앞서서 이야기한, 녹내장에서의 시신경유두의 변화들 중에서
조금은 마이너한 내용들에 대한 내용입니다.
녹내장에서 보일수 있는 시신경의 변화들 중,
진단적인 가치 측면 등에서 중요도가 조금은 떨어지는 내용들입니다
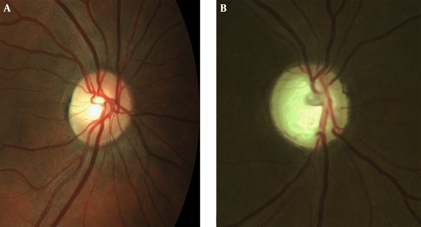
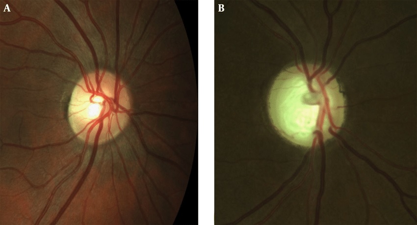
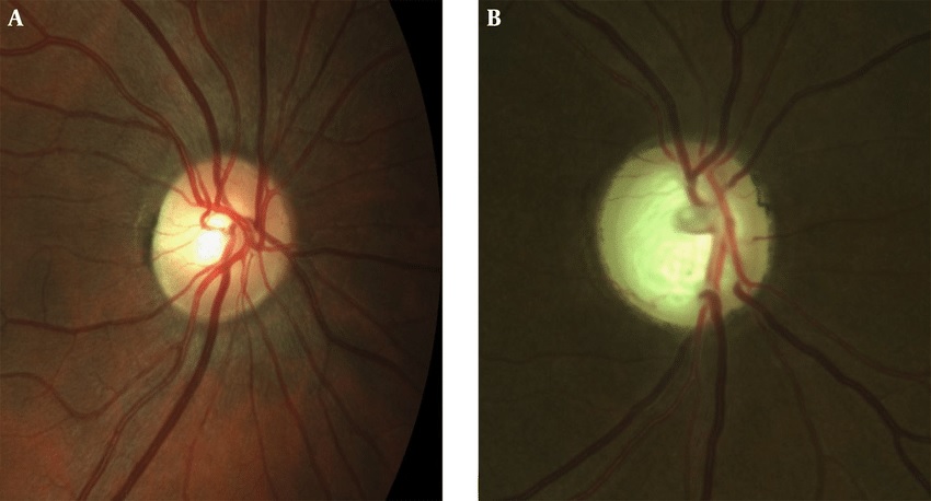
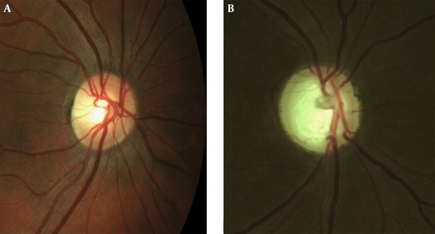
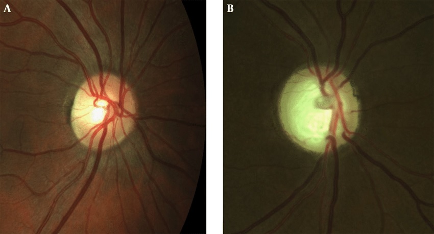
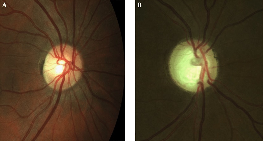
< 귀쪽 시신경 유두테의 완만한 낮아짐 Temporal unfolding >
시신경유두에 안압상승으로 인해서 압력이 가해지면
시신경유두함몰이 증가하게되는데,
상측/하측 수직 방향의 유두함몰이 , 코쪽/귀쪽 수평 방향의 유두함몰보다 더 크게 일어나게됩니다.
그래서 녹내장에서는 상측/하측 수직 방향의 유두함몰비를 측정하게됩니다.
상측과 하측의 수직 유두함몰의 경우 상측이나 하측 두방향 모두로 커지게됩니다.
한편, 코쪽과 귀쪽의 수평방향의 유두함몰의 경우는 코쪽으로는 잘일어나지 않고 보통은 귀쪽이 더 많이 나타나게됩니다
이는 시신경유두의 코쪽에 혈관들이 많이 모여있기 때문에,
혈관들이 압력에 대한 저항을 하는 것으로 알려져 있습니다.
그래서 혈관으로부터 멀리 떨어져있는 귀쪽으로 시신경유두테가 완만하게 낮아지는 것을 볼수 있는데, 이를 Temporal unfolding 이라고합니다.


<코쪽 유두함몰 증가 Nasal cupping>
Temporal unfolding에서 이야기한 것처럼,
코쪽에 있는 혈관들이 안압에 대한 저항을 하기 때문에,
코쪽 유두함몰이 귀쪽에 비해서 뒤늦게 나타나는 것으로 알려져 있습니다.
녹내장이 진행되어서, 코쪽 시신경 유두테의 소실이 나타나게되는 시기에는,
코쪽 시신경 유두테의 소실과 그 위쪽에 놓이는 망막혈관의 주행이 대비되어,
유두함몰증가가 더 또렷하게 관찰됩니다.
이러한 현상을 Nasal cupping 이라고합니다.


<함몰이 없는 국소창백, Overpass cupping>
Overpass 라는 것은 육교, 다리 라는 단어입니다.
Overpass cupping 이라는 것은 문자그대로 혈관이 시신경유두 위를 육교 다리처럼 놓여있다는 의미입니다.
이는 실제 함몰된 시신경유두 위에 육교처럼 있다는 말이 아니라,
마치 함몰된 것처럼 보이는 창백한 시신경유두 위에 육교처럼 놓여있다는 것을 의미하는 용어입니다.
정상적인 상태에서는 시신경유두의 함몰이나 창백이 없는상태로,
정상적인 시신경유두의 혈관이 시신경유두 표면에 놓여있는 상태에 있습니다.
녹내장이 발생하게되면서, 점점 시신경유두에 압력이 가해지면, 아직함몰을 발생하지 않았지만,
국소적인 허혈 상태로 인해서, 혈관아래에 있는 망막조직이 허혈로 인해 창백해지게 됩니다.
즉, 아직 함몰이 발생하지는 않았지만, 국소적인 허혈로 인한 창백으로 인해,
마치 시신경 유두의 혈관이 투명한 창백부위를 육교나 다리처럼 이어주게되는 식으로 보이게되는 상태를, Overpass cupping 이라고 합니다
Overpass cupping 은
망막혈관이 위치하는 망막표층과 사상판조직(lamina cribrosa) 사이의 조직이 투명해짐으로써, 마치 유두함몰처럼 보이지만 실제 함몰은 되지 않아 혈관 주행의 변화는 없는 상태를 의미합니다.

이후 시간이 지나면서, 녹내장이 더 진행되어, 창백한 부위에 함몰이 발생하게되면,
함몰에 따라서 혈관이 실제로 움푹패이면서, 혈관이 공중에 뜬 상태가 됩니다.
이러한 상태를 Baring of the circumlinear vessel, 약어로 BCV 라고 합니다.
이는 함몰로 인해서 시신경유두위의 혈관의 모양이 Baring 드러난다는 것을 의미하는 것으로,
혈관이 공중에 뜬상태로 함몰된 부위 위쪽을 지나가는 상태를 말합니다.

이후에는 결국 혈관 역시 압력을 받아 그 아래의 유두함몰부위로 움푹들어가면서 혈관주행의 변화를 보이게됩니다.
지금까지 Temporal unfolding, Nasal cupping, Overpass cupping 에 대해 알아보았습니다.
'안과 질환과 안과 치료 > 녹내장' 카테고리의 다른 글
| 녹내장 가능성이 높거나 의심해야할 시신경유두 소견, 녹내장 진행을 나타내는 소견. (0) | 2022.05.06 |
|---|---|
| 유두주위 맥락망막위축, Peripapillary atrophy, PPA 와 노년성경화, Senile sclerosis (0) | 2022.05.05 |
| 국소 망막신경섬유층 결손 RNFL defect 와 ISNT rule, IST rule (0) | 2022.05.03 |
| 시신경유두 창백, 국소창백증가 (1) | 2022.05.02 |
댓글