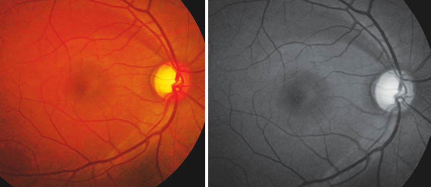
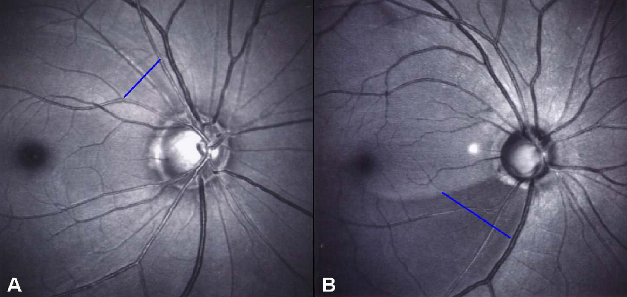
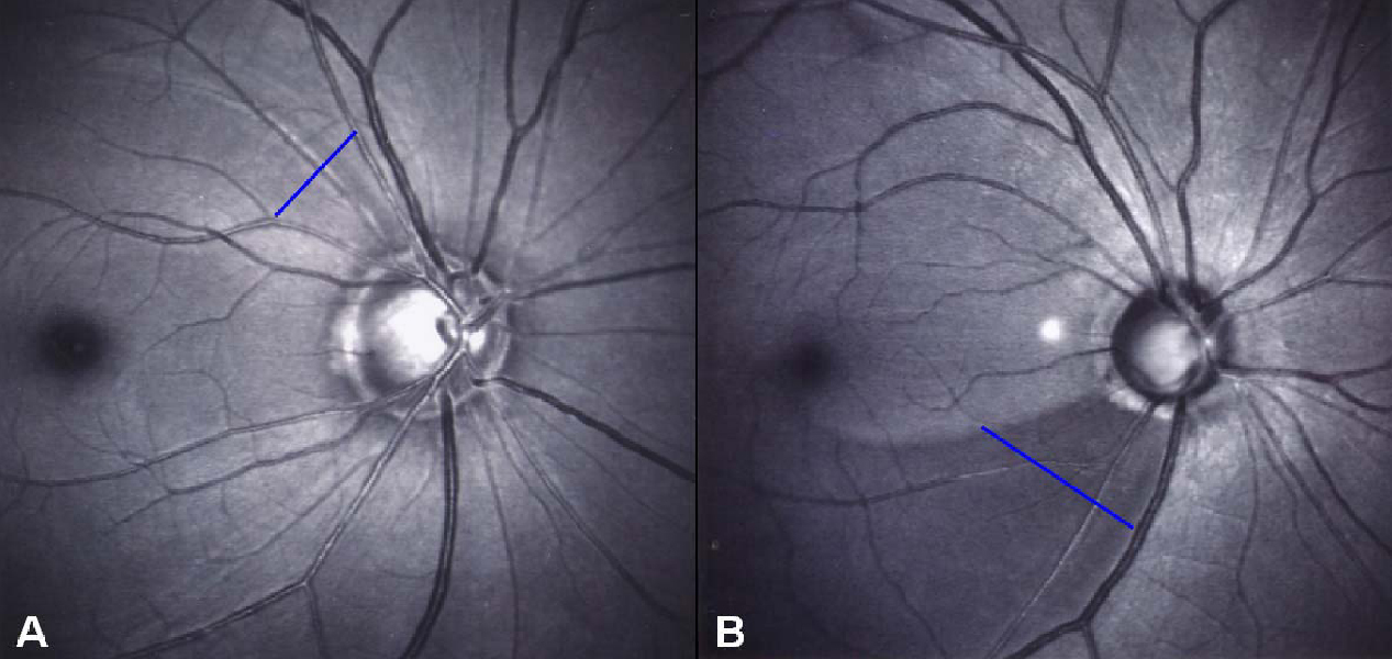
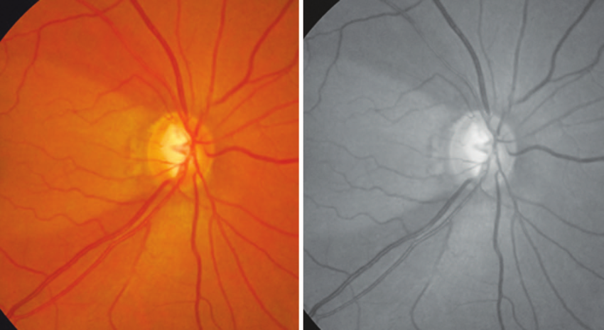
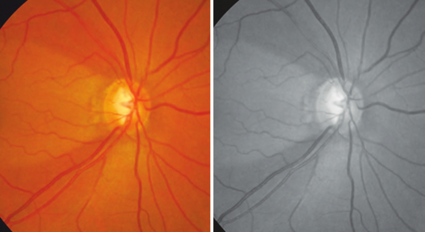
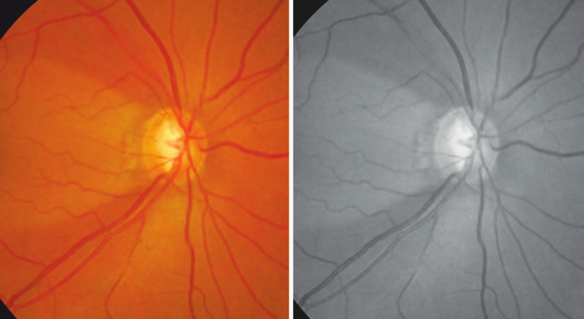
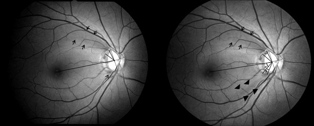
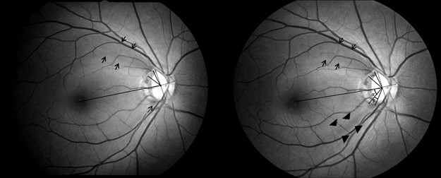
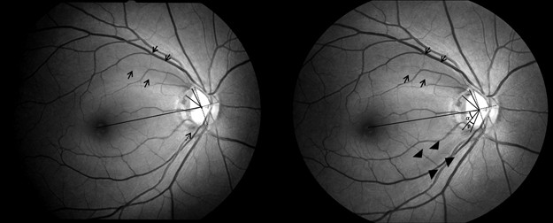
칼라 안저 소견(color fundus photo)에서 발견되거나,
적색차단필터 안저 사진(red free fundus photo)에서 발견되거나,

안구광학단층촬영(OCT, Optical coherence tomography)에서 발견되는
국소적 망막신경섬유층의 결손 RNFL defect는 녹내장성 손상을 조기에 발견하는게
가장 유용한 지표가 됩니다.
RNFL defect가 있으면 해당부위가 어둡고 검게 보이기 때문에,
이를 쉽게 발견하기위해서는 기본적으로 안저에 RPE의 색소침착이 많을수록 관찰이 쉽습니다.

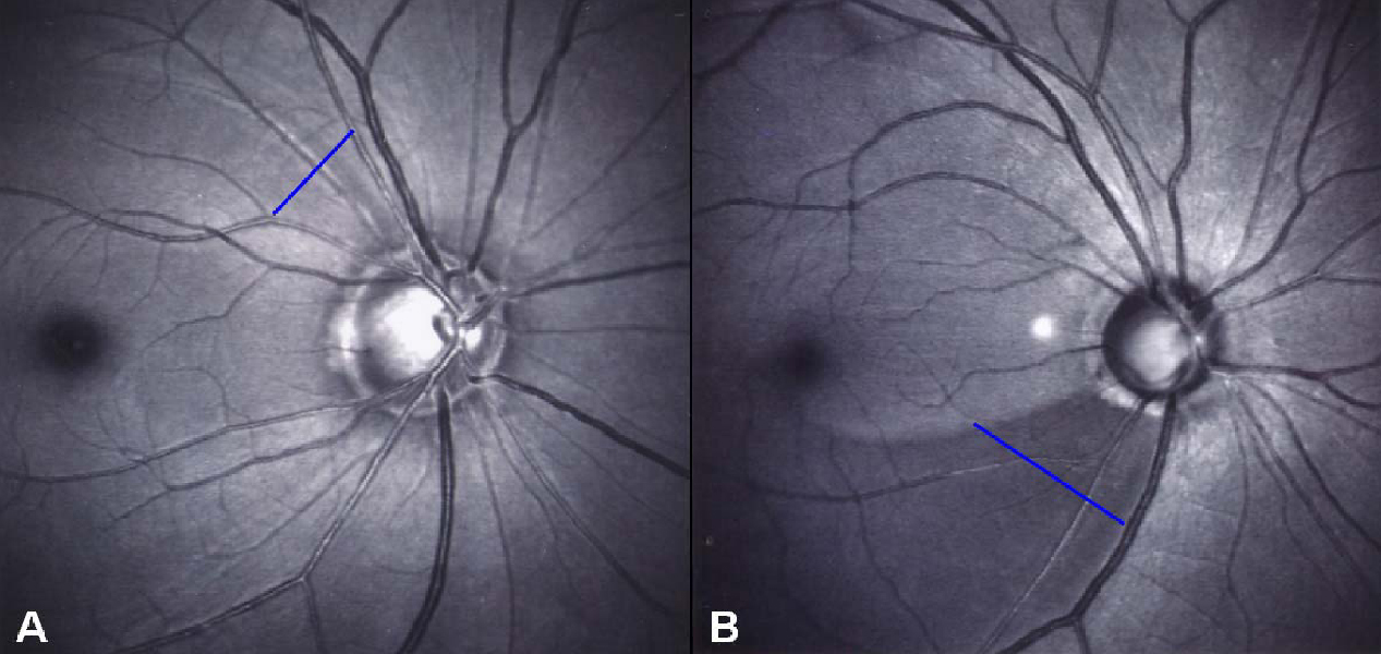
시신경유두의 상이측이나 하이측의 경우,
RNFL섬유가 활모양으로 휘어서 시신경유두로 들어오기 때문에,
RNFL defect가 발생하게되면, 칼라 혹은 적색차단필터(RNFL 관찰전용) 안저사진에서 쐐기모양의 어두운 모양이(wedge shape)이 발견됩니다.


RNFL OCT 와 ISNT rule, IST rule
안구단층촬영을 통해서 시신경유두를 촬영하여,
RNFL defect 부위의 RNFL 의 두께를 측정하면 실제로 단면의 두께가 얇아진 것이 관찰되어
더욱더 직관적으로 알수 있습니다.

녹내장에서는 안압으로 인해
시신경유두의 신경섬유테두리(neuroretinal rim)가 얇아지면서, 시신경유두의 함몰이 발생하게되는데,
남아있는 신경섬유테두리의 너비에는 ISNT rule 혹은 IST rule이 적용이 됩니다.
남아있는 Neuroretinal rim 의 너비가
- ISNT rule (Inferior > Superior > Nasal > Temporal)
- IST rule (Inferior > Superior > Temporal)
이렇게 규칙성을 가지고 있어, 이러한 규칙성에서 위배되는
녹내장을 의심할수 있다는 것입니다.

OCT를 통해서 시신경유두로 들어가는 RNFL 의 두께를 시신경유두주위에서 측정하면,
RNFL Thickness map에서의 두께도 역시 동일한 규칙을 띠는 것을 알수 있습니다.
OCT에서의 RNFL thickness 는 수치로 나오기 때문에
RNFL Thickness map 을 통해서 I, S, N, T 를 서로비교하면서,
- ISNT rule (Inferior > Superior > Nasal > Temporal)
- IST rule (Inferior > Superior > Temporal)
규칙성을 띠는 정상적인 경우인데,
규칙에 위배되는 녹내장이 의심되는 경우인지를 쉽게 알수 있습니다.

지금까지 RNFL Defect 에 대해 알아보았습니다.
'안과 질환과 안과 치료 > 녹내장' 카테고리의 다른 글
| 유두주위 맥락망막위축, Peripapillary atrophy, PPA 와 노년성경화, Senile sclerosis (0) | 2022.05.05 |
|---|---|
| Temporal unfolding, Nasal cupping, Overpass cupping (0) | 2022.05.04 |
| 시신경유두 창백, 국소창백증가 (1) | 2022.05.02 |
| 시신경유두함몰의 Concentric enlargement, 시신경유두출혈, Disc hemorrhage (0) | 2022.05.01 |
댓글