안구내의 압력이 증가하는 상황에서
시신경유두가 보일수 있는 변화는 단순히 함몰이 되는것 뿐이아니라,
압력에 의해서 혈관이 눌려, 혈액공급이 안됨으로 인해 창백해질수 있습니다.
이러한 변화는 optic disc 가 pale해졌다고 하여 pale disc 하고 합니다.

<국소창백의 증가 Disc pallor>
시신경유두에 혈액를 공급하는 동맥의 혈류에 의해서
시신경의 신경섬유테(neuroretinal rim)가 혈액공급을 받아서,
신경섬유테(neuroretinal rim)은 정상적으로 약간 붉은 빛을 띠고 있습니다.
하지만 안압이 시신경유두의 혈류를 방해할정도로 높게되는 경우,
순간적으로 시신경유두가 창백해지게됩니다
이후 안압이 정상화되면서 혈류가 다시 정상화되게되면, 시신경유두의 색깔이 정상으로 회복되게 될것입니다.
한편, 어떠한 이유로든간에,
시신경유두의 혈류가 오랫동안 방해받게되는 경우, 만성적으로 신경섬유테에 혈류공급이 줄어들어,
비가역적으로 시신경유두가 창백해질수 있으며,
이때는 시신경 조직에 영구적인 장애가 남을수 있습니다.



보통 녹내장에서는 안압이 오른다고하더라도,
시신경유두의 함몰이 우선적으로 나타나고 더욱 특징적으로 나타나게되며,
시신경유두의 창백은 뒤늦게 나타나거나, 덜나타나게됩니다.
즉, 녹내장성 시신경변화에는 함몰 > 창백 이라는 공식이 성립합니다.


한면 녹내장이외의 시신경 질환, 예를들어, 허혈성시신경병증이나, 독성시신경병증 등에서는
만성적인 혈류 공급 장애가 우선되기 때문에,
시신경유두의 창백이 더 일찍 나타나고, 더욱 현저하게나타나게되며,
시신경유두의 함몰은 덜나타나거나, 뒤늦게 나중에서야 나타나게됩니다.
즉, 녹내장이외의 시신경변화에서는 창백 > 함몰 이라는 공식이 성립합니다.

즉, 시신경 유두의 창백 정도와 함몰정도를 비교함으로써,
시신경 병증이 있을때, 원인이 녹내장인지 다른 병인지를 알수 있습니다.
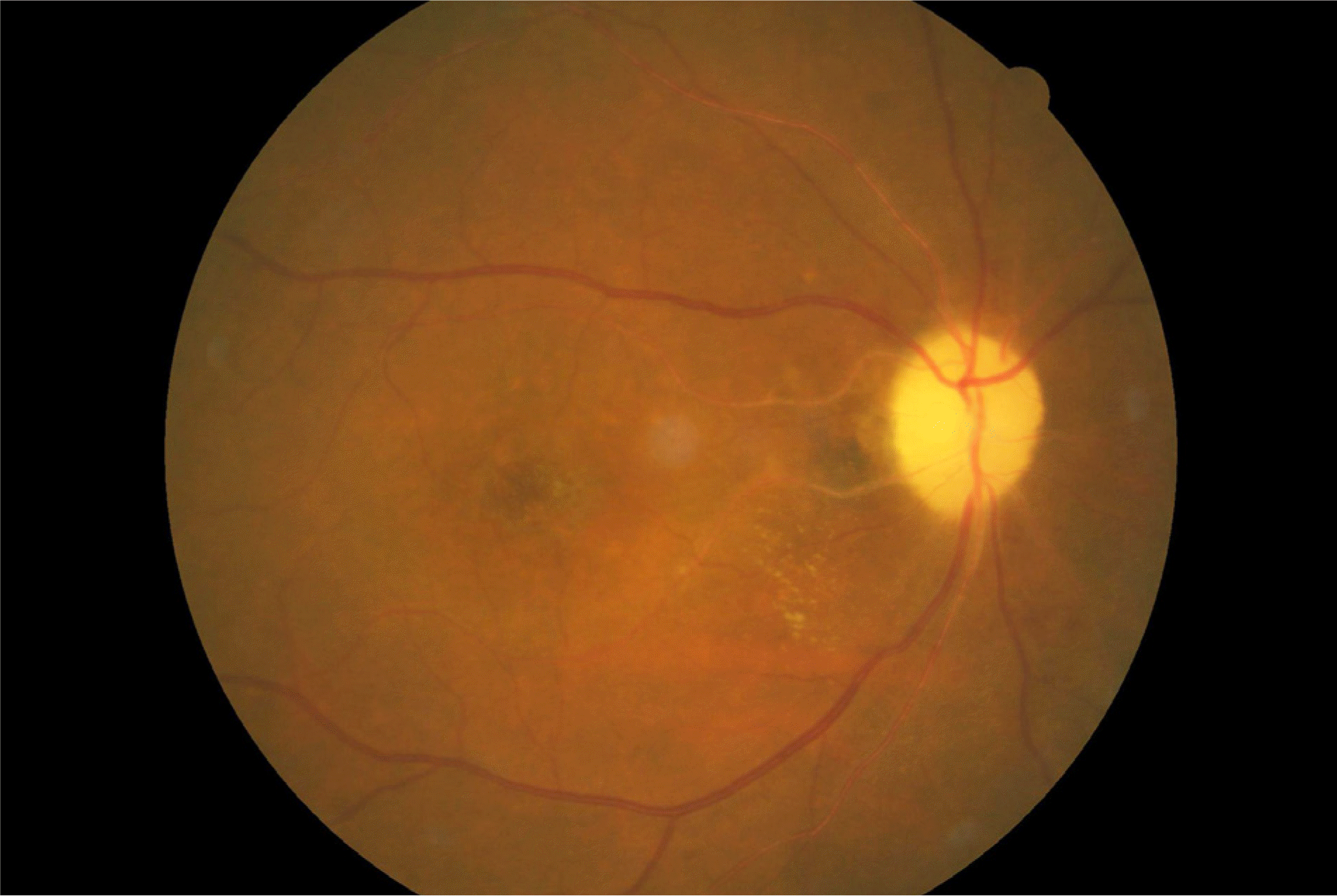
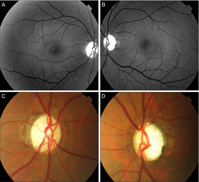
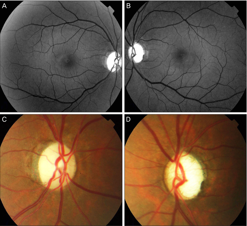
아래 사진의 좌측처럼 유두함몰은 크지 않으나, 시신경유두테가 창백해지는 경우는, 창백 > 함몰로써,
녹내장이 아닌 질환으로 인해서 시신경이 손상된것입니다.
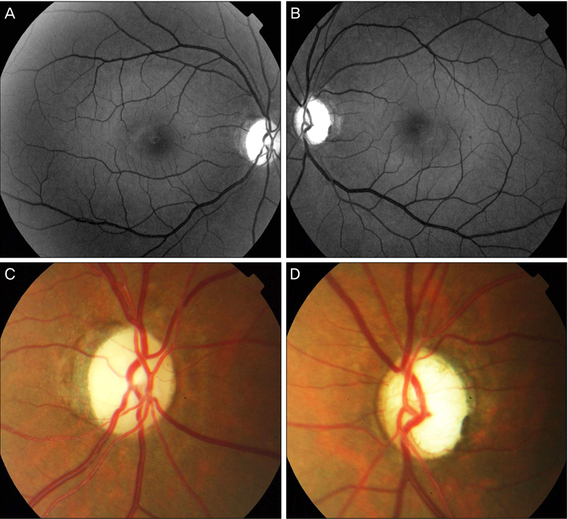
아래의 우측사진의 경우, 시신경은 창백하지 않으나, 함몰이 발생하여, 아래쪽으로 함몰이 커져있습니다.
즉, 함몰 > 창백으로써, 전형적인 녹내장의 소견입니다.

이상 시신경 창백 및 시신경 함몰의 비교에 대해서 알아보았습니다.
'안과 질환과 안과 치료 > 녹내장' 카테고리의 다른 글
| Temporal unfolding, Nasal cupping, Overpass cupping (0) | 2022.05.04 |
|---|---|
| 국소 망막신경섬유층 결손 RNFL defect 와 ISNT rule, IST rule (0) | 2022.05.03 |
| 시신경유두함몰의 Concentric enlargement, 시신경유두출혈, Disc hemorrhage (0) | 2022.05.01 |
| 후천성 시신경 유두오목 (Acquired Pit of the Optic Nerve, APON, Pseudopit) (0) | 2022.04.30 |
댓글