섬유주 절제술이란,
전방(anterior chamber, AC)에서부터 정상적으로 물이 빠져나가는 통로인
섬유주(Trabecular meshwork, TM)의 기능이 저하되어,
차라리 섬유주 부위를 일부제거하여, 해당부위를 통해,
전방에서부터 물이 눈 바깥으로 빠져나갈수 있는 통로를 만들어주는
녹내장 여과수술(filtering surgery)입니다.

섬유주 설제술 이후 안압이 낮아지게하는 정도를 결정하는 것은
섬유주를 절제한 구멍을 막고 있는 공막 절편(scleral flap)을 얼마나 세게 봉합하냐에 따라 달려있습니다.
공막절편 봉합을 느슨히 하게 되면, 물이 쉽게 세나가면서 안압이 많이 낮아지게되고,
공막절편 봉합을 단단히 하게되면, 물이 못빠져나가면서 안압이 높아지게됩니다
이처럼 섬유주 절제술은 손기술에 영향을 많이 받는 수술입니다.
섬유주 절제술 이후 술전보다 안압이 낮아지는 것은 정상적인 모습이나,
간혹 안압 저하가 과도한 경우가 있습니다.
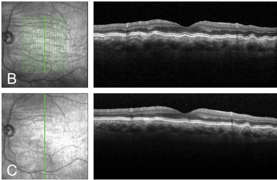
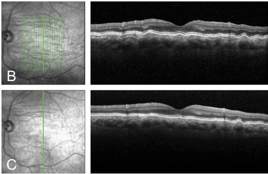
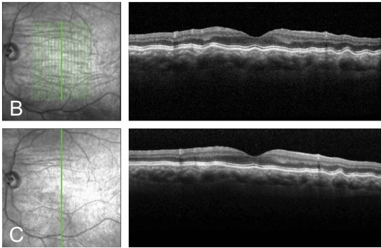
안압이 많이 떨어져서 저안압 상태가 되었을때의 합병증이 바로, 저안압성 황반변증(hypotony maculopathy)입니다.
<저안압성 황반변증(hypotony maculopathy)의 발생기전, 증상>
녹내장 수술후에 발생하는 저안압성 황반병증은
가장 흔하게는 여과부위에서의 방수유출의 과다(overfiltering bleb)로 인해 발생합니다.
그 외에, 모양체해리틈새(cyclodialysis cleft), 수술부위의 방수 누출(wound leakage), 공막파열(scleral rupture) 등에 의해서 발생할수 있습니다.

녹내장 수술이후 방수유출이 의도한것보다 과다하면 처음에는 전방이 일시적으로 얕아지게되지만 (shallow AC)
수술후 시간이 경과하면서, 방수 생성으로 과다한 유출을 보상하면서,
전방은 다시 정상인 경우처럼 깊어지게(deep AC) 됩니다.
즉, 과다한 방수유출이 적정수준으로 줄어들게되면, 문제가 없으나,
과다한 방수유출이 지속적으로 유지되게되면,
방수생성증가로 보상할수 있는 한계를 넘어서면서, 결국 지속적인 저안압으로 인한 문제가 발생하게됩니다.
이렇게되면 가장 전형적으로, 저안압 + 깊은 전방 (low IOP + Deep AC)의 상황이 되면서,
보통안압은 6.5mmHg 미만입니다.
저안압이 지속되게되면 공막벽이 허탈되면서 안쪽으로 우굴쭈굴하게 되게되며,
이는 그 내부에 있는 맥락막 및 망막 조직이 우굴쭈굴하게 주름지게합니다(chorioretinal wrinkling)


또한 안구자체가 짜부러 들다보니, 안축장의 길이가 좁아지게되고, 원시성 변화를 보이면서(hyperopic shift)
각막주름으로 인해서 난시가 심해지고, 각막 부종이 발생합니다.

심한 경우 시신경유두 역시 짜부러들어, 안구내로 빨려들어오면서, 시신경 유두부종이 발생하는 경우도 있으며,(optic disc swelling)

망막의 혈관들이 꼬불꼬불해지게됩니다.(vascular tortuosity)

<저안압성 황반변증(hypotony maculopathy)의 치료>
저안압상태가 장기적으로 지속되면 비가역적 맥락망막의 섬유화를 유발하여,
시간이 지난뒤 안압이 정상화되도 시력이 회복되지 못합니다.
따라서 저안압황반병증의 예후는 안압을 정상화 시키기 위해 빠른 진단과
유발 원인의 교정이 중요합니다.

치료방법으로는
방수 유출 과다가 원인인 경우에는 공막절편부위의 봉합사를 단단히 봉합하여 유출을 조절하는 방법이 있으며,
그 외에는 발생 원인에 따라서 치료방법이 달라집니다.

모양체해리틈새(cyclodialysis cleft)에 의한 경우는, 조절마비제등을 사용하는 약물적인 치료 방법 및 모양체 유착술 등의 방법,
수술부위의 방수 누출(wound leakage)의 경우, 해당부위를 빠르게 발견하여, 이를 봉합해주는 방법 등이 있으나,
뚜렷한 원인을 발견하지 못한 저안압 황반병증의 경우 정립된 치료방법은 없습니다.
결국 예방이 가장 중요한 질환으로,
예방으로는 수술중 사용하는 Mitomycin C (MMC)사용을 최소화하고 창상 봉합을 단단하게 하는 것입니다.
특히 나이가 젊거나 근시인 경우 잘발생하기 때문에, 이경우에는 특히 유의가 필요합니다.
지금까지.....
녹내장수술 합병증: 안압 낮고 전방 깊은 경우. Low IOP + Deep AC, Hypotony maculopathy, 저안압황반병증에 대해서 알아보았습니다.
안압이 낮고 전방이 얕아진 경우 Low IOP + Shallow AC : [링크]
안압이 낮고 전방이 깊은 경우 Low IOP + Deep AC : [링크]
안압이 높고 전방이 얕아진 경우 High IOP + Shallow AC : [링크] , [링크]
안압이 높고 전방이 깊은 경우 High IOP + Deep AC : [링크]
 
										
									 
										
									 
										
									 
										
									
댓글