본문 바로가기
반응형

전체 글959

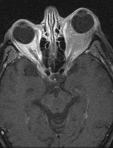
하지 정맥류가 눈에 발생하는 경우, 안와 정맥류, Orbital Varix, Orbital varices 안와 정맥류는.. 매우 드물게 발견되는 질환으로, 만성적인 안구 돌출의 원인중의 하나 입니다. 이때 안구 돌출이란 항상 안구가 돌출되는 것이 아닌, 간헐적인 안구 돌출(intermittent proprolapse)로써, 복압 상승으로 유발되는 간헐성 안구 돌출의 90%를 차지한다고 알려져 있습니다. 주로 아동기와 청소년기에 안구 돌출을 초래하며, 복압이 상승하여, 경정맥압이 상승하는 경우 뚜렷한 안구돌출을 관찰할수 있습니다. 발살바법을 시행하거나, 울고난뒤, 배에 힘을 주고 나면, 복압이 상승하고, 목의 정맥압이 상승하여, 정맥류속의 혈류가 저류되면서 정맥류의 크기가 커지게 되는 원리입니다. 안와 정맥류는 주로 단안에서 발생하며 때로는 같은쪽 얼굴이나 눈꺼풀, 코안, 입안에서도 비슷한 정맥류 병변을 관찰.. 2018. 9. 9.
영아 모세혈관종, Infantile Capillary Hemangioma 의 치료법, 치료방법 모세혈관종, Capillary hemganioma 는 영아에서 흔히 발생하기 때문에, Infantile hemangioma 라고 불리며, 병변 모양이 딸기 같은 양상을 보여, Strawberry hemangioma 혹은 Strawberry nevus, 발생학적으로 hemangioblastic hemangioma, benign hemangioendothelioma 등으로 불립니다 [안과 질환과 안과 치료/성형안과] - 눈주위에 발생하는 모세혈관종, Capillary hemangioma 의 원인, 임상양상, 증상, 경과 앞서 살펴본것과 같이 모세혈관종(Capillary hemangioma)은 시간이 지나면서 자연소실되는 경과로 인하여, 특별한 치료 없이 경과관찰하는 것만으로도 충분한 경우가 많습니다. 그러나.. 2018. 9. 8.
눈주위에 발생하는 모세혈관종, Capillary hemangioma 의 원인, 임상양상, 증상, 경과 눈 주위에 발생하는 모세혈관종은 영아 및 유아에서 발생하는 가장 흔한 양성 종양입니다. 문자그대로, 모세혈관으로 이루어진 혈관 종양으로, 혈관 덩어리 그 자체라고 보면 됩니다. 어린아이에서 발생하는 모세혈관종은 대개 생후 1주 ~ 4주경 발생하여 첫 3달까지 급격하게 자란 후 6개월 ~ 1세 때까지 서서히 크기가 커집니다. 1세 이후부터는 서서히 퇴화하기 시작하며 서서히 소실되기 시작하는데, 5세가 되면 50% 정도에서 소실되어 완전히 없어지고, 7세가 되면 70% 정도에서 소실되어 완전히 없어진다고 합니다. 또다른 연구에서의 통계에 따르면 생후 첫 수주 이내에 나타나서 8개월 ~ 18개월때까지 급격한 성장을 하는 증식기를 거쳐서 5세 ~ 8세 정도에 퇴화하여 소실되는 자연경과를 보인다고도 합니다. 남아.. 2018. 9. 7.
눈주위에 발생하는 안와 해면 혈관종, Cavernous hemangioma 해면혈관종, Cavernous hemangioma 는 성인에서 발생하는 안와의 원발성 양성종양 중 가장 흔하며 갑상샘안병증에 이어 두 번째로 흔한 "일측성 안구 돌출"의 원인이 됩니다. 일종의 혈관 과오종으로, 우연히 발견되는 경우가 가장 많으며, 무증상인 경우에는 특별한 치료 없이 장기간 관찰하여도 문제를 일으키지 않는 것으로 알려져 있습니다. 하지만 서서히 진행하는 무통성의 안구돌출이나, 안구운동의 장애, 안구편위가 발생할수 있으며 종양이 눈알 자체를 압박하여, 공막을 압박하여 후천성 원시 및 망막의 주름이 발생할 수 있으며 시신경을 압박하여 유두부종, 시신경위축, 시야협착을 보일 수도 있습니다. 모세혈관종(capillary hemangioma)과는 달리 자연 소멸되지 않기에, 증상을 보이거나 합병증.. 2018. 9. 6.
만성 축농증의 합병증, 안와 및 눈을 침범한 점액 낭종, Ortibal Mucocele 부비동(para nasal sinus, PNS)이란, 코 주변의 얼굴뼈에 있는 빈공간으로 정상적으로는 공기로 가득차있는 빈공간입니다. 이때 축농증(부비동염, sinusitis)이 발생하면, 부비동내에서 만성적인 염증이 발생하고, 염증이 점액의 형태, 심한경우에는 고름(농)의 형태로 부비동내에 가득 차게됩니다. 부비동내를 가득채운 점액이나 고름(농)은, 점액이 빠져나갈수 있는 출구(개구부)를 막게되고, 한정된 공간내에서 점액이 계속 고이게됩니다. 이처럼 만성적인 부비동염(만성축농증)으로 인한 점액이 부비동내에서 계속차면서 점액이 빠져나가는 출구를 막아, 낭종(주머니, cyst) 형태로 점액이 찬것을 점액낭종(Mucous cyst, Mucocele)이라고 합니다. 부비동에 발생하는 점액낭종(Mucocele).. 2018. 9. 5.
태어날때부터 있는 눈 결막하의 노란 지방, 피부지방종, Dermolipoma, Lipodermoid Dermolipoma, Lipodermoid 국내용어로는 피부지방종이라고 불리는 이 질환은, 안구 외측에 발생하는 비교적 흔한 선천성 종양입니다. 결막하에 발생하는 약간의 분홍빛을 띠는 노란색의 종괴로 관찰됩니다. 종괴 표면의 결막 조직은 정상적으로, 간혹 표면에 털이 나있는 경우도 있습니다. 결막하의 조직이 노란색을 띄는 이유는, 병명에서 알수 있다시피 지방 조직으로 이루어져 있기 때문입니다. 간혹 지방조직과 함께, 안와 조직, 눈물샘, 근육의 일부가 포함되어 있을수 있습니다. 피부지방종(Dermolipoma, Lipodermoid)은 때로 Goldenhar syndrome 과 동반되어 나타날수 있습니다. 이럴 경우 피부지방종과 함께 동반된 귀의 이상, 상악과 하악의 이상 (얼굴 반측 이상), 척추 이.. 2018. 9. 4.
유피종, 유피낭종, Dermoid cyst, 유표피종, 유표피낭종, Epidermoid cyst 유피종, 유피낭종, Dermoid cyst 는 피부의 진피조직(Dermis)과 유사한 낭종 을 말하며, 유표피종, 유표피낭종, Epidermoid cyst 는 피부의 표피조직(Epidermis)과 유사한 낭종을 의미합니다. 유피종과 유표피종은 임상 소견이 거의 유사한데, 조직학적으로 분류하여, 피부의 진피조직과의 유사성을 가지면 유피종(유피낭종, Dermoid, Dermoid cyst)이라고 분류되고, 피부의 표피조직과의 유사성을 보이면 유표피종(유표피낭종, Epidermoid, Epidermoid cyst)이라고 분류합니다. 유피종 (Dermoid)은 피부의 진피를 구성하는 조직과, 피부의 부속기관인 모낭, 피지샘, 땀샘 등이 포함되어 있고 유표피종 (Epidermoid)은 표피조직으로만 구성되어 있습.. 2018. 9. 3.
특발성 경화성 안와염증, 안와의 경화성 가성종양, Idiopathic Sclerosing Orbital Inflammation, Sclerosing Pseudotumor of Orbit 특발성 Idiopathic - 원인이 밝혀지지않은경화성 Sclerosing - 조직의 광범위한 섬유화를 동반하는 안와 Orbital - 눈주위 조직에서 발생하는염증 Inflammation - 염증성 질환 안와 - 눈주위의 조직에서 발생하는경화성 - 광범위한 조직의 섬유화를 동반하는 가성 종양 - 실제 종양은 아니나, 염증세포들이 뭉쳐서 생긴 종괴성 병변 이렇게 이름 붙여진 특발성 경화성 안와 염증, Idiopathic Sclerosing Orbital Inflammation 혹은, 경화성 안와 가성종양, Orbital Sclerosing Pseudotumor 는.. 안와에서 진행성, 경화성 염증을 일으켜, 주변 안구 조직에 손상을 주는 독특한 질환입니다. 앞서 이야기한 질환인.. 특발성 안와염증(Idio.. 2018. 9. 2.
안와 림프종, Orbital Lymphoproliferative disorder, Orbital lymphoma 의 증상, 검사소견, 치료 안와 및 안구 부속기에 발생되는 림프종 Ocular adnexal lymphoma, OAL 은 최근 들어 빈도가 증가하는 추세입니다. 이는 환경적인 요인과 생활양식의 변화 뿐 아니라, 지난 수십 년간 "염증성 가성종양""림프증식성질환""가성 림프종" 이러한 다양한 진단명으로 불리면서 , 제대로 구분되거나, 분류되지 못했던 질환들이 최근 들어 면역조직 화학검사와 분자유전학적 분석 등의 조직병리학적 진단방법의 발전으로 인하여 정확한 진단이 가능해진 것과도 관련있습니다. [안과 질환과 안과 치료/성형안과] - 안와 림프증식질환, 안구 부속기 림프종, Orbital lymphoproliferative disorders (Orbital LPD), Ocular adnexal lymphoma (OAL) 안와 및 안부.. 2018. 9. 1.
반응형