앞선 내용을 통해서 수정체의 위치이상을 표현하는
수정체의 완전탈구 및 불완전탈구에 대해서 알아보았습니다.
[안과 질환과 안과 치료/녹내장] - 수정체 완전 탈구(complete dislocation)와 부분탈구, 아탈구(subluxation) 원인 종류
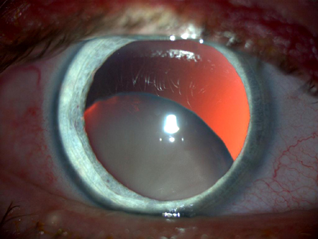
완전탈구(dislocation)는 수정체가 제위체에서 완전히 벗어나,
전방에 위치하거나 유리체 내에 위치하는 것을 의미하고,
불완전탈구(subluxation)이란 수정체가 후방에 위치하고 있으나,
중심이 이탈(decenter)되거나 기울어진 경우(tilt)를 말합니다.
이러한 수정체의 위치 이상을 일으킬수 있는 질환들 중에서
독특한 질환 들이 바로 마판증후군과 호모시스틴뇨증입니다.
1. 마판증후군, 마르팡증후군
마판증후군은 대부분 상염색체 우성유전을 하며,
15%에서는 자연적으로 발생합니다.

관절의 이상, 측만증, 대동맥판 및 심장이상 등이 동반될수 있습니다.
안과적으로는,
근시, 거대각막, 소수정체증, 수정체 편위 등이 발생하게되고,
녹내장, 망막 박리의 위험성 역시 큽니다.

수정체의 편위는 안축장의 증가와 비례해서 일어나는데,
40~50대에서 특징적으로 일어납니다.
일반적으로 상부방향으로 부분이탈(subluxation)이 발생합니다.

수정체의 위치이상으로인해 홍채와 수정체가 접촉하여
동공차단녹내장이발생할 수 도 있습니다.
2. 호모시스틴뇨증(homocystinuria)
호모시스틴뇨증이란,
체내 단백질 대사과정중에서, 메치오닌(메티오닌, methionine)이라는 아미노산의 대사 과정 중
시스타치오닌 합성 효소(cystathionine synthase)의 장애가 있는 선천성 대사이상입니다.

위의 그림에서 보듯이 Cystathionine b-synthesase 가 이상이 있는 경우,
체내의 Methinine 이 Homocysteine으로 바뀌고난뒤 그다음단계로 넘어가지 못하고,
Homocysteine으로 축적됩니다.
이때 과량의 Homocysteine은 Vit B12를 소모하면서 Methinine으로 다시 돌아가기도 합니다.
이과정에서 체내에 메치오닌이 축적되고, 호모시스틴이라는 아미노산이 체내에 축적되게됩니다.
이로인해 혈액내에서 메치오닌의 수치가 증가되어 있고,
호모시스틴이 소변으로 배출되면서 소변에서 검출되기에
이를 호모시스틴뇨증(homocystinuria)이라고 합니다.
지능 저하, 골격계 기형, 혈관 장애, 안질환을 특징으로 하며,
안과적으로는, 근시, 백내장, 수정체 탈구, 망막 박리 등의 증상을 보입니다.

앞서이야기한 Marfan 증후군과 비슷한 양상을 보이게되는데,
호모시스틴뇨증에서는 수정체 탈구가 일찍 생기고,
주로 아래쪽으로 아탈구되고,
가끔 전방이나 유리체내로 완전탈구되는 양상을 보입니다.


마판증후군에서는 수정체탈구는 40~50대가 되어서 발생하고,
주로 상부방향으로 아탈구되며,
완전 탈구되는 양상은 드뭅니다.

일찍이 진단하고, 저메티오닌 식이를 하면서, 고시스틴 식사요법을 하고
비타민을 보충하면, 수정체 편위의 발생을 줄일수 있습니다.

'안과 질환과 안과 치료 > 녹내장' 카테고리의 다른 글
| 수정체 단백질성 녹내장, lens protein glaucoma, lens particle glaucoma (51) | 2022.07.14 |
|---|---|
| 수정체 탈구로 인한 안압상승, 녹내장 원인 치료, 발생기전 (25) | 2022.07.13 |
| 수정체 완전 탈구(complete dislocation)와 부분탈구, 아탈구(subluxation) 원인 종류 (24) | 2022.07.11 |
| 거짓비늘 녹내장(Pseudoexfoliation glaucoma, PXG)의 원인, 치료 (12) | 2022.07.10 |
댓글