지난포스팅들에 이어서,
레이저 주변 홍채절개, Laser Peripheral iridotomy, LPI를 시행하였을때 나타날수 있는 합병증들에 대해서 알아보겠습니다.
1. 각막 손상
주변부에서 전방이 좁아진 상태, 즉 각막과 홍채사이의 거리가 매우 가까워진 상태에서 홍채에 레이저를 조사하다보니,
홍채 주변에 있는 각막이 같이 손상을 받을수 있습니다.

Abraham LI lens를 이용하여 한다고하더라도,
각막 상피와 내피가 일부 레이저에 의해서 응고가 될수 있으나, 대부분 직접 레이저 조사에의한 손상은
후유증을 남기지 않도 빨리 치유되는 경향을 보입니다.
연구에 따르면, 일반적인 레이저 시술이후에는,
각막 내피세포의 크기가 손상에 의해서 커지게되나, 세포의 수나 각막 두께는 변화가 없다고 알려져 있습니다.
하지만 간혹, 레이저 시술이후 각막대상부전(corneal decompensation)상태에 빠지는 경우가 있습니다.

Corneal decompensation, 각막대상부전이란, 레이저 시술 자체 및 레이저 시술 이후 발생하는 염증에 의해서
각막이 부으면서 부종이 있다가 부종이 빠져야 하는데 빠지지 못하고,
계속 부은상태로 각막이 주름지고 부어 있는 상태가 지속되는 경우를 의미합니다.
이러한 PI 이후 발생할수 있는 각막대상부전의 위험성은
- 환자의 당뇨
- 구타타(guttata)
- 녹내장 급성발작시 LI를 시행한 경우
- 녹내장 발작에 의해 각막손상이 선행된 경우
- 녹내장 발작시 높은 안압
- 고출력 레이저 에너지 세팅
이러한 것들이 있습니다.
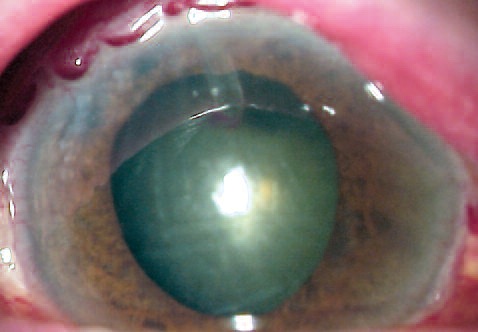
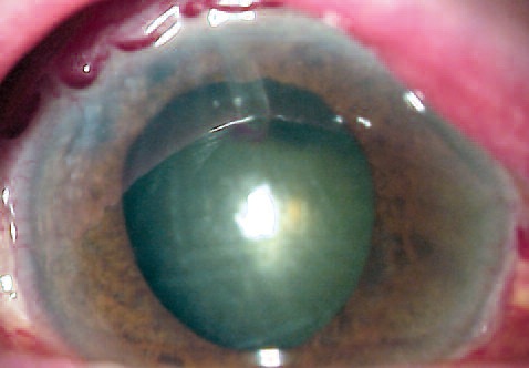
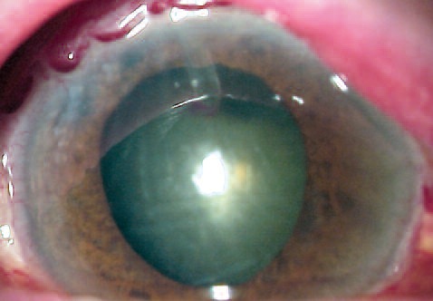
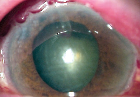
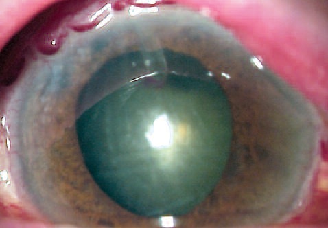
2. 백내장
레이저가 수정체에 직접 닿거나 거리가 가까운 경우, 그 각막단백질의 응고 및 변성에 의해서
수정체에 혼탁이 발생, 즉 백내장이 발생할 수 있습니다.
백내장의 경우 발생한다고하더라도 대부분 진행하지는 않습니다.
Argon laser 의 경우 레이저 조사부위가 동공의 가장자리에 가깝게 위치할수록
백내장 발생률이 높은 것으로 알려져 있습니다.
Nd:YAG laser의 경우는 백내장 발생이 더 드문 것으로 알려져 있고,
Argon 보다 훨씬 위험성이 적은 것으로 알려져 있습니다.
3. 일시적인 안압상승 IOP spike
LI를 시행하게되면 LI자체에 의해서 약 1시간 후에 안압이 최고로 상승하게되고,
이 안압 상승은 보통 3시간 가량 지속됩니다.
원인은 레이저가 홍채에 닿으면 홍채에 잇는
혈액-방수 장벽(blood-aquaous barrier, BAB)이 파괴되면서,
프로스타글란딘(PG)아 방수로 분비되며,
전방각(angle)에 혈장이나 섬유소가 침착되기 때문입니다.
레이저 횟수보다는 시술에 사용된 레이저의 총에너지량과 관계있는 것으로 알려져 있습니다.
이러한 IOP spike를 예방하기위해서
시술 1시간전, 시술직후 brimonidine을 점안하면 안압상승을 최소화할수 있습니다.
이때함께 사용되는 축동제인 pilocarpine은 brimonidine 효과에 영향을 주지는 않는다고 알려져 있습니다.
4. 홍채 조직과관련된 합병증.
홍채염, 전방포도막염은 LI를 시행한 모든 눈에서 나타납니다.

스테로이드 안약을 3~5일 정도 사용하면 대부분 치료되게되나,
시술후 수주~수개월까지 심한 염증이 발생하거나, 전방축농이 발생하고, 낭포황반부종(CME)이 생기는 경우도 보고되어 있습니다.
전방출혈의 경우 홍채의 혈관부위가 건드려지게되면 소량의 출혈이 가능합니다.
심각한 후유증을 남기는 경우는 드물고, 렌즈로 눈을 압박해서 압을 올려주면 대부분 멈추게됩니다.

홍채뒤유착(Posterior synechia)의 경우는 드물게 발생가능한데,

레이저에 의해서 발생한 염증세포와, 시술후 장기적으로 축동제를 사용하는 것이 원인이 됩니다.
축동제에 의해서 동공이 작아져있는 상태에서 여기 염증세포가 달라붙어서 홍채가 그 뒤에 있는 수정체와 유착되게 되는 것입니다.
[안과 질환과 안과 치료/녹내장] - 녹내장레이저수술 - 레이저홍채절개술 Laser Iridotomy, Argon LI & Nd:YAG LI
[안과 질환과 안과 치료/녹내장] - 레이저 주변부 홍채 절개술 Laser Peripheral iridotomy, LPI 의 세팅, 유의점, 위치, 방법
[안과 질환과 안과 치료/녹내장] - 주변부홍채절개술(Peripheral iridotomy, PI)의 효과, 확인, 유지 및 재폐쇄
[안과 질환과 안과 치료/녹내장] - 레이저주변홍채절개, Laser Peripheral iridotomy, LPI 의 합병증
댓글