다.

4. Weill Marchesani syndrome
Weill Marchesani syndrome
혹은 Spherophakia-Brachymorphia syndrome
혹은 Mesodermal dysmorphodystrophy 라고 불리는 이 질환은
수정체의 이상 및 이로인한 2차적인 녹내장,
저신장, 짧은 손가락 및 발가락
그리고 심혈관계 장애를 특징으로 하는 선천성이상입니다.


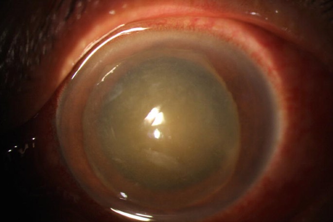
안과적인 특징은 공모양소수정체(spherophakia)입니다.
즉, 수정체가 찐빵과 같은 모양으로 넙데데하게 생깃것이아니라,
공모양으로 둥굴게 생겼습니다.

즉, 수정체 지름은 감소되어있고, 두께는 증가되어 있어
동공을 산동시켜보면 수정체의 전체 모양이 완전히 관찰가능합니다.
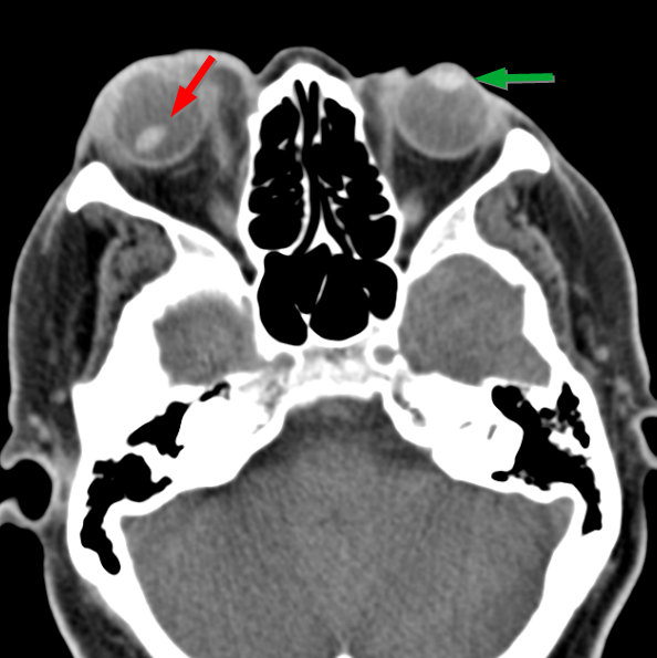
이 공모양 수정체가 탈구를 일으켜 동공과 맞닿는 경우,
2차적인 동공폐쇄 녹내장을 일으킬수 있습니다.
이와는 별개로, 젊은 근시환자 혹은 근시안에서도 전방이 얕은 경우, 공모양 소수정체를 의심해보아야 합니다.
'안과 질환과 안과 치료 > 녹내장' 카테고리의 다른 글
| 수정체 탈구로 인한 안압상승, 녹내장 원인 치료, 발생기전 (25) | 2022.07.13 |
|---|---|
| 마판증후군(marfan syndrome), 호모시스틴뇨증(homocystinuria)과 수정체 탈구, 수정체 이탈 (562) | 2022.07.12 |
| 거짓비늘 녹내장(Pseudoexfoliation glaucoma, PXG)의 원인, 치료 (12) | 2022.07.10 |
| 거짓비늘증후군(Pseudoexfoliation syndrome, PES, PXF)의 증상, 검사소견, 백내장 발생 (24) | 2022.07.09 |
댓글