B형 간염 바이러스(HBV) 감염은
간뿐 아니라 신장에도 면역학적 병변을 유발할 수 있습니다.
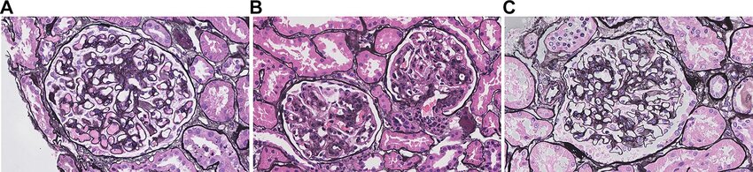
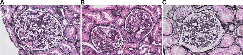
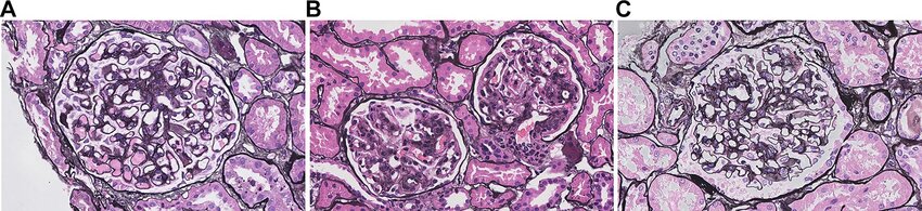
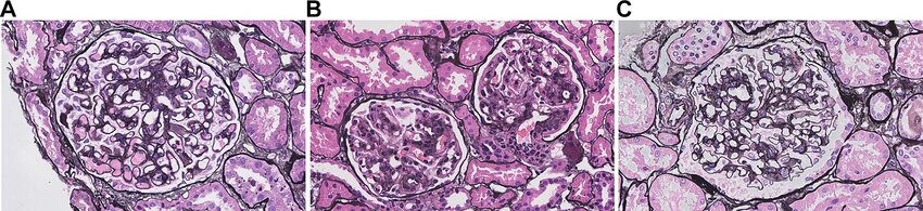
HBV 항원이 사구체에 침착되면서 발생하는데, 특히 소아 남아에서 흔한 막성 신병증(MGN) 형태가 대표적입니다.
B형간겸으롱니한 신증후군의 원인은
HBV 균혈증과 직접적으로 관련있습니다.
HBV 보균자, 만성 간염, 간경화 환자에서 발생 가능한데,
병리 소견에서 HBsAg, HBcAg, HBeAg, HBV DNA가 사구체 병변 부위에서 발견됩니다.

이러한 HBV 항원 당백이 체내를 떠돌다가,
신장에 미치는 영향의 형태가 대표적 형태 막성 신병증(MGN, Membranous glomerulonephritis) 형태입니다.
특히 소아에서 남아:여아 = 4:1 의 남아에서 가장 많이 발생합니다.

기타 형태로
국소분절 사구체경화증(FSGS)
막증식 사구체신염(MPGN)
메산지움 증식 사구체신염
기타 형태로로 발생할수 있습니다.

주요 증상은 부종, 단백뇨, 신증후군 양상 입니다.
혈뇨는 미세혈뇨가 흔하고 드물게 육안적 혈뇨도 가능합니다.
고혈압은 약 25%에서 동반되나 흔하지 않습니다.
보체(C3, C4)는 대개 정상이며
간기능검사 역시 대부분 정상 소견입니다.
소아 예후는 매우 좋은 편입니다.
약 2/3는 3년 내 자연 관해되며
80~90%는 10년 내 관해됩니다.
스테로이드는 효과 없으며, 오히려 만성 활동성 간염 유발 위험으로 사용하지 않습니다.
면역억제제 역시 같은 이유로 일반적으로 사용 자제합니다.
항바이러스제인 Lamivudine, Interferon-α 등은 HBV 억제 목적으로 사용하게되며,
치료 방향은 간염 치료와 병행하며 신증후군 합병증(부종·단백뇨)에 대한 대증치료를 시행합니다3

'소아 신장요로질환' 카테고리의 다른 글
| 양성 가족성 혈뇨 (Thin Glomerular Basement Membrane Thin GBM Disease , TBMD nephropathy) (0) | 2025.09.14 |
|---|---|
| 알포트 증후군 (Alport syndrome) 증상 치료 원인 유전자 (0) | 2025.09.14 |
| 최소변화콩팥병증 (Minimal Change Disease, MCD) 미세변화신장병증 (0) | 2025.09.14 |
| 신증후군 (Nephrotic syndrome) 미세변화 신증후군 (minimal change disease) 특징과 치료 (0) | 2025.09.14 |
댓글