가장흔하게 실시하는 녹내장 수술인
섬유주절제술, 흔히 트라베, 트라베 라고하는
Trabeculectomy 수술을 시행하고 난뒤에 생길수 있는
초기 합병증이나 초기 부작용에 대해서 이야기해보겠습니다.
우선 가장 흔한 합병증이자 자주 겪게 되는 상황들이,
수술후 안압(IOP)과 전방(Anterior chamber, AC)의 변화로,
안압 증가/감소 전방의 깊어짐/얕아짐 조합에 따라서 총 4가지 상황이 가능하며,
이 상황들에 대해서는 지난포스팅을 통해서 살펴보았습니다.
- 안압이 낮고 전방이 얕아진 경우 Low IOP + Shallow AC : [링크]
- 안압이 낮고 전방이 깊은 경우 Low IOP + Deep AC : [링크]
- 안압이 높고 전방이 얕아진 경우 High IOP + Shallow AC : [링크] , [링크]
- 안압이 높고 전방이 깊은 경우 High IOP + Deep AC : [링크]
이버에는 그 외의 상황들
포도막염, 각막델렌, Snuff out, 시력소실, 감압망막병증 등에 대해서 알아보겠습니다.
<포도막염, 전방출혈>
어떤수술이나 마찬가지로,
녹내장 섬유주절제술 이후에도 수술이후 안구내에 염증이 발생합니다.
술후 모든 환자들에서 경미한 포도막염 소견이 관찰되고,

스테로이드 점안제(topical steroid 안약)와 산동-조절마비제(cycloplegics)로 치료할수 있습니다.
전방출혈의 경우 머리를 높게하고 안정시키는 보조요법정도만으로도 치료되는 경우가 대부분입니다.
공막 누공을 만들 때 그 위치를 scleral spur (공막극) 보다 뒤쪽으로 만들 때 발생가능성이 높아집니다.

<각막함요, 각막델렌, 각막패임, dellen>
각막함요, dellen 이란
각막 윤부 주위에 불룩튀어난 융기된 병변 혹은 윤부 주위에 염증이 발생하였을 때,
그 인접한 각막부분에서 패임이 발생하여, 눈물층이 각막위에 고이는 현상을 말합니다.

여과포가 윤부주위에 위치하게되다보니, 융기된 여과포가 있을 때,
눈을 깜박이거나, 움직일 때 각막 눈물층의 국소적 파괴로 인해 각막 델렌이 발생합니다.

대부분은 인공누액점안과 안대로 치료됩니다.
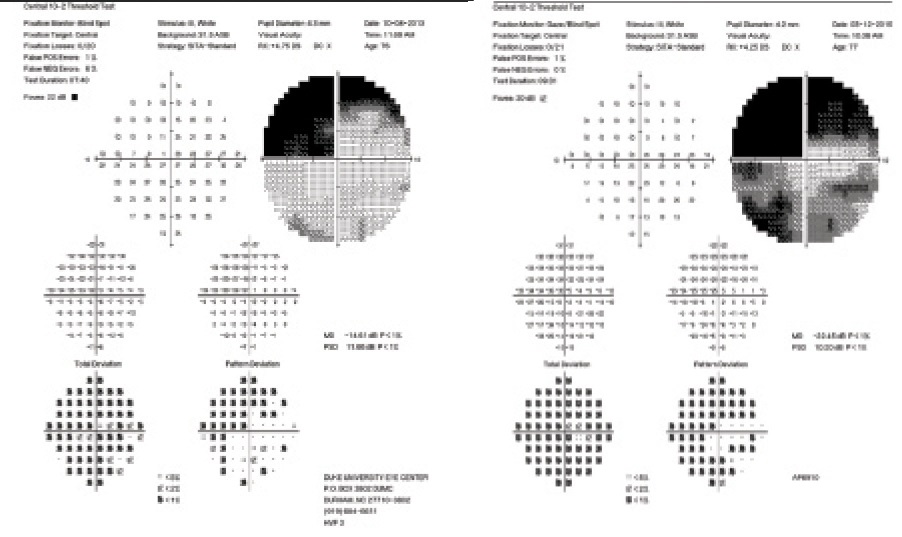
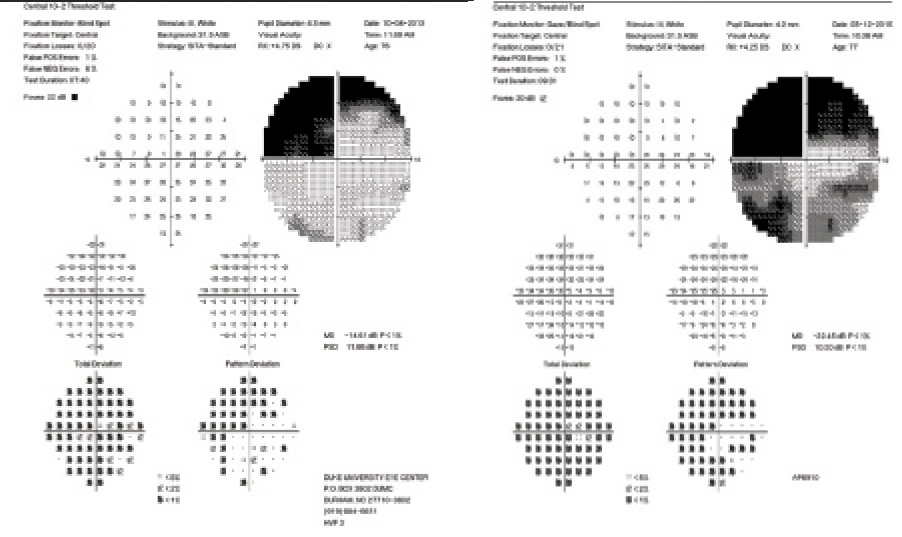
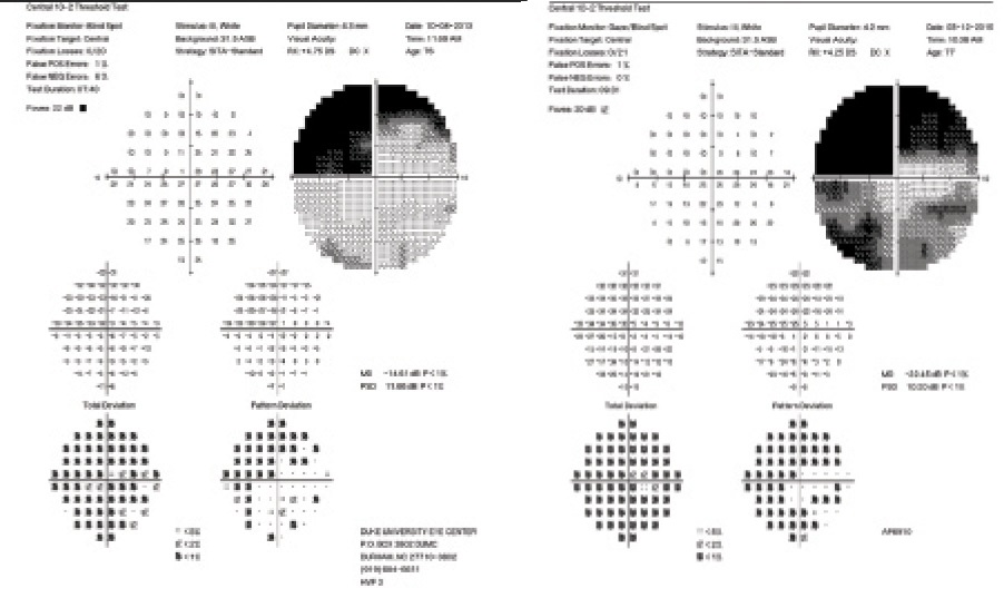
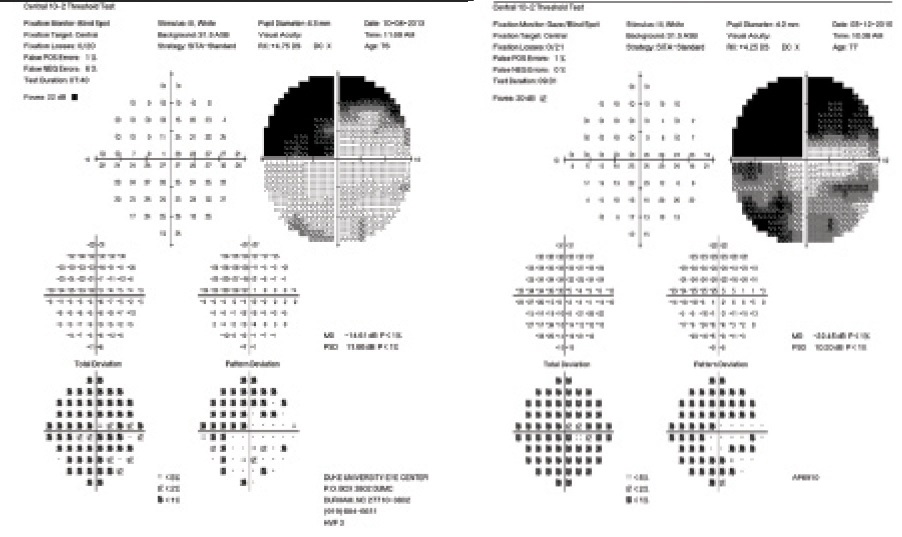
<중심시력소실, Snuff out sydrome, Wipe out syndrome>
중심시야만 조금 남아 있던 환자의 시야가
녹내장 수술이후 오히려 남아있던 중심시야가 없어지면서,
시력을 완전히 잃게되는 경우를 Snuff out syndrome 혹은 Wipe out syndrome 이라고 합니다.


문헌에 따라 보고는 다른데 0% ~ 7.7% 까지 다양하게 보고되어 있으며,
- 고령,
- 수술전 시야손상이 주시점을 침범한 경우
- 수술후 심한 저안압에 빠지는 경우
이러한 경우등에서 수술이후 유일하게 남아있던 중심 시력이 완전히 소실되는 경우가 보고되어 있습니다.
하지만, 수술전 시야가 남아있는 정도가 얼마나 남았는지에 따라서 수술의 금기가 되지는 않습니다.
<감압망막병증(ocular decompression retinopathy)>
감압망막병증이란,
수술전 안압이 높던 환자에서 녹내장 수술이후 안압이 갑자기 떨어지면서,
안구내에서 출혈이 발생하는 경우를 의미합니다.
술전 안압이 매우 높았던 경우에서 수술후 갑자기 안압이 훅떨어지게되면,
시신경 유두부위에서 눌리고, 밀려있던 사상판이
안구내쪽으로 빨려들어오는 형태변화가 발생합니다.

이로인해서 시신경유두주위에 있던 망막 정맥이 폐쇄되면서
망막정맥폐쇄가 발생하는 현상입니다.
소아에서 더잘 발생한다고 알려져 있습니다.

지금까지...
녹내장수술 섬유주절제 초기합병증: 포도막염, 각막델렌, Snuff out, 시력소실, 감압망막병증에 대해서 알아보았습니다.
댓글