지난포스팅에 이어서,
녹내장 레이저 시술중, 레이저 섬유주 성형술(Laser Traculoplasty, ALT) 에 대해서
이야기해보도록 하겠습니다.
성공적인 아르곤레이저섬유주성형술(Argon laser trabeculoplasty)을 위한 조건
ALT를 시행하는데 있어 가장 중요한 것은
결국 어느부위에 제대로 레이저를 치느냐입니다.
즉, 섬유주의 위치를 정확히 찾아서 섬유주에 정확히 레이저를 닿게해주어야 효과가 있습니다.

따라서 성공적인 치료를 위해서 가장 중요한 것은 정확한 위치 파악입니다.

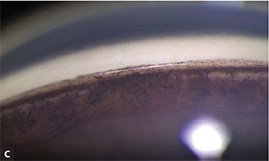
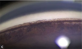
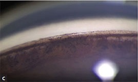
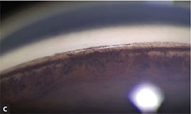
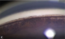
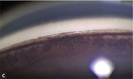
1. 섬유주(Trabecular meshwork, TM)의 색소
섬유주에 색소가 많은 경우는..,
섬유주위아래까지 넓게 색소가 침착이되어 있는 경우가 있습니다.

Ciliary body band부터 Schwalbe line 까지 넓게 착색되어 Trabecular meshwork의 위치를 정확히 어려운 경우가 있습니다.
특히 하부전방각에서 심한데, 이때는 다른 방향의 전방각을 먼저 검사해서, 섬유주의 위치를 먼저 찾고,
그 위치를 바탕으로 하부 전방각에서 위치를 파악하는데 도움을 받아야 합니다.

섬유주에 색소가 없는 경우는..
홍채 주변부에서부터 위쪽으로 쭉 나오는 홍채돌기 (iris process)가 발견되는 경우,
보통 홍채돌기의 경우, 섬유주 TM에 까지 위치하기 때문에 이것이 유용한 지표가 됩니다.

이를 바탕으로 TM의 구조를 파악할수 있습니다.

그게 아닌경우는, Scleral spur(SS) 와 Schwalbe line(SL)을 찾아서
그사이에 있는 Trabecular meshwork(TM)의 위치를 상대적으로 어림잡아야합니다.


2, 전방의 깊이
전방이 너무 좁은 경우, 레이저의 위치가 잘못되거나, 레이저 자체가 어려울수 있습니다.


이때는 전방의 깊이를 넓히기위해,
아르곤레이저주변부홍채성형술(Argon laser peripheral iridoplasty, APLI)을 같이 시행해주면 도움이 됩니다.
또는 환자에게 지금 사용중인 거울면을 보게하면 전방각을 더 깊은부위로 볼수 있습니다.
아르곤레이저섬유주성형술(ALT)의 시행시기
녹내장 수술의 바로 전단계로 , 최대한의 약물 치료가 실패한 경우에 시도할수 있습니다.
현재 9~10 mmHg정도의 안압을 낮추기위해 최대한의 약물치료를 시행하는 경우에는,
ALT를 시행하면 여과수술의 시기를 늦출수 있습니다.
하지만 이미 상당히 진행된 녹내장에서, 10mmHg 이상의 안압하강이 필요한경우는
처음부터 ALT보다는 여과수술이 먼저 필요합니다
ALT 이후 안압 하강에 영향을 주는 요소.
1. 시술전 안압
시술전 안압이 높을수록 시술후 안압 하강이 더 많이 이루어지지만,
시술전 안압이 너무 높은 경우 장기적인 효과가 떨어지게되는 경향을 보여,
술전 안압이 너무 높지 않은 경우가 효과가 좋습니다.
2. 녹내장의 종류 및 형태
- POAG (일차개방각녹내장)
- Pigmentary glaucoma(색소성 녹내장)
- Pseudoexfoliation glaucoma(거짓비늘녹내장)
이경우에서 특히 좋은 효과를 보여줍니다.
색소성 녹내장이나, 거짓비늘증후군에서 효과가 좋은 이유는, 섬유주에 색소침착이 많은것때문인 것으로 생각됩니다.
이처럼 섬유주에 색소침착이 있는 경우, 없는 경우보다 효과가 좋은 경향을 보이지만,
착색정도가 더 많다고 안압하강 효과가 더 크지는 않습니다.
3. 이전 치료여부
여러번 치료를 받은 녹내장 안에서는 ALT의 효과가 줄어듭니다.
한번정도 섬유주 절제술 (trabeculectomy)을 이전에 받았으나 실패한 경우에는 ALT를 해보면 유용한 효과를 보입니다.
4. 젊은 환자
젊은 환자는 ALT의 장기적인 결과측면에서 좋지 않은 효과를 보입니다.
시간이 지나면서 다시 재발하는 경향을 보입니다.

지금까지..
녹내장 레이저수술: 레이저 섬유주 성형술(ALT)의 시행시기, 조건, 영향을 주는 요인에 대해서 알아보았습니다.
[안과 질환과 안과 치료/녹내장] - 아르곤 레이저 섬유주 성형술(Argon Laser Trabeculoplasty, ALT) 원리, 기전, 치료방법
[안과 질환과 안과 치료/녹내장] - 녹내장 레이저수술: 레이저 섬유주 성형술(ALT)의 시행시기, 조건, 영향을 주는 요인
[안과 질환과 안과 치료/녹내장] - ALT, 아르곤레이저성형술의 효과와 반복치료, 재치료, 합병증
'안과 질환과 안과 치료 > 녹내장' 카테고리의 다른 글
| 선택적 레이저 섬유주성형술(Selective Laser Trabeculoplasty, SLT) 효과 치료방법 개념 기전 (0) | 2022.05.25 |
|---|---|
| ALT, 아르곤레이저성형술의 효과와 반복치료, 재치료, 합병증 (0) | 2022.05.24 |
| 아르곤 레이저 섬유주 성형술(Argon Laser Trabeculoplasty, ALT) 원리, 기전, 치료방법 (0) | 2022.05.22 |
| 아르곤 레이저 주변홍채 성형술(Argon Laser Peripheral iridoplasty, ALPI, LPI, Argon laser Gonioplasty) (0) | 2022.05.21 |
댓글