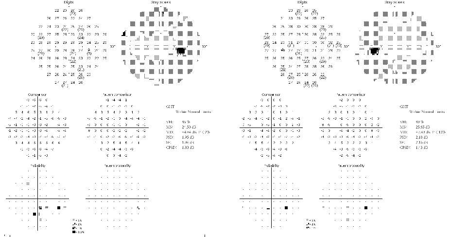
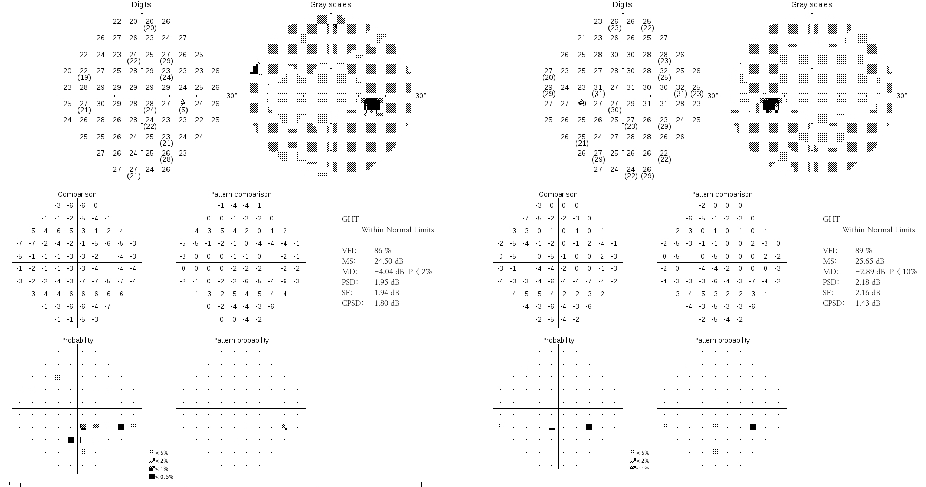
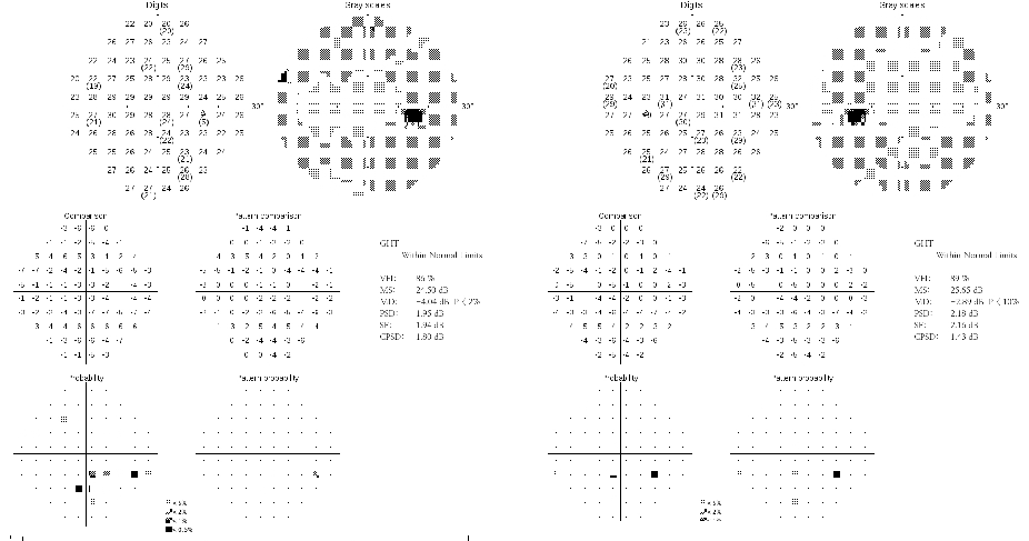
녹내장의 진단에 있어서,
- 망막신경섬유층 (RNFL, Retinal nerve fiber layer)
- 시신경 유두 (optic disc)
- 시야검사 (Visual field, VF)
3가지를 모두 보면서 구조와 기능적인 문제가 있는지를 판단하게 됩니다.
망막신경섬유층 검사, 시신경유두검사, 시야검사가 모두 비정상적인 경우, 녹내장을 진단할수 있습니다.
하지만 각각의 검사들에서 비정상인 소견과 정상인 소견이 같이 혼재되어 있다면
녹내장 진단을 내릴지 혹은 유예할지 등은 언제나 고민스러운 문제입니다.
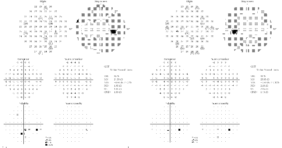
망막신경섬유층과 시신경유두가 비정상적이나, 시야검사가 정상인경우는,

구조적으로 이상이 있으나 기능의 이상이 아직 발견되지 않은경우라,
초기녹내장의 위험요인을 고려하고 치료여부를 결정해야합니다
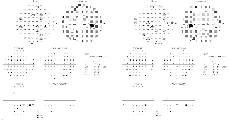
망막신경섬유층과 시야가 비정상이며, 시신경유두가 정상이긴하지만, 유드의 크기가 작은 경우에는,

이 경우, 시신경 유두의 소견이 정상같아 보인다고하더라도,
시신경유두의 크기가 작은것을 고려해야 합니다
시신경유두의 크기가 크든 작은 눈에는 100만개의 섬유가 있고, 유두의 크기가 작으면,
좁은 틈으로 100만개의 섬유가 지나가야 하기에, 섬유들이 밀집된 곳안에서 압박을 받기 쉽습니다.
따라서 설령 정상처럼 보이다고하더라도, 초기 녹내장의 정도에 따라 위험요인을 고려하고, 치료여부를 결정하게됩니다.
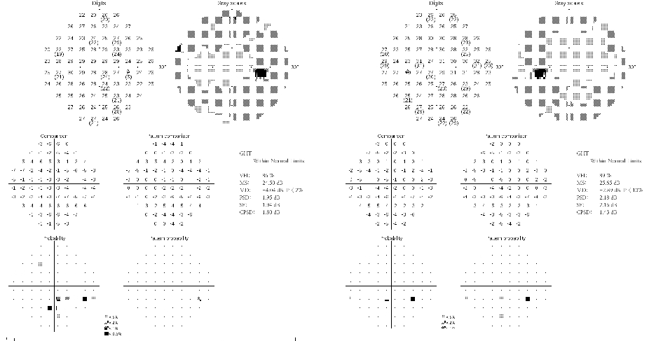
시신경유두와 망막신경섬유층이 정상이지만, 시야검사가 비정상적인경우에는,

녹내장의 가능성이 있거나, 시야결손의 다른 원인이 있는지 찾아보아야합니다
시신경유두 및 시야가 정상이나, 망막신경섬유층이 비정상인 경우는, (Slit RNFL defect)



녹내장의 가능성이 있기에 진행여부를 관찰해야 하며,
더 민감한 방법의 시야검사를 시행해야합니다.
망막신경섬유층 및 시야가 정상이나, 시신경유두만 비정상인 경우는,

시신경 유두의 기형 여부를 판단하고,
초기녹내장의 가능성이 있기 때문에, 진행여부를 관찰해야합니다.
'안과 질환과 안과 치료 > 녹내장' 카테고리의 다른 글
| 동적시야검사, 정적시야검사, Full threshold, SITA 검사법 (1) | 2022.05.10 |
|---|---|
| 시야검사, Visaul field test의 개념, 시야의섬, Traquair Island of Vision (0) | 2022.05.09 |
| 시신경 유두 및 망막신경섬유층 검사법 (0) | 2022.05.07 |
| 녹내장 가능성이 높거나 의심해야할 시신경유두 소견, 녹내장 진행을 나타내는 소견. (0) | 2022.05.06 |
댓글