녹내장에서 보일수 있는 시신경유두의 변화들 중에서
이제 마지막 남은 내용들에 대해서 알아보겠습니다.
- 수직유두함몰비증가
- 시신경유두테패임
- 후천성시신경유두오목
- 유두함몰의 균일한 동심성 증가
- 국소창백의증가
- 시신경유두출혈
- 망막신경섬유층 RNFL defect
- Temporal unfolding
- Nasal Cupping
- Overpass Cupping
- Senile Sclerosis
- Peripapillary atrophy
- Vascular loop
각각의 내용들에 대해서는 사이트내에서 검색을 통해서 찾으실수 있습니다.
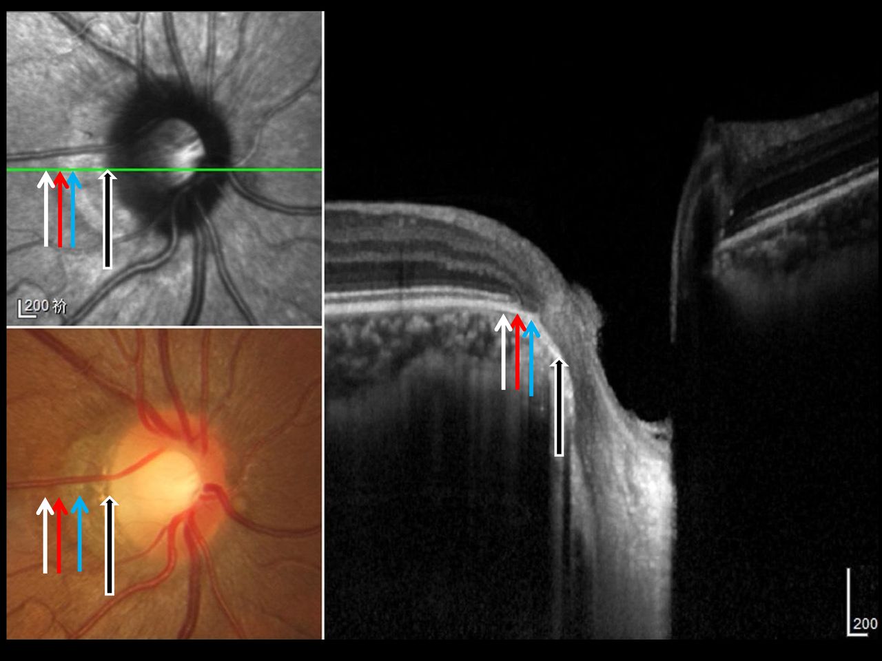
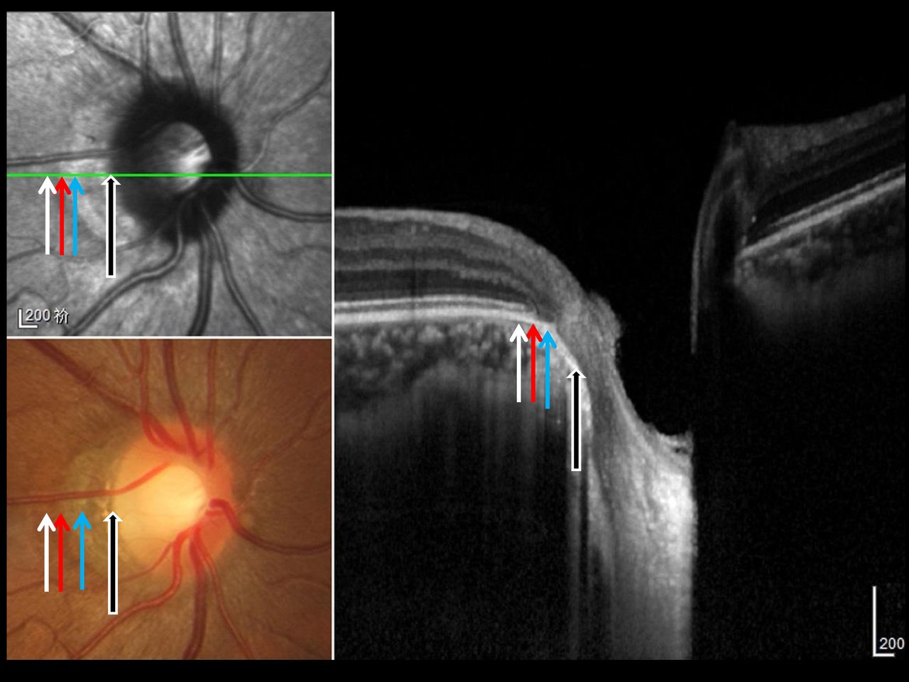
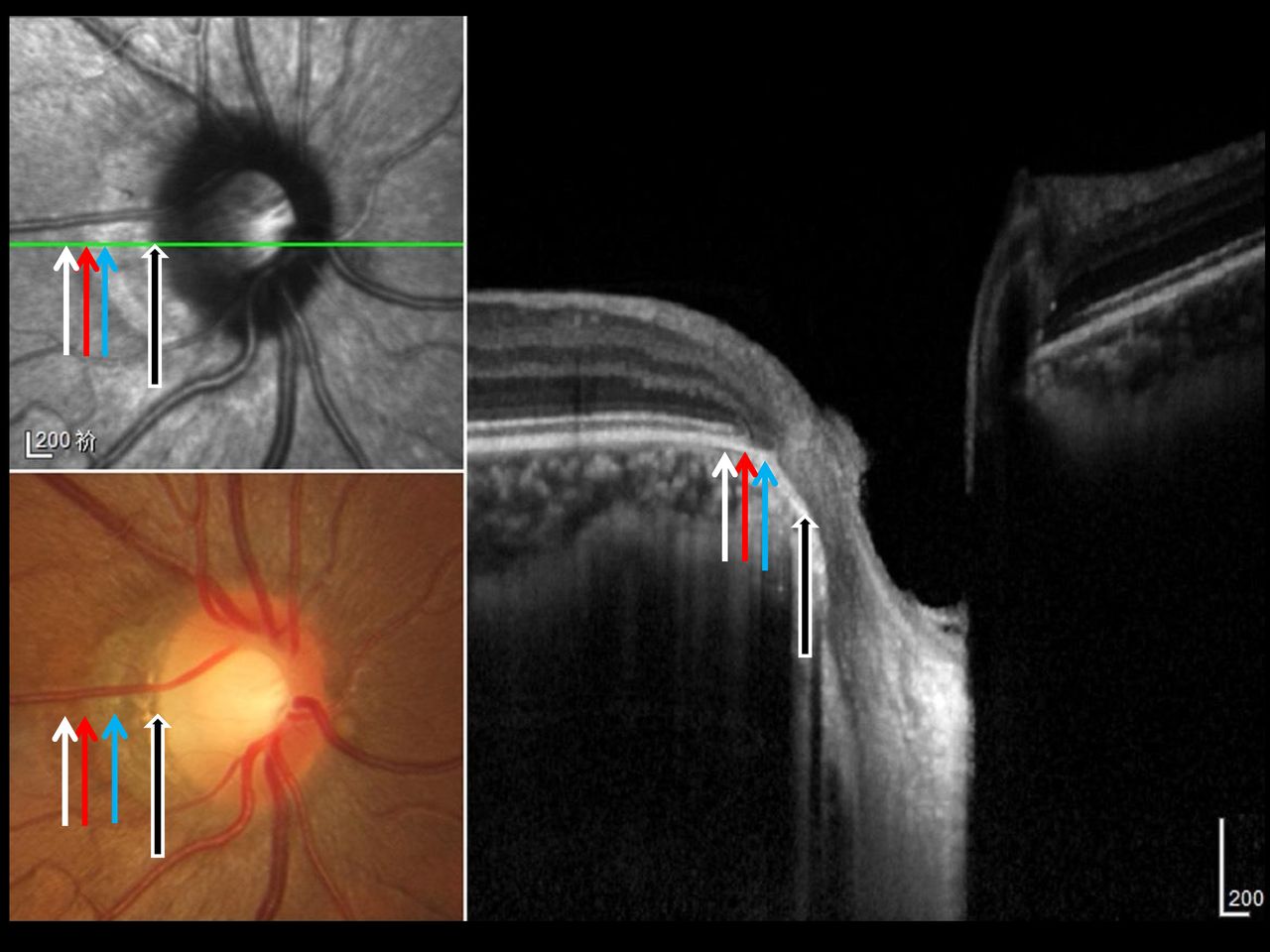
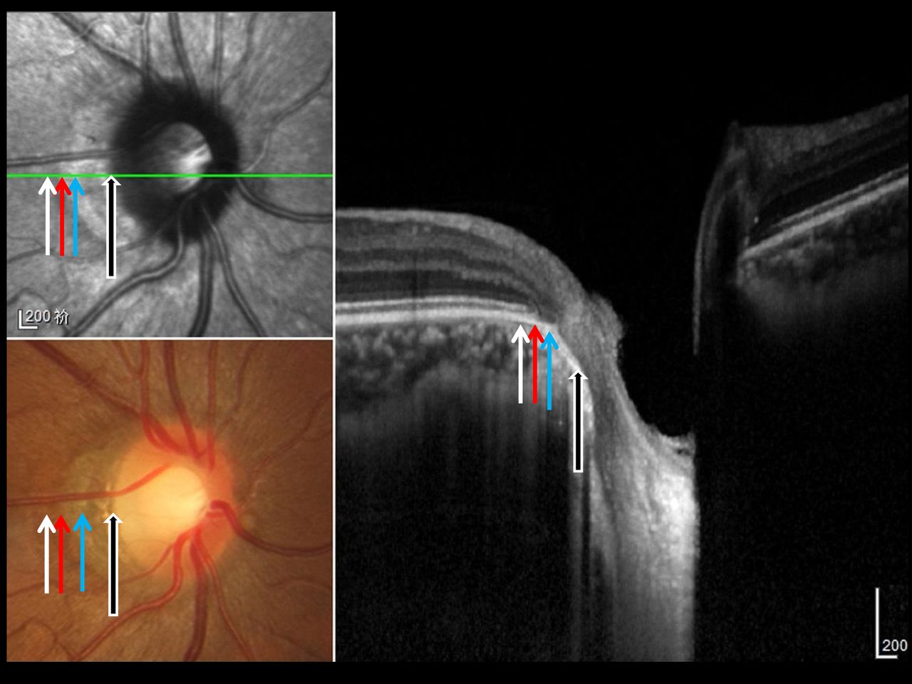
시신경유두의 노년성경화, Senile sclerosis
Sclerosis 경화라는 것은 딱딱해진다는 의미로,
의학적으로는 보통 섬유화가 진행되거나, 섬유조직으로 구성된 결합조직들이 노출되면서 하얗게 변화하는 것을 의미합니다.
Senile sclerosis 즉, 다른 이유가 아니라 나이가 드는것 만으로 시신경 유두 주위가 하얗게 변화하는 것을 의미하는 것인데,
시신경 유두 자체는 저명하게 변하지 않는데,
시신경 유두 주위 조직에 위축성 변화들이 보이면서 흰 공막 조직이 노출되면서 희게 보이는 것을 의미합니다.

시신경 유두자체는 깊게 패인 유두함몰이아니라, 얕고 넓은 쟁반같은 형태로 (saucerisation)
비교적 얇고 넓은 시신경유두 함몰이 나타나며,
시신경 주위에는 위축성 변화를 보이는 양상을 말합니다.
즉, 함몰은 깊지 않고, 심하지 않은데,
시신경 유두위에서 이를 둘러싼 맥락망막위축(peripapillary atrophy, PPA)이 발생하여,
시신경 유두주위가 희다보니, 시신경 유두테의 창백이 더 뚜렷해 보이는 현상입니다.

이때 말하는 맥락망막위축은 바로 뒤에서 언급할 Beta zone Peripapillary atrophy 로
시신경 유두주위를 360도 둘러서 Beta zone PPA가 존재하는 상황을 의미합니다.
유두주위 맥락망막위축, Peripapillary atrophy, PPA
유두주위 맥락망막위축이라는 것은 문자그대로,
시신경 유두부근에 있는 망막과 맥락막이 위축이 발생한다는 것입니다.
용어를 풀어 쓰자면,
- Peri : 부근
- Papillary : 시신경유두
- Atrophy : 위축
이렇게 첫글자를 따서 PPA라고 합니다.
PPA 는 그 양상과 위치에 따라 Alpha zone 과 Beta zone 으로 나뉩니다.

Alpha zone 은 주로 근시에서 동반되는 위축으로,
근시에서 동반된 시신경 유두의 Tilt 와 동반되어 잘나타납니다.
이는 색소침착이나 색소탈색이 된 영역으로, 녹내장환자에서도 발견될수 있으나, 정상인에서도 흔히 발견될수 있는 소견입니다. 즉, 녹내장에서 그 진단적 중요성은 높지 않습니다.
Alpha zone 은 항상 가장 바깥쪽에 위치합니다.


Beta zone 이 녹내장안에서 더 잦은 빈도로 나타나는 PPA로, 녹내장의 시야장애와 유의한 상관관계가 있는, 녹내장에서 중요한 PPA 에 해당됩니다.
이는 망막색소상피층(Retinal pigment epithelium, RPE)와 맥락막모세혈관(Choriocapillaris)의 위축으로 인해서,
그 아래층에 있는 맥락막의 굵은 혈관들이 보이는 상태로,
녹내장환자에서 흔하게 나타나는 양상으로 녹내장에서 중요한 임상적 역할을 합니다.

Beta zone PPA는
정상안압녹내장 환자의 80%, 일차개방각녹내장(POAG)환자의 65%,
정상인의 10~ 20%에서 발견되는 소견으로,
녹내장의 시야장애와 유의한 상관관계가 있습니다.
Beta zone PPA가 있다고 반드시 녹내장은 아니지만 (민감도 Sensitivity 20~30%)
녹내장환자에서 Beta zone PPA가 동반되는 특이도가 80% 이상으로,
Beta zone PPA의 너비가 넓을수록, 해당부위에서 남아 있는 시신경섬유테두리(neural rim)의 너비가 좁습니다.
즉, Beta zone PPA의 너비가 큰수록 해당부위에서 신경섬유테의 손상이 크다는 것을 의미합니다.

또한, 시간을 두고 보았을 때 Beta zone PPA의 너비가 커질수록 녹내장이 진행한다는 것을 의미합니다.

이와 반대로 Gamma zone PPA라고 하여, 최근 새로운 개념이 나오고 있습니다
이는 새로운 영역이 발견된 것이아니라 기존의 Beta zone PPA 의 영역들을 세분화하여 구분한것입니다.
Beta zone PPA는 망막색소상피(RPE)층이 없고 그 아래의 맥락막 모세혈관들이 위축되어,
맥락막의 굵은 혈관들이나 공막이 보이는 부분을 의미합니다.
이부분을 광학 단층촬영으로 유심히 관찰하면, Bruch membrane 이라는 브루크막이 있는 부분이 있고 없는 부분이 있습니다.

Beta zone PPA 중에서 Bruch membrane 이 있는 곳을 새롭게 Beta zone 이라고 정의하고 있고,
Beta zone PPA중에서 Bruch membrane 이 없는 곳을 Gamma zone이라고 명명하고 있습니다.
그럼 Alpha zone 이 가장 바깥쪽에 위치하고 그 안쪽에 Beta zone , 가장 안쪽에 Gamam zone 이 위치하는 형태가 됩니다.

이렇게 정의한 Beta zone 은 기존의 동일하게 시신경 섬유의 손상이 큰쪽에서 더 너비가 넓은 양상을 보이는데,
반대로 Gamma zone 은 Gamma zone 이 넓은 환자에서 녹내장의 진행이 적다거나, 시신경 보호 효과를 하는 것으로 알려져 있어, 최근 연구들의 대상이 되고 있습니다.

'안과 질환과 안과 치료 > 녹내장' 카테고리의 다른 글
| 시신경 유두 및 망막신경섬유층 검사법 (0) | 2022.05.07 |
|---|---|
| 녹내장 가능성이 높거나 의심해야할 시신경유두 소견, 녹내장 진행을 나타내는 소견. (0) | 2022.05.06 |
| Temporal unfolding, Nasal cupping, Overpass cupping (0) | 2022.05.04 |
| 국소 망막신경섬유층 결손 RNFL defect 와 ISNT rule, IST rule (0) | 2022.05.03 |
댓글