가와사키병(Kawasaki disease)은
주로 4세 미만의 영유아에서 발생하는 전신성 혈관염의 일종으로,
심장을 먹여살리는 관상동맥을 포함한 중소혈관에 염증을 일으키는 대표적인 결체조직 질환입니다.

결체조직질환이란 자가면역질환을 의미하는것으로 내몸이 나를 공격하는 질환입니다.
이처럼 드문 질환이 소아에서 발생하는것으로,
가와사키 병의 진단은 전형적인 임상 증상에 기반하며, 빠른 진단과 치료가 심장 합병증 예방에 필수적입니다.
가와사키병의 진단은 다음과 같은 임상 진단 기준에 근거하여 내려집니다.
진단 기준은
아래 항목 중 ① 포함하고 나머지 ②~⑥ 중 4가지 이상 충족해야만 진단내려지게됩니다.
① 5일 이상 지속되는 발열 이 필수 조건이며,
② 화농성 눈꼽이 없는 양측성 결막 충혈 즉, 눈곱 없는 결막염의 양상
③ 입술 및 구강 점막 변화로, 입술의 발적 및 균열, 딸기혀(strawberry tongue), 구강점막 발적 등이 관찰됩니다.
④ 다양한 형태의 발진이 나타나는데, 전신성이며, 어릴때 BCG 접종 부위의 발적을 포함합니다.
⑤ 경부 림프절 비대로, 보통은 통증 동반하며, 크기가 1.5cm이상으로 보통 단측입니다.
⑥ 손발의 변화로, 급성기에는 손발이 딱딱해지는 정도의 부종과 홍조가 관찰되며, 아급성기에는 손·발가락 끝의 막양상의 탈피(desquamation), 즉, 껍질이 벗겨지는 양상의 막양낙설(desquamation)이 관찰됩니다.

가와사키병은 이러한 진단 기준 외에도 비전형적 사례가 있어, 진단 시 모든 소견을 종합적으로 고려해야 합니다.

호발 연령은 1~4세의 영유아로,
성비는 남아가 여아에 비해 약 1.6:1로 더 많으며,
전체 환자의 약 80%는 5세 미만입니다.

기타 동반될수 있는 증상들은,
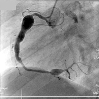
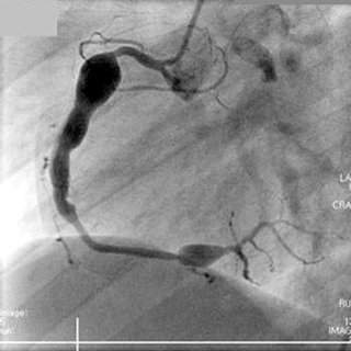
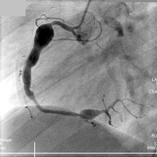
심장 및 혈관계의 관상동맥류가 가장 심각한 합병증입니다.
관상동맥은 심장을 먹여 살리는 혈관으로, 여기에 혈관꽈리, 혈관류가 발생합니다.
거대 관상동맥류로 직경이 8mm 이상크기가 발생하여, 파열되거나,
혈전형성에 의해서 심근경색의 위험이 발생합니다.


이러한 관상동맥류는 가와사키가 제대로 치료되지 않는 경우 20%에서 발생하여,
생명을 위협하게되고, 오랜 발열이 되는 경우는 관상동맥 합병증의 위험요인이 됩니다.
간에도 침범이 가능하여,
간수치 AST, ALT 상승이 관찰되며, 드물게 황달이 동반되며, 담낭이 커지기도 합니다.
혈액검사상은,
백혈구 증가, 혈소판 증가, ESR 상승, CRP 양성 등의 소견이 보입니다.
관절에 영향을 미쳐,
관절통 또는 관절염 (무균성일 수 있음)이 동반될수 있으며,
피부과적으로
BCG 접종 부위 발적은 매우 특징적인 소견이며,
회복기에는 손발 피부 탈락(낙설)이 관찰됩니다.
이처럼 가와사키병은 다양한 증상이 나타날수 있는데,
급성기 (1~10일)에는 고열, 결막충혈, 딸기혀, 입술 발적, 림프절 비대, 발진, 손발 홍조/부종 등의 증상이 발생합니다.
아급성기 (11~25일)에는 열은 소실되고, 손·발가락 피부 탈락, 혈소판 수치 증가, 관상동맥 변화 진행이 나타납니다.
회복기 (3~8주)에는 모든 증상 소실되나, 관상동맥 합병증이 이 시기에 발견될 수 있습니다.
이상으로,
가와사키병(Kawasaki disease)의 진단 기준, 임상 경과, 주요 증상 및 소아에서의 유의점에 대한 이야기입니다.
댓글