알포트 증후군은 대표적인 유전성 사구체신염으로,
혈뇨 + 청력 이상 + 안과적 이상이 동반되는 점이 특징입니다.
진행성 사구체신염으로 만성 신부전으로 이행할 수 있어 좋지 못한 예후를 보입니다.

알포트 증후군은 기본적으로 유전질환입니다.
가장 흔한 형태이 유전은 X-연관 우성(X-linked dominant, 85~90%)유전입니다.
이의 원인은 COL4A5 유전자(제 IV형 콜라겐 α5 사슬) 돌연변이 입니다.
간혹 상염색체 열성으로 유전하는 경우도 있는데, 이는 COL4A3 또는 COL4A4 돌연변이와 관련있습니다.
드물게 가족력이 없는 경우도 존재합니다.

제 IV형 콜라겐은 사구체 기저막(GBM)과 같은 basal lamina 구성에 중요한 단백질 인데,,
여기에 변이 발생 시 GBM 구조 이상으로 인해 사구체기저막의 손상으로 인한 혈뇨 발생이 발생하고,
안과적인 이상이 동반될 수 있습니다.
임상 증상은 신장, 청력, 안과 이상 으로 구성됩니다.

신장 증상은
처음에는 무증상 혈뇨로 시작 → 점차 단백뇨 동반 → 만성 신부전으로 진행하게됩니다.
일부는 평균 20세 이전 만성신부전(ESRD, end-stage renal disease) 으로 빠지게되고
일부는 서서히 진행해 40세 전후 ESRD 에 빠지게됩니다.

신장 외 증상으로는, 이비인후과 문제와 안과문제입니다.
난청이 약 50% (감각신경성)에서 동반됩니다.
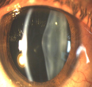
안과적 이상은 15~30%로 전방 원추 수정체, 망막 이상으로 수정체 및 망막의 이상이 발생합니다.

귀와 눈의 이상은 주로 10세 이후 드물게 더 일찍 발현하기도 합니다.
X-연관형으로 남아가 훨씬 더 심하게 발병하게됩니다.
신생검 소견은
EM (전자현미경)에서 Basket-weave pattern → 불규칙하게 두꺼워진 사구체 기저막 이 관찰되며
IF (면역형광)에서 제 IV형 콜라겐 발현 소실 소견이 보입니다.
피부 생검에서 X-linked Alport syndrome에서 α5 콜라겐 결손이확인됩니다.
치료로는 특이적 치료법이 없는게 현실입니다.
X-linked에서 남자는 대부분 ESRD로 진행하기 때문에 예후가 매우 나쁘녀,
여성 보인자에서는 혈뇨·단백뇨는 있으나 신부전 진행은 드뭅니다.
상염색체 열성형은 남녀 모두 예후가 불량합니다.
'소아 신장요로질환' 카테고리의 다른 글
| 용혈성 요독 증후군 (Hemolytic uremic syndrome, HUS) 설사이후 발생하는 신장손상 (1) | 2025.09.14 |
|---|---|
| 양성 가족성 혈뇨 (Thin Glomerular Basement Membrane Thin GBM Disease , TBMD nephropathy) (0) | 2025.09.14 |
| B형 간염 관련 신병증 신증후군 (Hepatitis B associated nephropathy) (0) | 2025.09.14 |
| 최소변화콩팥병증 (Minimal Change Disease, MCD) 미세변화신장병증 (0) | 2025.09.14 |
댓글