지난내용에 이어서 섬유주 절제술(Trabeculectomy) 이후 발생할수 잇는 합병증들에 대해서 알아보겠습니다.
섬유주절제술(Trabeculectomy)의 수술중 합병증 : 결막단추구멍, 결막출혈, 전방출혈, 맥락막상강출혈
섬유주절제술 수술 합병증 부작용 : 유리체손실, 공막편소실, 섬모체해리, 맥락막삼출
이번에는 수술중 합병증이 아닌,
수술이후 초기에 생기는 Early Postoperative period에 발생할수 있는 합병증 중
가장 흔한 합병증이자 자주 겪게 되는 상황들인
안압(IOP, Intraocular pressure)과 전방(Anterior chamber, AC)의 변화들입니다.
수술후 안압이 높아지거나, 낮아지고, 전방이 꺼지거나, 과도하게 빵빵해지거나 등등의
조합으로 변화가 이루어 질수 있습니다.
이번에는 그중에서,
안압이 낮고 전방이 얕아진 경우 Low IOP + Shallow AC에 대한 이야기입니다.
1. 정상적인 수술후 과정 normal postoperative status
섬유주 절제술은 정상적인 방수의 유출경로인 섬유주가 고장이난 상태에서,
섬유주 일부를 제거하고 절제함으로써,
해당 통로를 통해 눈안쪽(전방, Anterior chamber, AC)에서부터 눈바깥으로 물이 빠져나가도록 통로를 만들어주는 수술입니다.
따라서 수술직후 안압이 낮아지고, 전방이 좁아지는 것이 정상적입니다.

하지만 안압이 너무 낮거나, 전방이 너무 좁아서,
전방의 구조가 완전히 없을 정도로 좁아지는 경우가 있습니다.

이러한 경우에는 전방이 꺼지다보니, 수정체가 각막가 닿을정도가 되는 경우도 있습니다.
이러한 경우는 수술후 합병증이 생긴 경우도, 이는 예후가 다르기에 구분되어야만 합니다.
2. 결막결손 Conjunctival defect, Button hole
결막편의 박리 과정에서 단추구멍이 발생하게 된경우에 봉합후에도 방수가 유출되거나,
혹은 결막편의 가장자리를 통해서 방수가 유출되는 경우,
과다한 창상누출(wound leakage)로 인해 안압이 낮고 전방이 꺼지게됩니다.

이런 경우, 압박 패치를 대거나,

녹내장 패각탐폰법(glaucoma shell tamponade)이라는 방법으로 해당 결막결손이나 누출부위를 막아볼수 있습니다.

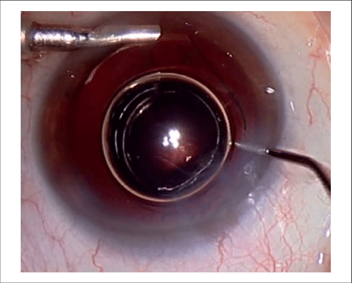
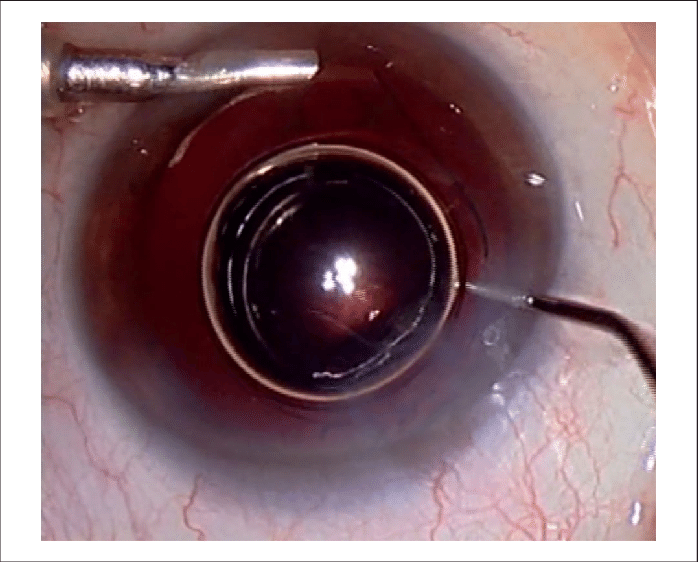
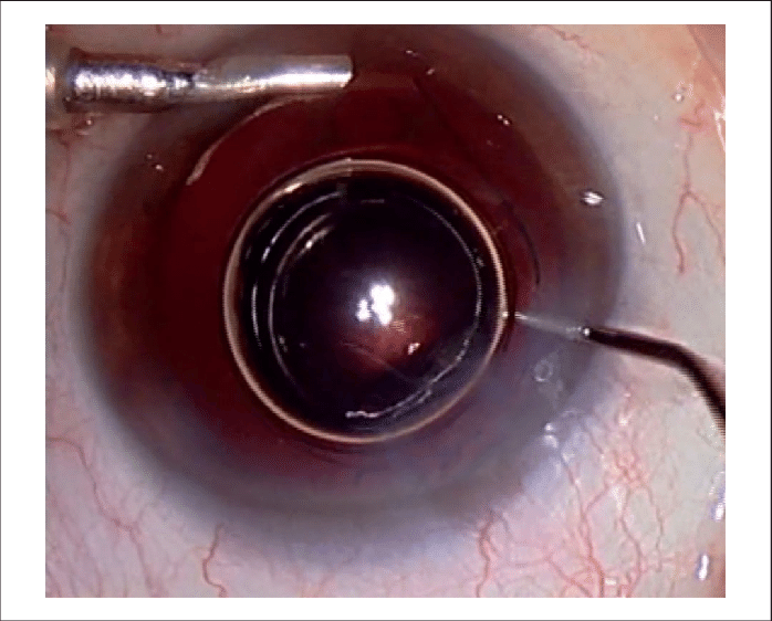
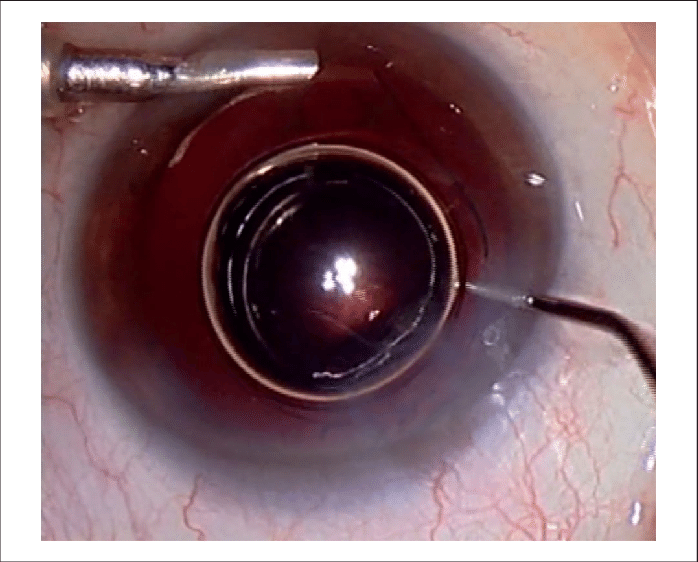
3. 여과포에서의 방수유출 : leaking bleb, bleb leak
여과포생성이 되었으나, 여과포 가장자리에서부터도 방수누출이 발생할수 있습니다.
결막원개기반수술(fornix based conjunctival flap)의 경우는,
결막편의 맨앞쪽 가장자리와 윤부의 각막 경계부사이가 느슨해진경우에 발생하게되고,
반대로, 결막윤부기반수술(limbal based conjunctival flap)의 경우는
결막의 원개 (fornix) 부위가까이에서 결막 절개부터 부정확하게 봉합된 경우 발생합니다.
결막편 한가운데에서 새어나오는 경우는 술중 발견하지 못하거나, 제대로 교정되지 못한
결막 단추구멍으로 인한것입니다.
이때는 안압이 낮고, 여과포가 납작해져있고, Seidel test에서 창상누출이 관찰됩니다.

4. 방수의 과여과 Overfiltration
새는 부위는 없이, 여과포를 통한 방수 여과가 너무 과도하게 많이 되는 경우입니다.
여과포가 잘형성되어 있고, Seidel test에서 창상누출은 없으며, 안압은 낮습니다.

이는 수술로 만들어 놓은 방수여과부위를 통해서 여과가 너무 많이 이루어지고 있는 것을 의미하는 것으로,
전방이 꺼진 정도가 많이 심하지 않는 경우에는 우선은 며칠정도 지켜볼수 있습니다.
하지만, 수일이 지나도 전방이 형성되지 않거나, 전방이 꺼짐으로 인해서 각막의 기능의 손상이 우려되는 경우에는 전방을 재형성해주어야 합니다.
이때 전방에 공기를 주입하여 공기로 전방을 재형성 하거나 (air injection into AC)

Viscoat 와 같은 점탄물질을 이용해서 전방을 형성해주어야합니다.(Viscoat injection)


공기와 Viscoat 모두 시간이지나면서 2-3일정도면 빠지기 시작하는데,
이 시간이 지나면서도 여전히 전방형성이 안되는 경우에는,
여과부위에서의 여과정도를 조절하는 봉합사(scleral flap 봉합사) 를 단단하게 조여주어야 할수 있습니다.
5. 맥락막 박리 및 전방소실.
수술로 인해서 갑작스럽게 안압이 떨어지면 간혹 맥락막 박리가 발생할수 있습니다.
이는 수술전 안구내의 압력이 높다가, 수술로 인해서 압력이 순간적으로 줄어드니,
눈속의 구조물인 맥락막이, 껍질인 공막에서부터 허탈되어 떨어지는 것을 의미합니다.
이 경우, 안저검나사 B-scan 상에서 Choroidal detachment (맥락막 박리, CD)소견이 관찰됩니다.

지금까지...
섬유주절제술 초기 합병증 : 안압이 낮고 전방이 얕아진 경우(Low IOP + Shallow AC)에 대해서 알아보았습니다.
- 안압이 낮고 전방이 얕아진 경우 Low IOP + Shallow AC : [링크]
- 안압이 낮고 전방이 깊은 경우 Low IOP + Deep AC : [링크]
- 안압이 높고 전방이 얕아진 경우 High IOP + Shallow AC : [링크] , [링크]
- 안압이 높고 전방이 깊은 경우 High IOP + Deep AC : [링크]
댓글