녹내장 수술이후 안압(IOP)과 전방(Anterior chamber, AC)는
다양한 방향으로 변화할수 있습니다.
안압이 높아지거나, 낮아지거나,
전방이 얕아지거나, 깊어지거나
이를 서로 경우의 수에 따라서 분류하여, 총 4가지 경우의 상황이 발생하게됩니다.
- 안압저하 전방이 얕아진 경우 Low IOP + Shallow AC
- 안압저하 전방이 깊은 경우 Low IOP + Deep AC
- 안압상승 전방이 얕아진 경우 High IOP + Shallow AC
- 안압상승 전방이 깊은 경우 High IOP + Deep AC
이번에 이야기할 내용은
안압을 낮추려고 녹내장 수술을 하였는데,
안압이 오히려 올라가고,
전방이 소실되거나, 얕아지면서, 특히 전방의 주변부에 있는 전방각(angle)이 좁아지는 경우에 대한 이야기입니다.
이러한 경우를 2차적인 원인에의해서 전방각이 폐쇄되었다고 하여,
2차성 전방각 폐쇄, 2차성 전방각폐쇄녹내장(secondary angle closure glaucoma)라고 합니다.

이차성 전방각폐쇄녹내장은 그 기전에 따라 나뉘게 됩니다.
동공차단에의한 전방각폐쇄인지 -> 동공차단녹내장(pupillary block glaucoma)
동공차단 없이 발생한 전방각폐쇄인지 -> 수정체-홍채격막 전방회전에 의한 녹내장(Lens iris diaphragm ant shift)
이번에는 동공차단녹내장에 대해서 알아보겠습니다.
<동공차단녹내장, pupillary block glaucoma>
섬유주 절제술 뿐 아니라, 복잡한 안구내 수술을 시행하게되면,
수술후 눈속에 염증이 발생하게되고,
염증세포들이 내뿜는 염증 물질들이 안구내에 축적되게됩니다
이때 염증물질들이 동공과 수정체 사이의 틈사이에 달라붙게되면,
동공차단(pupillary block)이 발생할수 있습니다.


차단된 동공 이외에 전방과 후방사이의 연결 통로가 없게되면,
후방에서 전방으로 방수가 흘러나오지 못하고 후방에 점점 물이 고이게됩니다.
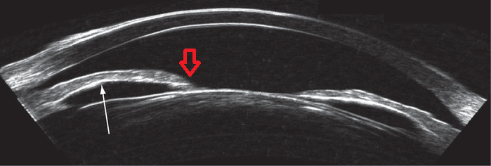
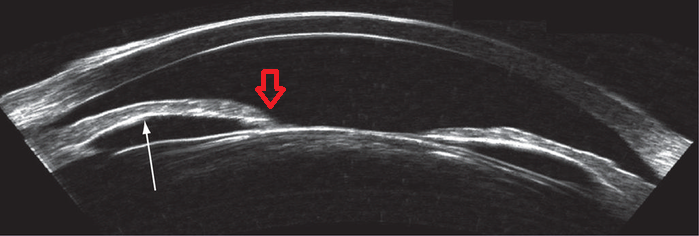
이는 홍채볼록(iris bombe)로이어지고, 이는 결국 전방각의 물리적 폐쇄(angle closure)로 이어집니다.

결국 정리하자면,
술후 염증으로 인한 동공 차단 -> 홍채 볼록 -> 전방각의 물리적 폐쇄 -> 안압 상승 & 전방의 좁아짐
이런 순서로 이러지게 되는 것이 섬유주절제술 이후 동공차단녹내장입니다.

그래서 섬유주 절제술을 시행할 때, 주변부 홍채 절제술을 같이 시행하여,
홍채절제부위를 통해, 동공이외에 전방과 후방사이의 연결 통로를 만들어 주어,
수술후 염증발생으로 인한 동공차단을 예방하기 위함입니다.

하지만 이 홍채절제술 부위가 제대로되지 않았거나
홍재절제술이 시행되었더라도, 염증물질이나 유리체에 의해서 막힌경우에는,
수술후 발생한 염증에 의해 동공차단이 발생한 경우, 안압이 급격히 상승할수 있습니다.
이 경우, 즉각적으로 알아차리고,
산동제를 점안함으로써, 동공차단을 풀어주어야하며,
홍채절제술부위가 충분히 개방되어 있지 않는 경우,
수술적으로 홍재절제술부위를 다시 개방해주거나 Nd:YAG레이저로 홍채절개술을 추가로 시행해줄수 있습니다.

지금까지...
녹내장 수술 후 동공차단 녹내장(Pupillary block glaucoma) : 안압이 높고, 전방이 얕은 경우, High IOP + Shallow AC에 대해 이야기하였습니다.
안압이 낮고 전방이 얕아진 경우 Low IOP + Shallow AC : [링크]
안압이 낮고 전방이 깊은 경우 Low IOP + Deep AC : [링크]
안압이 높고 전방이 얕아진 경우 High IOP + Shallow AC : [링크] , [링크]
안압이 높고 전방이 깊은 경우 High IOP + Deep AC : [링크]
댓글