양성 가족성 혈뇨(TBMD)는 이름 그대로
사구체 기저막(GBM, globerular basement membrane)이 얇아져 발생하는 유전성 혈뇨 질환입니다.
유전병이지만, 알포트 증후군과 달리 대부분 예후가 양호하며 신장 외 증상이 거의 동반되지 않습니다.

유전양상은 상염색체 우성 유전입니다.
일부 환자는 COL4A3 또는 COL4A4 유전자의 이중접합 돌연변이로 인한것입니다.
병인은 알포트와 유사하게 GBM의 type IV collagen 구조 이상으로인해 기저막 전반적 얇아짐으로 인함입니다.

증상은, 대개 소아기부터 지속적인 현미경적 혈뇨가 발생하며
일부에서는 간헐적 혈뇨로 성인이 되어 진단되기도 합니다.
혈뇨는 평생 지속되지만
심한 단백뇨는 발생하지 않으며
고혈압 발생도 없으며
신부전도 매우 드뭅니다.
신장 외 증상 (난청, 안과 소견)역시 거의 없어, 알포트와의 중요한 차이를 보입니다.
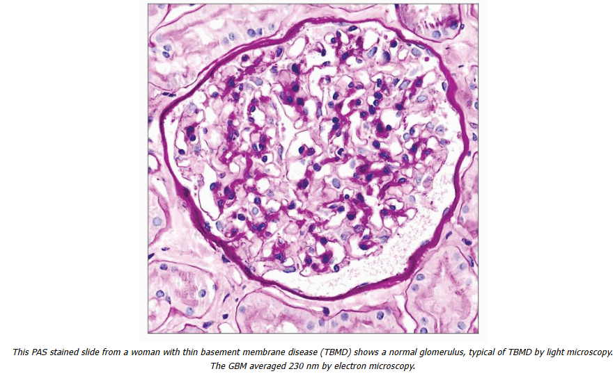
신생검 소견에서는

EM현미경검사상 사구체 기저막(GBM)의 전반적인 thinning (얇아짐)이 관찰되며

IF면역 형광에서는 Type IV collagen α3, α4, α5 발현이 정상으로 된 모습이 보여, 알포트와는 차이를 보입니다.
피부 기저막의 α5 발현도 정상입니다.

대부분 양성 경과를 보이기에 특별한 치료는 불필요합니다.
하지만 드물게 단백뇨·고혈압·신부전 발생 가능하기에
정기적 추적관찰이 필요합니다.
'소아 신장요로질환' 카테고리의 다른 글
| 용혈성 요독 증후군 (Hemolytic uremic syndrome, HUS) – 검사 소견, 진단, 치료, 예후 (0) | 2025.09.15 |
|---|---|
| 용혈성 요독 증후군 (Hemolytic uremic syndrome, HUS) 설사이후 발생하는 신장손상 (1) | 2025.09.14 |
| 알포트 증후군 (Alport syndrome) 증상 치료 원인 유전자 (0) | 2025.09.14 |
| B형 간염 관련 신병증 신증후군 (Hepatitis B associated nephropathy) (0) | 2025.09.14 |
댓글