섬유주 절제술과 같은 녹내장 수술을 하게되면,
안구 내부와 안구외부가 연결이 되는 공막누공(sclerotomy)을 만들게되고,
공막누공의 안쪽은 전방내에 위치하고,
공막누공의 바깥쪽은 결막 및 테논낭하에 위치합니다.
즉, 방수가 눈안에서부터 눈밖으로 빠져나가게되면서,
눈 바깥쪽에서 안구주위에 물이고이는 곳이 바로,
“여과 filtration”로 인해서 부풀어오른 결막 및 테논낭으로된 “주머니 pocket”라 하여,
“여과포 bleb” 라고 합니다.
여과포는 수술당시의 결막과 테논낭의 박리정도에 따라
높고 얕게 부풀어 오를수도, 낮고 넓게 부풀어 올라있는 경우도 있습니다.

어느경우든 간에 여과포부위는 안구내부와 안구외부가 연결되는 곳이기 때문에 ,
안구외부에 발생한 단순한 결막염도 안구 내부로 전파될수 있는 위험이 있습니다.
따라서 여과포가 있는 눈은 안구밖의 단순감염이,
안구내 감염으로 이어질 위험성이 높기 때문에 이를 항상 유의하고 있어야만 합니다.
특히 여과포에서의 누출이 오랫동안 지속되는 경우, 감염의 위험성이 20배 이상 높아지게됩니다.

<여과포 관련 감염, bleb related injection, BRI>
여과포와 관련된 감염은
비감염성의 단순한 여과포 관련 염증 (bleb related inflammation)에서부터,
여과포염 (infectious blebitis), 여과포로 인한 안내염 (bleb related endophthalmitis, BAE)로
다양한 스펙트럼을 보입니다.
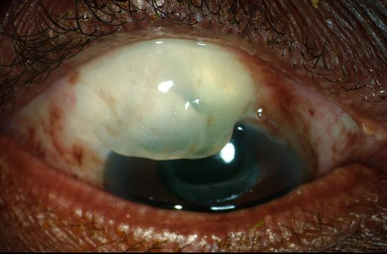
여과포염(blebitis)이 발생하게되면,
초기증상은 bleb주위의 미미한 정도의 결막 충혈이 관찰됩니다.
이때쯤부터 환자는 충혈과 함께 눈불편감, 시력 저하를 느끼게 됩니다.
초기에 호전되면 괜찮으나, 진행하게되면,
결막충혈이 증가하면서 여과포가 주변의 충혈된 혈관에 대비되어, 우윳빛 모양으로 보기에됩니다. 이를 white on red appearance 라고 합니다.
역시 눈불편감, 둔통, 시력저하 등의 증상들이 더욱 심하게 나타납니다.

더욱 진행하게되면서 여과포 주위의 감염이
안구내부로 침투하게되면 이내 안구속에 감염이 발생하는 상태인
안구내염, 안내염(endophthalmitis, Bleb associated Endophthalmitis)이 발생하게됩니다.

이때는 전방에서 염증세포들이 관찰되기 시작하면서,
안구내에 심한 경우 안구내에 전방축농이 관찰되기도 합니다.
<여과포 감염의 위험인자>
현재까지 알려진 여과포 감염의 위험인자는 상당히 많습니다.
여과포 (bleb)자체와 관련된 요소들로는,
- 수술술기적인 측면에서 조작이 많은 경우
- 수술 도중 공막절편이 해리된 경우 – 전층여과수술
- 수술중 MMC사용이 많았던 경우
- 얇은 벽을 가진, 높이가 높은 여과포( thin walled cyctic bleb)
- 높이가 높은 여과포 High bleb
- 아래쪽이나 코쪽에 위치한 Bleb
- Bleb에서부터의 누출 (bleb leakage)
- 여과포에의 조작이나 손상 – 니들링, 봉합사제거, 자가혈청주입술
- 이전의 여과포염의 병력
- 봉합사노출
이러한 요소들이 있습니다.
안구적인 측면에서는
- 눈꺼풀염
- 결막염
- 콘택트렌즈의 착용
- 안축장이 긴 경우 (고도근시) - 공막벽이 얇고 결막조직이 얇음
- 코눈물관의 폐쇄
- 눈꺼풀 위치 이상
- 눈물 부족
- 눈을감을시 각막이 노출되는 경우
- 아토피
이러한 요소들이 있습니다.
전신적인측면에서
- 흑인, 남성, 젊은나이,
- 상기도감염 (감기)
- 겨울철
- 당뇨가 있는 경우
- 암이 있는 경우
- 영양실조
- 수술이후 항생제를 계속 혹은 간헉적으로 사용했던 경우
이러한요소들이 있습니다.
이처럼 일반적인 경우에는 전혀 문제가 되지 않을 상황들이,
녹내장 수술을 하고 난뒤에는 감염의 위험을 높이는 요소가 됩니다.
섬유주절제술 이후에는
위생상태에 청결하고 지압을 하는 경우반드시 손을 씻는등 철처함이 요구됩니다.
지금까지..
여과포 감염과 여과포안내염: Bleb related infection, BRI, Blebitis, BAE, Bleb associated Endophthalmitis에 대해 알아보았습니다.
'안과 질환과 안과 치료 > 녹내장' 카테고리의 다른 글
| 섬유주절제술, 녹내장수술 후기합병증 : 여과포각막침범, overhanging filtering bleb, 백내장발생 (0) | 2022.06.09 |
|---|---|
| 테논낭포, Tenon’s cyst, Encapsulated bleb, 여과포 섬유성피막 형성, 여과포 피막화 (0) | 2022.06.08 |
| 녹내장 수술이후 후기 합병증 : 여과기능 실패, 여과포 방수누출 (0) | 2022.06.06 |
| 녹내장수술 섬유주절제 초기합병증: 포도막염, 각막델렌, Snuff out, 시력소실, 감압망막병증 (0) | 2022.06.05 |
댓글