대규모 연구를 통해 녹내장이 동반된 환자에서 보이는 시신경 유두의 형태를 살펴봄으로써
역으로 시신경유두가 어떠한 변화를 보일때 녹내장을 의심해야하는지를 알수 있습니다.
그러한 녹내장을 의심해야하는 소견들에는,
- 수직유두함몰비증가
- 시신경유두테패임
- 후천성시신경유두오목
- 유두함몰의 균일한 동심성 증가
- 국소창백의증가
- 시신경유두출혈
- 망막신경섬유층 RNFL defect
- Temporal unfolding
- Nasal Cupping
- Overpass Cupping
- Senile Sclerosis
- Peripapillary atrophy
- Vascular loop
이와 같은 소견들이 있으며,
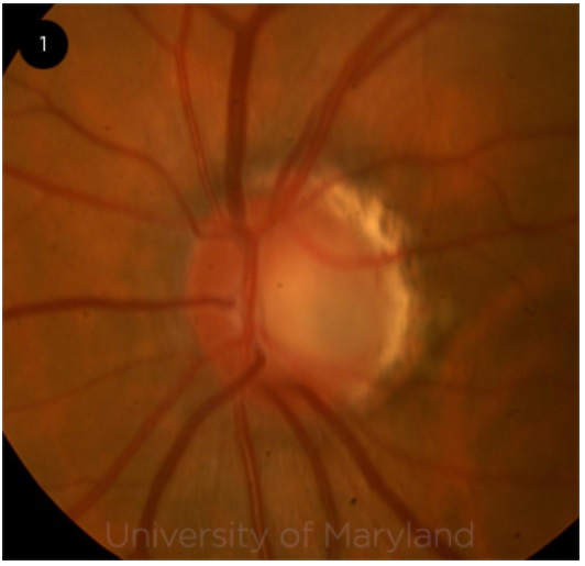
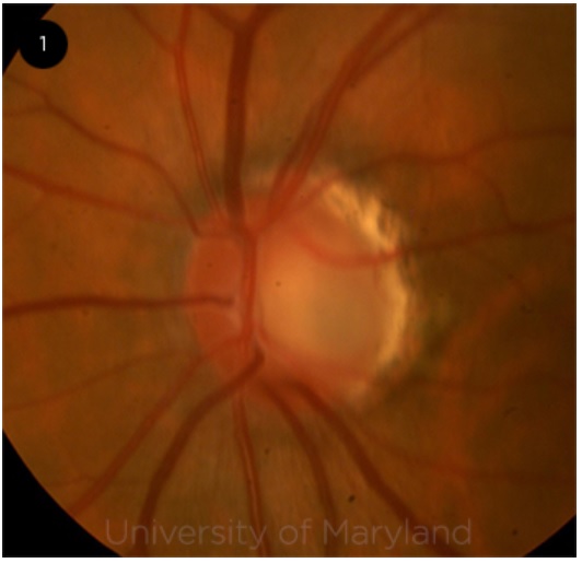
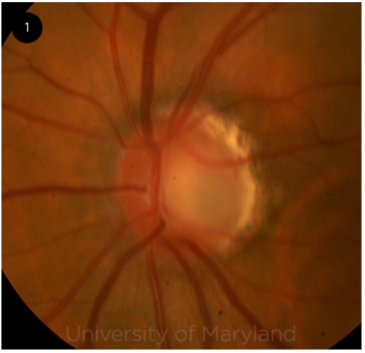
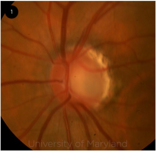
이번에 살펴볼 내용은 후천성시신경유두오목입니다.
<후천성 시신경 유두오목 (Acquired Pit of the Optic Nerve, APON, Pseudopit)>
Pit 라는 것은 구멍 혹은 구덩이라고 하여, 크고 깊은 구덩이를 의미하는 용어입니다.
- 후천성, Acquired : 선천성이아니라, 나이가들면서 발생하는,
- 시신경유도 오목 Pit of Optic nerve : 시신경에 발생하는 오목한 구덩이
이렇게 해석될수 있는데,
이는 시신경부위를 깊은 구덩이를 판것처럼 깊게 패인 부분이 발생하는 경우를 말합니다.

약어로는 앞단어를 따서 APON 이라고 합니다.
소아에서 선천적으로 발생하는 Congenital optic disc pit 에 비해서
어른에서 나이가들면서 발생하는것이기에, Acquired 라는 용어를 사용하며,
Pseudopit 이라는 용어 역시 Congenital optic disc pit에 비해서 다른 특징이 있기에 붙여진용어로, 이는 뒤에서 다시 설명하겠습니다.

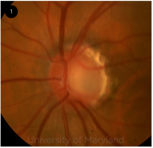
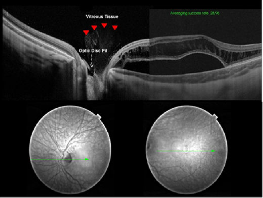
APON은 단순한 망막섬유층의 패임(notching)정도보다 더 깊게 패이는 것으로,
사상판에 도달할 정도와, 시신경유두의 가장자리에 닿을 정도로 국소적인 망막신경섬유층의 상실이 있음을 의미합니다.
즉, 사상판 위쪽에 존재해야하는 망막신경섬유층이 완전히 상실되면서,
사상판이 완전히 노출되는 것으로, 하얀게 사상판 조직을 직접 관찰할수 있습니다.

1/3에서는 시신경유두의 상극단의 귀쪽에서,
2/3에서는 시신경유두의 하극단의 귀쪽에서, 발견되는데,
보통은 APON 이 발생한 부위에서는
해당부위에 이전에 시신경유두의 선상출혈이 발생하였다가 출혈이 없어지고난뒤에 발견하는 경우가 종종 있습니다.
이는 사상판의 특정 부분이 안압 상승에 대한 저항이 적어서 발생하게되는것으로,
해당부위가 압력에 의해서 눌리면서 구덩이가 발생하는 것입니다.

APON을 가진 녹내장환자의 96%에서 시야 중심 5도내의 짙은 시야 결손이 동반되며,
APON을 가진 녹내장환자의 경우 APON이 없는 환자보다 유의하게 손상이 진행되며, 시시녕 유두출혈도 더 많이 동반됩니다.

<Disc notching 과의 차이>
시신경유두 패임(Optic disc notching)의 경우, 전반적으로 더 넓고 얕은 패임을 보이며, 유두연으로 확장하는 모습인데,

후천성시신경유두오목의 경우, 국소적으로 좁고 깊은 패임으로, 유두연에 닿고 있는 패임의 양상입니다.

<Congenital Optic disc pit 과의 차이>

Optic disc에 발생하는 구덩이 Pit 이 선천적으로 태어날때부터 가지는 경우가 있습니다.
약 1/10,000의 유병률을 가지며, 일측성으로 단안에서만 발생하는 경우가 80% 이상입니다.
이를 Congenital optic disc pit이라고하는데, 이는 실제로 disc 에 구멍이 나있고
그구멍이 시신경 주위를 둘러싸고 있는 뇌척수액(CSF)과 연결되어있습니다.

이로인해서 Pit 구멍을 통해 CSF leakage 가 발생하면서, 그 액들이 망막하 공간으로 고이면서,
망막박리, 망막하액으로 이어지는 경우가 약 40% 에 해당하는 경우입니다.

반면, APON 은 나이가들면서 발생하는 질환으로,
Congenital pit 과 대비하여, 사상판(laminar cribrosa)조직이 보일정도로 깊은 구덩이기는 하지만,
그 구덩이가 뇌척수액과는 연결되지 않습니다.

그래서 이러한 특징으로 인해, 망막하액이 동반되지는 않기에,
가짜구덩이라는 의미로, Pseudopit이라고도 합니다.
'안과 질환과 안과 치료 > 녹내장' 카테고리의 다른 글
| 시신경유두 창백, 국소창백증가 (1) | 2022.05.02 |
|---|---|
| 시신경유두함몰의 Concentric enlargement, 시신경유두출혈, Disc hemorrhage (0) | 2022.05.01 |
| 시신경유두비증가, 유두함몰비증가, C/D ratio 및 시신경유두테패임, notching (1) | 2022.04.29 |
| 녹내장과 시신경유두 Optic disc, Optic nerve head, ONH (0) | 2022.04.28 |
댓글