Henoch-Schönlein Purpura (HSP)는 
자반, 복통, 관절통, 신질환을 주 증상으로 하는 IgA 매개 전신 소혈관염입니다. 
앞선 포스트에서 증상을 다뤘다면, 이번에는 검사 소견과 치료, 예후 인자를 알아봅니다. 
헤노흐-쉔라인 자반병 (Henoch-Schönlein Purpura, HSP) : 자반, 복통, 관절통 신장침범 단백뇨 혈뇨, IgA vasculitis 혈관염
헤노흐-쉔라인 자반병 (Henoch-Schönlein Purpura, HSP) : 자반, 복통, 관절통 신장침범 단백뇨 혈뇨, IgA va
Henoch-Schönlein 자반병(HSP)는 이름부터 한글용어로 표현하기 어려워 헤노흐-쉔라인 자반병, 헤노흐-쉰라인(쇤라인) 자반병 - 헤노호-쉘라인 자반병 등 다양한 한국명칭으로 불립니다. 간단히 헤노
eyeamfinethankyou.com

혈액 검사에서는  
빈혈이 보일수 있는데, 이는 출혈이 많을 경우 발생할수 있습니다. 
백혈구 역시 약간 증가하여 염증 수치가 증가된것을 보입니다. 
혈소판 수는 정상이며,  
PT, aPTT, INR 등 응고 시간모두 정상으로 
출혈반이 응고질환이 아닌 혈관염임을 확인할수 있으며,  
면역학적 검사에서 
IgA, IgM 증가가 전체 환자의 약 50%에서 나타나며,  
ANA, ANCA, Rheumatoid factor 등은  일반적으로 음성 을 보여, 류마티스성 질환이아니며, 
보체  C3, C4 모두 정상을 보여,  보체소모성 질환도 아님을 알려줍니다. 
즉, HSP는 혈관염으로, 혈소판/응고검사에는 이상 없습니다. 
이 점은 혈소판 감소성 자반증(ITP)과의 감별 포인트입니다.


대부분의 환아는 완전 회복 가능하며, 
신기능이 정상인 경우 경과는 매우 양호합니다. 
다만, 다음과 같은 경우들은 예후가 나쁜 경우로 구분되는데, 
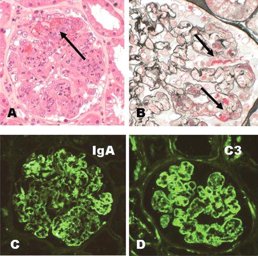
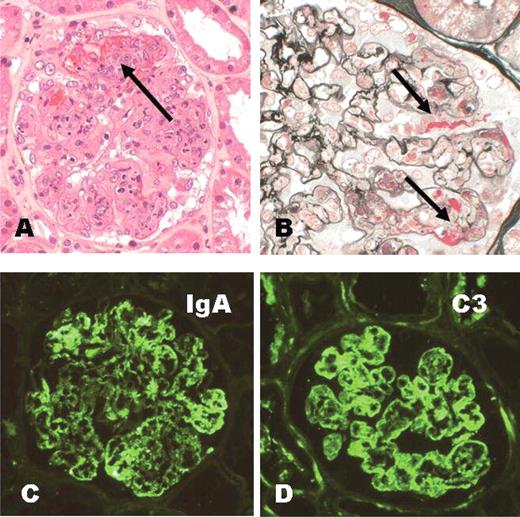
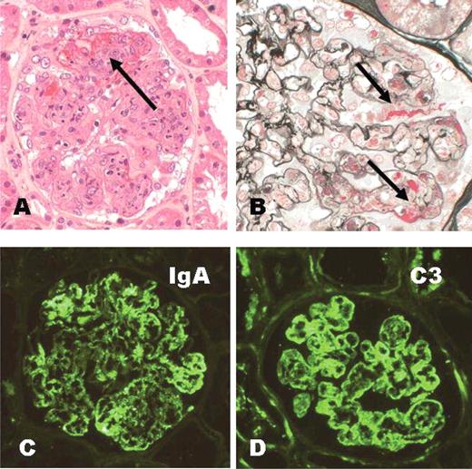
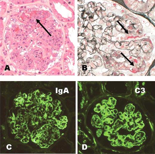
① 신장 증상이 심한 경우, 신증후군, 단백뇨 지속, 신기능 저하가 동반될수 있으며, 
② 성인이 되어서도 재발을 지속하는 경우, 소아보다 성인에서 재발률이 높고 예후가 불량합니다. 
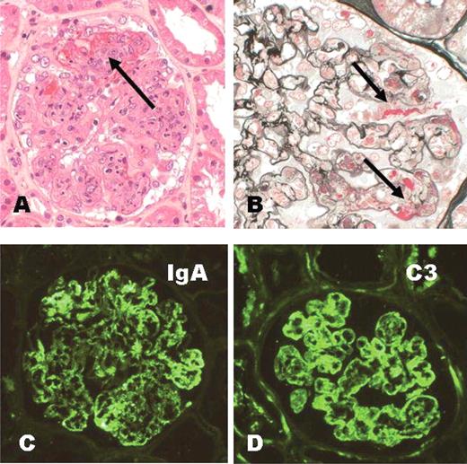
③ 신세뇨관 내 유착·섬유화가 있는 경우, 신 조직의 회복 불가능한 손상일 가능성이 높아져서 예후가 나쁘며 
④ IgA 광범위 침착의 경우 피질~피질하 광범위 침착 시 역시 신장 기능의 영구적 손상 가능성으로 예후가 불량합니다. 
⑤ 단백뇨가 6개월 이상 지속되거나, 신생검 소견에서 반원체가 50% 이상이면 위험이높으며, 
⑥ 고령 환자에서 발생한경우, 나이 많을수록 예후 불량하며, 신기능 회복력이 떨어집니다. 

치료의 기본은 대증치료가 중심입니다. 
수액 공급을 통해 수분 공급을 충분히하여 
탈수를 예방하고 신장 부담을 완화합니다. 
통증 조절목적으로, 관절통, 복통 조절 위해 진통제가 사용 가능하며, 
스테로이드 (Prednisone)은 심한 관절통이나, 복통이 심한 경우 
광범위하고 두꺼운 자반 동반 시 사용하는데,  
 관절통/복부통증에는 효과적이며, 
자반 경과, 신침범에는 영향을 미치지 못합니다. 
신기능 보호를 위한 스테로이드 사용에는 확립된 근거 부족하여, 단백뇨 지속 시 신장내과와 협진이 필요합니다. 
이상으로,
HSP 헤노흐 쇤라인 자반증 검사소견 , 예후, 치료약 완치 입니다.
										
									
										
									
										
									
										
									
댓글