본문 바로가기
반응형

전체 글959

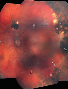
미숙아 망막병증, Retinopathy of Prematurity, ROP 의 검사소견, 눈 소견 미숙아 망막병증, ROP 는 임신 10개월 이전, 망막의 혈관형성이 완전히 이루어지지 않은 상태에서 미숙아가 태어나면서 모체내와 다른 외부환경에 노출되면서 시작됩니다. 모체내보다 높은 산소분압으로 인해 혈관내피세포성장인자(vascular endothelial growth factor, VEGF)의 발현은 억제되고 모체로부터 공급받던 인슐린형성장인자(insulin like growth factor, IGF)와 같은 혈관성장인자는 감소하여 망막혈관은 혈관화된 부위와 무혈관 부위의 경계에서 성장을 멈추게 됩니다. 이후 안구가 성장함에 따라 무혈관 부위가 넓어지고 시세포의 대사가 활발해지면서 망막의 산소 요구량이 많아지게 됩니다. 하지만 이전의 혈관폐쇄단계에서 성장이 멈추어진 망막혈관으로 인해 산소 공급이 충분.. 2018. 7. 21.
스티클러 증후군, Stickler 증후군의 전신 소견(얼굴 및 근골격 형태)과 와그너 증후군, Wagner Syndrome 앞선 포스팅을 통하여, 눈에서 유전성 유리체 망막변성 및 망막막리를 보이는.. 전신적인 결합 조직 질환인, 스티클러 증후군, Stickler syndrome 에서의 안과적 소견에 대해서 알아보았습니다. [안과 질환과 안과 치료/망막] - 유전성 유리체 망막 변성, Stickler 증후군의 눈 소견, 안과적 증상, 검사 소견 이번에는 이에 이어서 Stickler 증후군의 전신적인 증상 및 소견에 대해서 그리고, 전신의 침범은 없이 순수하게 눈에만 침범하는 Wagner 증후군에 대해서 알아보겠습니다. 우선 얼굴에서, 안면부의 저형성, 구개열, 작은턱 형태의 특징적인 얼굴 형태를 보입니다. 또한 입천장 구개에서의 구개열이 발생합니다. 얼굴 이외에 가장 큰 특징은.. 청력 소실입니다. 대개 30세 이후에는 대부.. 2018. 7. 20.
유전성 유리체 망막 변성, Stickler 증후군의 눈 소견, 안과적 증상, 검사 소견 Stickler 증후군 (Stickler syndrome)은.. 진행성의 결합조직질환으로, 대개 상염색체 우성으로 유전되나 불완전한 표현율과 다양한 표현도를 가지며 산발성으로 발생하기도하는 유전성 유리체 망막변성입니다. 1965년 안과의사 Stickler 는 유리체 망막변성을 보이고 진행되면 망막박리가 발생하게되는.. 특징적인 얼굴모습을 보이며, 심한 관절병증이 동반된, 유전성 진행성의 관절안병증에 대하여 기술하게 되었고 본인의 이름을 따서 이를 Stickler syndrome 이라고 명명하였습니다. 콜라겐 섬유에 대한 유전자인 COL2A1 의 이상이 75% 에서 발견되는데.. 이로인하여, 유리체와 공막, 수정체의 이상이 가장 저명하게 관찰됩니다. 공막의 콜라겐 섬유의 이상으로 인해, 근시가 발생하게되고.. 2018. 7. 19.
미숙아에서의 미숙아망막병증 발생의 위험인자, 발생 시기, 검사가 필요한 경우 미숙아망막병증(retinopathy of prematurity, ROP)은 미숙아에서 망막 혈관의 정상적인 발달이 지연되어, 아직 망막혈관이 완전히 자라지 않아 무혈관 상태인 주변부 망막으로부터 망막 신생혈관이 증식하여 소아 실명을 유발하게 되는 주요 질환입니다. 최근 고위험군에 속하는 미숙아 환아들의 생존율이 높아지면서 동시에 미숙아망막병증의 발병률도 증가하여. 미숙아망막병증의 발생 예측 및 치료에 대한 관심이 더욱 증가하고 있습니다. 현재까지의 국내 보고에 따르면 미숙아의 25%에서 미숙아망막병증이 발생하는데.. 이들 중 대부분은 경과 관찰하는 동안 특별한 치료 없이 자연적으로 퇴행한다고 알려져 있습니다. 미숙아 망막병증(ROP)의 발생과 관련된 가장 중요한 요소는.. 출생시의 주수 와 출생 체중입니.. 2018. 7. 18.
미숙아 망막병증, Retinopathy Of Prematurity, ROP 의 정의, 역학, 발생기전, 원인 미숙아, Prematurity 란.. 의학적으로 임신주수, 재태주수 37주 미만으로 태어난 신생아를 말하며, 출생당시의 체중에 따라 세부적으로 분류하게 됩니다. 출생시의 체중이 2500g 보다 작은 체중을.. LBWI 라 하여, Low Birth Weight Infant, 초극소 저체중 출생아라 하며, 1500g 보다 작은 체중을.. VLBWI 라 하여, Very Low Birth Weight Infant, 극소 저체중 출생아라 하며, 1000g 보다 작은 체중을.. ELBWI 라 하여, Extremely Low Birth Weight Infant, 초극소 저체중 출생아라 합니다. 미숙아 망막병증, Retinopathy of Prematurity의 정의, 원인 눈의 신경인 망막의 혈관은.. 태아에서 완전.. 2018. 7. 17.
색소성 망막염, Retinitis pigmentosa, RP 의 치료방법 : 약물요법, 줄기세포 이식, 유전자치료, 인공망막 색소성 망막염, 혹은 망막색소번성이라 불리는.. Retinitis Pigmentosa, RP 는.. 전세계적으로 4,000명에 한 명꼴로 발생하는 실명의 주요한 원인질환으로 여러 다양한 유전자들의 변이에 의해 발생하는 것으로 알려져 있습니다. 유전자 변이가 어떠한 과정을 거쳐 광수용체세포의 괴사로 진행되는지는 아직도 자세히 알려지지 않았으며 최근 보고에서는 염증성 반응이 병인의 주요한 인자이며 유리체강내 염증세포의 침윤이 초기 징후일 수 있다고 이야기하고 있습니다. 이번에는.. 색소성망막염(RP)의 치료방법에 대해서 이야기 해보고자 합니다. 1. 세포자멸사의 완화, 약물 치료 이는 영양 보충이나 신경 성장인자를 이용하여 망막의 광수용체의 점진적인 변성을 늦추거나 억제하는 치료입니다. 비타민 A 는 항산화.. 2018. 7. 16.
망막색소변성증(Retinitis pigmentosa, RP)의 특수 검사소견 및 진단 망막색소변성증(retinitis pigmentosa)은.. 야맹증, 시야협착, 점진적인 시력감소 등을 증상으로 하는.. 유전적인 소인을 가지는 질환입니다. 망막에 대한 안저검사상 망막혈관의 협착, 시신경 유두의 위축, 망막 주변부 색소침착 등의 소견을 보이는 질환으로, 이로인한 전기생리학적인 이상을 동반합니다. 그러나, 실제로 이 망막색소변성증은, 한가지 종류의 질환이아니라, 다양한 원인 및 다양한 유전양상, 안저 소견을 보이는 질환군의 집합체이며.. 안저소견 역시, 모든경우에 전형적이고 획일화된 양상을 보이는 것이 아니라, 무색소성(sine pigmento)부채형 (sector)단측성 (unilateral)전이형(inverse) 이러한 형태 등 다양한 비정형(atypical) 망막색소변성증이 발생할수 .. 2018. 7. 15.
의학 논문번역 : 인공눈물, 디쿠아스, 리포직을 이용한 안구건조증 치료 앞서 이야기한 것 처럼, 눈물층을 구성하는 3개의 구성층을 각각 보충해주면, 안구건조증을 호전시킬수 있다는 이론에 입각하여, 안구건조증을 치료하는 방법을 TFOT, Tear film oriented therapy 라고 합니다. 뮤신층을 보충하기위해서는, Diquafosol 의 사용이나, Rebamipide 안약의 사용을, 수성층의 보충을 위해 인공눈물을 사용하도록, 지질층의 보충 및 치료를 위해서는, 마이봄샘기능장애(MGD)의 치료 및 조절이나, 지질을 포함한 안약을 사용하도록 하는 이러한 방법들입니다. 안과 의학논문번역 제 82번째 논문번역 입니다. 저자들은 Short BUT 를 보이는, 증발성 안구건조증 환자 144명을 대상으로 총 3군으로 나누었습니다. 이때 환자들은 지난 3개월 동안 다른 치료 없.. 2018. 7. 14.
의학 논문 번역 : 눈물막 불안정성을 보이는 증발성 안구건조증 환자에서의 눈물성분 복합 치료의 효과 예로 부터 눈물은 총 3개의 층으로 구성되어 있다고 이야기되고 있습니다. 안구표면의 세포와 맞닿아있는 뮤신층 가운데에 위치하여 가장 많은 용량을 차지하는 수분층, 수성층 가장 표면에 위치하여 공기와 맞닿아있는 지질층 따라서, 안구건조증을 치료하기 위해 인공눈물만을 사용하는 것은, 수분층(수성층, aqueous layer)만을 보충하는 것으로, 나머지층에 대한 보충이 되지 않아, 효과적인 치료가 되지 못한다는 개념이, 눈물층의 구성성분에 입각한 치료인, Tear Film Oriented Therapy, TFOT 의 개념입니다. TFOT 에 따르면 뮤신층(점액층, mucous layer)은 안구표면에 있는 술잔세포(배상세포, goblet cell)에서 분비되어, 눈물층들이 안구표면에 오래 머무를수 있도록 친.. 2018. 7. 13.
반응형