시신경 유두 및 망막신경섬유층을 관찰하기위한 방법들은 다음과 같습니다.
- 1. 직상검안경검사, direct ophthalmoscopy
- 2. 도상검안경검사, indirect ophthalmoscopy
- 3. 시신경유두입체촬영 stereoscopic optic disc photography
- 4. 망막신경섬유층 촬영 Red free RNFL photography
1. 직상검안경검사, direct ophthalmoscopy
직상검안경검사, direct ophthalmoscopy 라는 것은
문자그대로 직상 : 직립상 : 검안경을 통해서 보는 사물이 상하좌우가 바뀌지 않고
그대로 실제와 그대로 서있다는 것을 의미합니다.

이는 산동된 상태에서 직상검안경이란느 휴대용 검안기를 가지고 눈안쪽에 불을 빚추며 눈속을 들여다보는 검사입니다.
이는 약 15배로 안저를 확대할수 있으며, 한눈을 감고 한쪽눈으로만 검사하게되는 방법입니다.

가장큰 장점은 휴대용이라는 점과 크게 확대를 해서 볼수 있다는 것입니다.

하지만 사실상 안과의사들이 이 검사기기를 이용해서 검사를 하는 경우는 매우 드뭅니다.
제대로 관찰하기 위해서는 환자와의 거리가 매우 가깝기 때문에 환자와 의사 모두가 다소 불편감을 느끼지 않을수 없습니다.

휴대가 간편하다는 점 역시, 안과의사들이 더 익숙하게 느끼는 도상검안경이 역시 포터블 기기가 나오고 있는 실정이며,
포터블 안저카메라도 나오고 있어서 굳이 익숙치 않은 직상검안경을 휴대해가면서 사용하지는 않습니다.
단안으로 검사를 해야한다는 단점은 역시 다음에 나올 도상검안경의 양안에 비해서 입체시가 떨어지는 단점이 있습니다.
또한 그 확대가 잘되는 만큼 시야가 좁아서 시신경 유두를 제외하고는 나머지 검사가 힘듧니다.

2. 도상검안경검사, indirect ophthalmoscopy
도상검안경은 문자그대로 도상, 도립상 즉 상하좌우가 바뀌어서 보이는 검안경검사를 의미합니다.

이는 검사자가 머리에 검안경을 쓰고 환자 눈앞에 특수한 렌즈를 대고 안저를 검사하는 방법으로,
역시 산동이 된 상태에서 안구에 불을 빛우면서 검사하는 방법으로,

상하좌우가 바뀌었다는 단점을 제외하고는 입체시가 가능하고, 시야가 넓어 안저검사에 유리합니다.
시신경유두뿐 아니라 전반적인 안저를 한눈에 볼수 있기 때문에 더욱 유리합니다.
최근에는 포터블 기계 역시 나와서 안과의사라면 직상검안경 보다는 도상검안경을 더 많이 사용하는 추세입니다.


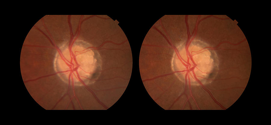
3. 시신경유두입체촬영 stereoscopic optic disc photography
임상에서 가장 많이 사용하는 시신경 유두의 관찰방법은 바로 안저 사진촬영입니다
안저카메라를 이용하여 시신경유두를 확대해서 촬영하는 방법으로,
연속촬영(sequential photography)라하여, 동공와 좌측과 우측 끝에서 평행이되게 두 개의 사진을 연속적으로 찍어서 두래를 서로 비교하는 방법이 있고,

동시촬영(simultaneous photography)라하여 두 개의 프리즘을 맞대어서 카메라에 부착하고 찍는 방법으로 서로 비스듬한 각도에서 한번에 두 개의 사진이 찍히기 때문에, 입체적으로 볼수 있는 것이 장점입니다.

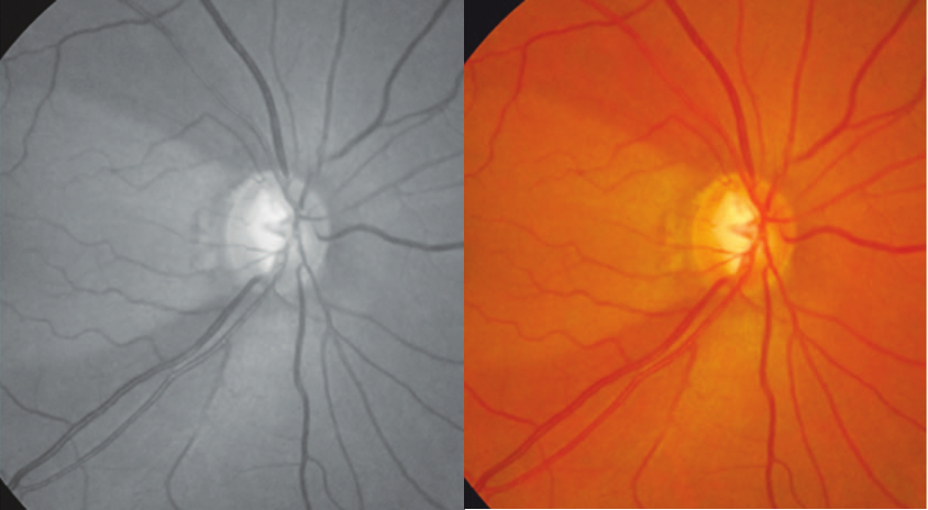
4. 망막신경섬유층 촬영 Red free RNFL photography
이는 안저를 촬영할 때 Red free filter 라고하는 안저의 붉은 빛을 억제해줄수 있는 필터를
카메라 앞에 설치한상태에서 안저 사진을 찍는 것을 의미합니다.
이는 안저의 붉은 빛을 억제해주어, 망막신경섬유층이 손상된 부분이 검게 나오는 것을 더욱 더 잘 관찰되게 해줍니다.


망막에는 약 100만개의 신경섬유층이 모여 시신경유두로 모이게되는데,
시신경유두의 미세한 손상을 관찰하는 것보다
망막에 얇은층으로 퍼져있는 시신경섬유층을 관찰하는 것이 더 쉽게 발견할수 있기 때문에,
RNFL의 초기손상을 빠르게 알아차릴수 있습니다.

또한 같은 맥락으로 녹내장의 진행을 파악하기 위해서도 연속적인 시신경유두검사보다, 연속적인 RNFL 검사가 더 예민합니다.
'안과 질환과 안과 치료 > 녹내장' 카테고리의 다른 글
| 시야검사, Visaul field test의 개념, 시야의섬, Traquair Island of Vision (0) | 2022.05.09 |
|---|---|
| 녹내장의 진단과 조치에서 망막신경섬유층, 시신경유두, 시야검사의 중요도 (0) | 2022.05.08 |
| 녹내장 가능성이 높거나 의심해야할 시신경유두 소견, 녹내장 진행을 나타내는 소견. (0) | 2022.05.06 |
| 유두주위 맥락망막위축, Peripapillary atrophy, PPA 와 노년성경화, Senile sclerosis (0) | 2022.05.05 |
댓글