안구의 천공상은 물론이고,
안구에가해지는 둔상이후에도 수정체에 충격이 가해지면,
수정체의 낭(lens capsule)이 파열될수 있습니다.

안구내 수술이나 안구내 주사시술과 같은 시술 이후에도,
수정체낭을 건드리게 되면, 수정체낭이 뾰족한 기구들로 인해서 손상되어
수정체낭이 파열될수 있습니다.


혹은 백내장 수술이후 수정체 물질들을 완전히 제거해야하는데,
일부가 남는 경우가 있습니다

이처럼 외상이나 수술로 인해서 수정체낭이 파열되면,
수정체 물질이 전방으로 유출되면서,
수정체 단백질들이 섬유주를 막아서 안압이 오르게됩니다.
일반적으로 수술이나 외상이 있고 난뒤에 수일후에 안압상승이 되는 소견을 보이며,
안압상승의 정도는 수정체 물질의 양, 안구내 염증 유발 정도, 섬유주의 이물제거능력 등에 따라서 다릅니다.

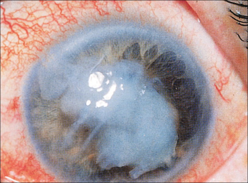
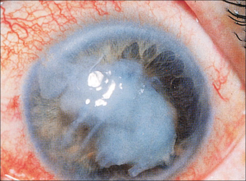
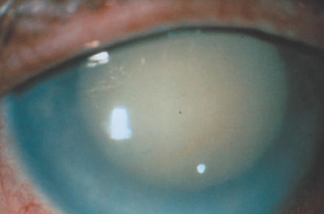
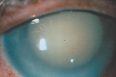
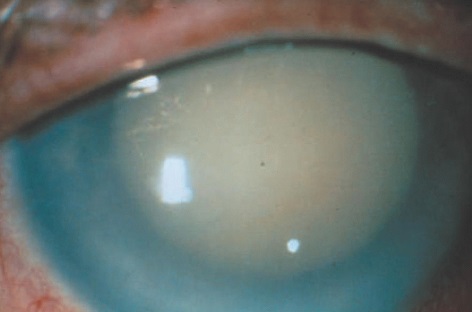
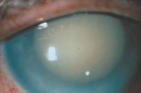
전방에 염증세포들과, 방수흐림(AC flare)이 관찰되고,
전방에 흰물질 덩어리가 관찰됩니다.

염증이 지속되면 홍채후유착이나, 주변부홍채유착등도 관찰될수 있습니다.

치료는
우선 약물적인 치료를 통해서
안압 조절과 함께 조절마비제를 사용하고, 스테로이드를 사용해서
수정체 물질의 흡수를 기대해 봅니다.
하지만 수정체 물질의 양이 많으면 스테로이드가 오히려 흡수를 지연시킬수도 있어,
양이 적은 경우에만 사용합니다.
안압 조절이 잘되지 않는다거나, 수정체 물질이 너무 많은 경우에는
결국 수술을 통해서 수정체 물질을 제거해야합니다.
특히, 약물을 사용하면서 경과관찰도중,
홍채후유착(Posterior synechia), 주변부 홍채유착(PAS), 망막박리, 각막내피세포손상, 망막부종 등의 후유증이 발생하면,
약물 치료를 지속하는것이아니라, 수술적 치료를 즉시 시행함이 좋습니다.

지금까지..
수정체 단백질성 녹내장, lens protein glaucoma, lens particle glaucoma에 대해서 알아보았습니다.
'안과 질환과 안과 치료 > 녹내장' 카테고리의 다른 글
| 신생혈관 녹내장, Neovascular glaucoma, NVG 뜻, 의미, 원인 질환, 기전, 발생이유 (74) | 2022.07.19 |
|---|---|
| 수정체 과민증, 수정체관련 포도막염, phacoanaphylactic uveitis, phacoanaphylaxis. (12) | 2022.07.18 |
| 수정체 탈구로 인한 안압상승, 녹내장 원인 치료, 발생기전 (25) | 2022.07.13 |
| 마판증후군(marfan syndrome), 호모시스틴뇨증(homocystinuria)과 수정체 탈구, 수정체 이탈 (562) | 2022.07.12 |
댓글